近日,齐齐哈尔医学院附属第二医院心血管三病区吴晓杰主任团队戚增明教授成功应用腾复医疗自主研发的国内首款Tendvia®肺动脉取栓支架系统,为1名血栓负荷重、溶栓风险高并伴有右心功能不全的高危急性肺栓塞患者实施了救治。术后患者肺动脉血流恢复,临床症状显著改善。

急性肺栓塞由来自静脉系统(深静脉形成的血栓最为常见)或右心的血栓阻塞肺动脉或其分支所致,以肺循环和呼吸功能障碍为主要临床表现,死亡率居心血管疾病第三(仅次于心肌梗死和脑卒中)。
该手术是Tendvia®肺动脉取栓支架系统上市后在齐齐哈尔地区的首次临床应用。其圆满成功,不仅体现了齐齐哈尔医学院附属第二医院在肺栓塞微创介入治疗领域的综合实力和深厚临床经验,也再次验证了Tendvia® 肺动脉取栓支架系统的有效性及安全性,为患者提供了新的治疗选择。
患者:61 岁,女性 。
主诉:阵发性胸闷、气短2月余,伴胸痛4日。
现病史:患者因“阵发性胸闷、气短2月余,伴胸痛4日”⼊院。急诊完善相关检查 ,D-⼆聚体 2230 ng/mL,BNP 1288pg/L,肌钙蛋白I 0.18ng/mL ,双下肢血管彩超提示“双侧下肢浅静脉迂曲增宽并血栓形成”,心脏彩超提示“右心及左房扩大、肺动脉高压(轻度)、EF:33%”,肺动脉增强 CT 提示“双侧肺动脉主干及其分支多发栓塞”,明确诊断为“ 急性肺栓塞” 。
既往史:患有2型糖尿病10余年,有持续性房颤病史6年, 静脉曲张病史多年。
术前CT
鉴于该患者血栓负荷重、溶栓风险高且伴有右心功能不全,属高危病例,经仔细评估和充分讨论风险状态和手术指征后,最终决定施行经皮肺动脉取栓术+球囊扩张成形术。
器械选择:
腾复医疗 Tendvia®血栓抽吸导管 / 型号 CX20
腾复医疗 Tendvia®肺动脉取栓支架 / 型号 TF-15-18
右侧股静脉置管,送⼊ 5F Pigtail 造影导管⾏双肺动脉造影。右下肺动脉主干及多肺段均见充盈缺损 ,部分分支闭塞。左肺主干及多肺段均见充盈缺损。
术前造影
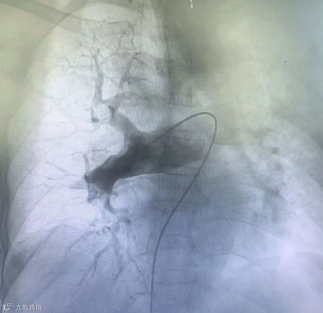
更换置换 22F 血管鞘 , 送入Tendvia®抽栓导管置于右肺动脉血栓近端行血栓抽吸治疗 , 抽取大量红色血栓。将Tendvia®肺动脉取栓支架沿导丝通过抽吸导管向前推送⾄右肺动脉血栓位置,支架头端穿过血栓 ,回撤输送鞘管 ,支架自动膨开 ,等待 90 秒 ,连接抽吸器并形成负压 ,回撤取栓支架的同时旋转开关释放负压,血栓由支架收集后进入抽吸导管内 ,并在负压抽吸状态下进入抽吸导管中。右肺动脉血栓清除后 ,同样方法清除左侧肺动脉血栓。
复查造影提示左右肺动脉闭塞段复通,血栓负荷明显减少,继续予以后续抗凝治疗。
取栓中
术后造影
取出的血栓
吴晓杰 教授
主任医师,现任齐齐哈尔医学院附属第二医院心血管三科、心血管四科、心血管七科、CCU,四个病区主任。
社会兼职:
黑龙江省中西医结合学会第一届脑心同治专业委员会副主任委员
黑龙江省抑郁症防治研究会第一届委员会理事
黑龙江省中西医结合学会第一届心脏重症分会委员
心血管系统疾病专业省级疾控中心专家委员会第一届委员
黑龙江省心律失常介入专业省级质控中心专家委员会委员
齐市医学会第五届老年病专业委员会副主任委员
齐市心血管专业委员会委员
戚增明 教授
主治医师,医学硕士,齐齐哈尔医学院附属第二医院心血管三病区副主任。
