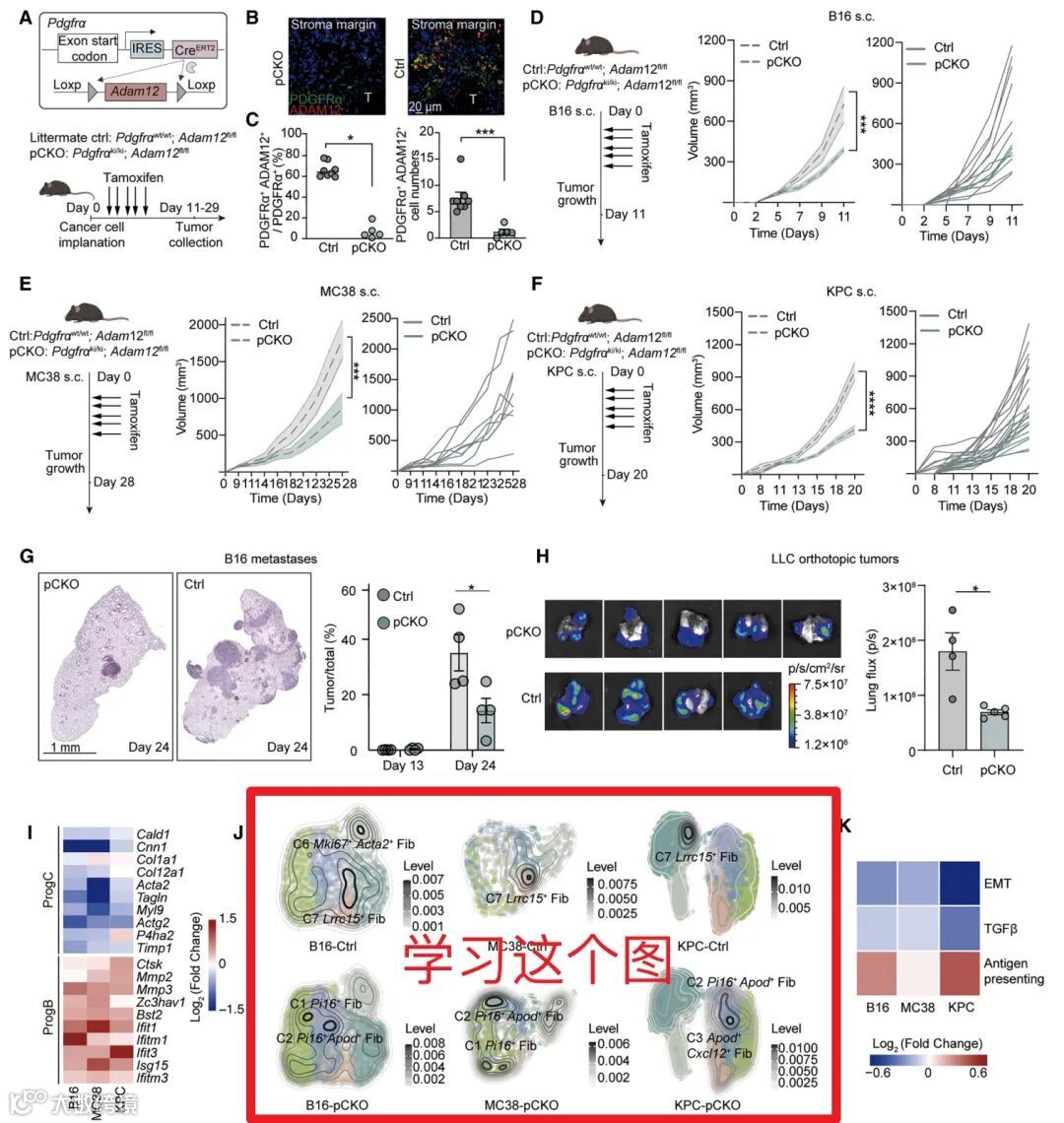
Figure5J 核心作用:
1. 可视化CAF亚群在UMAP空间的分布(不同颜色代表不同亚群);
2. 通过密度轮廓(灰色梯度)突出细胞富集区域,对比Ctrl/KO组的聚集差异;
3. 重点展示目标亚群(Apod+_Pi16+_Fib,祖细胞样CAF)的位置,验证ADAM12-KO后该亚群是否富集;
4. 为“ADAM12-KO重编程CAF亚群结构”提供可视化证据(如祖细胞样亚群密度增加,肌成纤维细胞亚群密度降低)
#---------Figure5-------## 该代码用于复现Figure5的两个核心子图(I和J),聚焦ADAM12敲除(KO)对不同肿瘤模型中癌症相关成纤维细胞(CAF)的影响# Library loading# 加载数据处理、可视化、单细胞分析所需的核心R包library(tidyr) # 数据整理library(data.table) # 高效数据处理library(dplyr) # 数据筛选与转换library(tidyverse) # 数据科学工具集library(reshape2) # 数据重塑library(ggplot2) # 基础可视化library(Seurat) # 单细胞数据分析核心包library(ggsci) # 科研配色方案library(RColorBrewer)# 配色生成library(pheatmap) # 热图绘制library(AUCell) # 基因集活性评分######## Figure I:ProgB/ProgC特征基因在不同模型中的表达变化热图# 1. 读取数据:包含B16、KPC、MC38三种肿瘤模型的CAF单细胞对象,以及ProgB/ProgC特征基因列表obj<-readRDS("fibro_cell_B16_KPC_MC38.rds") # 整合后的CAF单细胞数据selected_genes<-read.csv("ProgB_ProgC_genes.csv") # 关键特征基因(ProgB:抗瘤IFN-I响应程序;ProgC:促瘤肌成纤维细胞程序)# 2. 计算基因平均表达量:按“模型_处理组”(如B16_KO、B16_Ctrl)分组,提取目标基因的平均表达Idents(obj)<-'condition_model' # 设置分组标识为“模型_处理组”avg_exp <- AverageExpression(obj,assays = "RNA",features = selected_genes,group.by = "condition_model")$RNA # 计算平均表达dat <- as.matrix(avg_exp) # 转换为矩阵格式# 3. 计算KO组相对于Ctrl组的表达倍数变化(log2转化)models <- unique(gsub("(.*)_.*", "\\1", colnames(dat))) # 提取唯一模型名称(B16、KPC、MC38)ratio_matrix <- sapply(models, function(model){ko_col <- paste0(model, "_KO") # KO组列名ctrl_col <- paste0(model, "_Ctrl") # Ctrl组列名if(!all(c(ko_col, ctrl_col) %in% colnames(dat))){message(paste("缺少", model, "的配对数据")) # 缺失数据提示return(rep(NA, nrow(dat)))}log2( (dat[, ko_col]) / (dat[, ctrl_col]) ) # 计算log2(KO/Ctrl),反映表达变化趋势})# 4. 