
肺动脉栓塞是当前心血管疾病中前三的死亡原因,未经治疗的肺栓塞死亡率高达20-30%。近日,我院心内科肺血管病团队,在科主任李若谷、结构亚专科主任潘欣、副主任医师王承的带领下,施行首例经导管肺动脉取栓术,成功抢救了一位大面积肺栓塞的年轻患者。
肺动脉栓塞是指内源性或外源性栓子堵塞肺动脉引起的肺循环障碍的病理生理综合征,是临床上最凶险的急重症。尽早开通阻塞的肺血管,是降低其致死率、致残率的关键。33岁的小章,突发呼吸困难,指尖氧饱和仅为80%,急诊肺动脉CT检查提示,他的右肺动脉主干大面积血栓,几乎完全阻塞了大动脉血管,病情危急,命悬一线。心内科李若谷主任及结构性心脏病亚专科潘欣主任带领团队经过全面评估讨论,决定为他施行急诊经导管肺动脉取栓术。
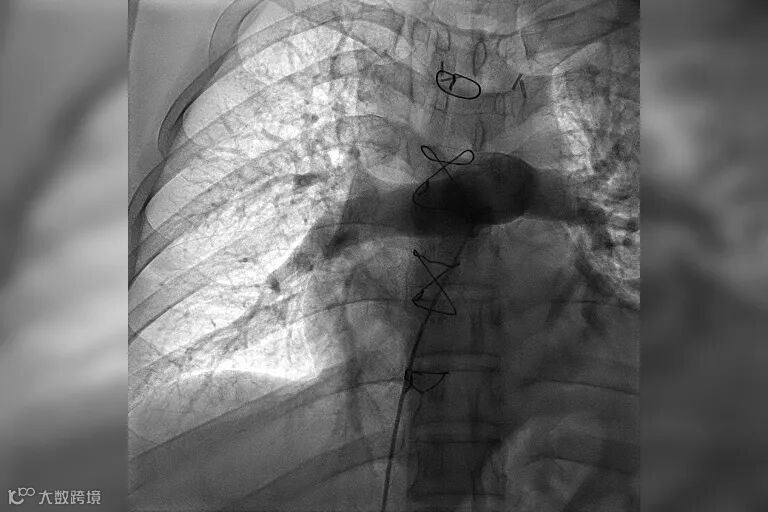
术前肺动脉造影术提示右肺动脉大面积血栓
时间就是生命。在我院快速急诊手术准备后,心内科副主任医师王承带着团队进入导管室。只见医生操作娴熟,选用新型取栓支架,灵活地经导管,一条一条地取出大量暗红色血栓。小章即刻感觉呼吸通畅,氧饱和度上升至95%以上。术后复查肺动脉造影术提示他的右肺动脉血栓影已完全消失,肺动脉血流通畅,各项血流动力学指标也明显改善。整台介入手术用时仅用30分钟,就立竿见影地让患者转危为安。
术后复查肺动脉造影术提示肺动脉血流通畅
我院是全国肺血管病诊疗中心以及国家标准化肺血管病示范中心,此次手术标志着学科在大面积肺栓塞的急救上又实现了一次创新突破。据医生介绍,肺栓塞大多是因为血液循环不畅或者机体高凝状态引起,起病急,多好发在长期卧床、肥胖人群、下肢术后康复者、妊娠妇女、心房颤动者、肿瘤患者、家族遗传性高凝血症患者等,以及中老年人和患有基础疾病的人群中。下一步,我院将通过健康科普,让更多民众熟悉和了解这个疾病的危害,做到有效预防,及时就医!
专家介绍
潘欣教授
心内科结构心脏病亚专科主任,主任医师,医学硕士。擅长成人及儿童先天性心脏病、瓣膜性心脏病、肺高压、肺栓塞、肺血管疾病诊断和介入治疗。
专家门诊:周三上午
王承教授
心内科副主任医师,医学博士。主要从事先天性心脏病、心脏瓣膜病与肺血管病的临床诊治与介入治疗。
专家门诊:周二上午
公司简介:
腾复医疗是国内首家致力于肺栓塞介入治疗器械研发生产的公司。公司聚焦肺血管及静脉介入治疗领域,为广大医生和患者提供安全有效的产品和服务。致力于研发和推广创新产品,以帮助患者减轻病痛,恢复高质量生活,降低医疗成本为目标,专注于肺血管及静脉介入医疗器械研发、生产和服务。
欢迎联系我们:
电话:+86-21-5223 8812
地址:上海市闵行区新骏环路138号5号楼202室