2007年本科毕业于齐齐哈尔医学院临床专业,2017年硕士毕业于哈尔滨医科大学心血管病专业,从事心血管病10余年,曾在哈尔滨医科大学附属第一医院、沈阳陆军总医院、北京阜外医院进修,获市科研二等奖一项,专利一项,专著一部,国家级论文多篇。
擅长:冠脉介入治疗,结构性心脏病介入治疗,肺血管病介入治疗,同时对各种心衰,高血压病以及心律失常治疗也有丰富的治疗经验。
肺动脉栓塞(Pulmonary Embolism,PE)是由各种栓子阻塞肺动脉或其分支所引发的一组疾病或临床综合征,其类型包括肺血栓栓塞(PTE)、脂肪栓塞、肿瘤栓塞等,其中PTE为肺栓塞的最常见类型。引发PTE的血栓多起源于下肢深静脉血栓形成(DVT)。PTE和DVT合称为静脉血栓栓塞症(VTE),是VTE在不同部位、不同阶段的两种临床表现形式。根据发病时间,可分为:急性、亚急性和慢性肺栓塞。其中,急性肺栓塞全球年发病率为(39~115)人/10万人,是VTE最凶险的临床类型,其死亡率在心血管疾病中排名第三,仅次于冠心病和卒中。据2014年欧洲心脏病学会危险分层模型预测,高危肺栓塞患者30天病死率达20%以上。
标准抗凝与药物溶栓作为肺栓塞的基础疗法,在轻中度病例中可有效控制病情进展。然而,针对大面积肺栓塞患者,药物溶栓存在显著局限性:血栓清除效率不足、出血并发症风险增高。更值得注意的是,治疗后的残余血栓可能导致慢性血栓栓塞性肺动脉高压(CTEPH)等远期并发症。得益于介入技术的发展,经皮机械取栓术已成为当前PE治疗体系中的重要组成部分,其安全性和有效性为临床治疗提供了新的选择。
2024年5月,腾复医疗自主研发的国内首款机械取栓医疗器械-Tendvia® 肺动脉取栓支架系统(国械注准 20243031010)获国家药品监督管理局(NMPA)批准上市。通过取栓支架和负压抽吸协同取栓的方式,Tendvia® 肺动脉取栓支架系统为肺血栓的临床治疗提供了一种全新的解决方案。
适用范围/预期用途:
该产品适用于有下述情况之一的急性高危肺栓塞或伴临床恶化的中危肺栓塞的经导管血栓清除治疗:
1、有肺动脉主干或主要分支血栓,并存在高出血风险或溶栓禁忌的患者;
2、有肺动脉主干或主要分支血栓,并经溶栓或积极的内科治疗无效的患者。
产品特点:
1、取栓支架+负压抽吸,同步机械取栓;
2、独特取栓网篮支架结构有效作用于各类血栓;
3、大口径抽吸导管设计,强劲抽吸,可容纳大负荷血栓,搭配大口径负压专用抽吸器,抽吸效果强劲快速;
4、抽吸管采用管体多段式结构设计,完美平衡推送性和柔顺性;
5、快速开通血管,即刻改善症状,手术时间短,术后恢复快。
腾复医疗成立于2020年,是一家专注于肺血管及静脉介入医疗器械研发与产业化的国家级高新技术企业,总部位于上海。
公司致力于通过机械取栓技术为静脉血栓栓塞症(VTE)患者提供更安全、更有效的治疗方案。其核心产品包括Tendvia®肺动脉取栓支架系统(国械注准20243031010)、Tendfast®外周静脉取栓支架系统(国械注准20243032574)、肺动脉球囊扩张导管(国械注准20253030316)等一系列血管介入器械,目前均已在临床获得广泛应用。
公司立足医疗前沿,持续推进产品研发迭代,为临床实践提供更优解决方案,以优质的产品和完善的服务满足医患双方的临床需求。
Tel:021-52238812
E-mail:om@tendfo.com