热图可视化:展示三种模型中特征基因的表达变化rownames(ratio_matrix) <- rownames(dat) # 保留基因名作为行名ratio_matrix <- na.omit(ratio_matrix) # 去除缺失值norm_data<-t(ratio_matrix ) # 转置矩阵(行:模型,列:基因)pheatmap(mat = norm_data[c("B16", "KPC", "MC38"),], # 选择目标模型scale = "none", # 不进行额外标准化(已为log2倍变化)cluster_rows = FALSE, # 不聚类模型(保持B16、KPC、MC38顺序)cluster_cols = FALSE, # 不聚类基因(保持输入列表顺序)border_color = NA, # 隐藏单元格边框show_colnames = TRUE, # 显示基因名main = "ECM Genes Expression", # 图标题(ECM相关基因表达变化)display_numbers = F # 不显示具体数值)######## Figure J:UMAP密度 contour 图(以B16模型为例)# 核心目的:展示ADAM12-KO后,CAF亚群在UMAP空间的分布变化及密度聚集特征# 注:UMAP是单细胞数据降维可视化方法,密度contour可突出细胞富集区域#### Example: B16 模型(KPC、MC38模型可复用此代码,仅需替换输入数据)library(ggnewscale) # 支持多套配色方案(用于同时展示细胞亚群和密度)# 1. 读取数据:B16模型清洁后的CAF单细胞对象(含UMAP坐标和细胞亚群注释)B16_CAF<-readRDS("./B16_CAF_cleaned2_0613.RDS")# 2. 数据整理:提取UMAP坐标和元数据(处理组、细胞亚群)data<-B16_CAF@reductions$umap@cell.embeddings # UMAP降维后的二维坐标(umap_1、umap_2)data<-cbind(data,B16_CAF@meta.data) # 合并元数据(含Condition:Ctrl/KO;cell_pro2:CAF亚群注释)# 3. 筛选目标处理组数据(此处示例为KO组,Ctrl组可替换subset条件)dd<-subset(data,Condition=="KO" ) # 筛选KO组数据(替换为"Ctrl"可绘制对照组)# 4. 定义配色方案:为不同CAF亚群分配颜色col<-c("#86B8AE", "#C5D2C0" ,"#D8D8D8" ,"#DDB5A5" ,"#ACD16A" ,"#B1B4D4", "#7EAAC9")# 5. 绘制UMAP+密度contour图p<-ggplot(dd, aes(x=umap_1, y=umap_2))+# 第一层:绘制非目标亚群的散点(透明色,避免遮挡密度图)geom_point(data = subset(dd,cell_pro2 !=c("Apod+_Pi16+_Fib")),aes(color=cell_pro2),size=3)+# 第二层:绘制目标亚群(Apod+_Pi16+_Fib,祖细胞样CAF)的散点(特定颜色+低透明度)geom_point(data = subset(dd,cell_pro2 %in% c("Apod+_Pi16+_Fib")),color=alpha(col[6],alpha=0.2),size=3)+# 亚群颜色配置(低透明度,避免覆盖密度轮廓)scale_color_manual(values = alpha(col[c(1:5,7)],alpha=0.2))+new_scale_color()+ # 启动新配色方案(用于密度contour)stat_density_2d(aes(color=..level..))+ # 绘制二维密度轮廓(反映细胞聚集程度)scale_color_gradientn(colors = colorRampPalette(brewer.pal(name = "Greys",n=9)[c(2:8)])(200))+ # 密度配色(灰色梯度)theme_void()+ # 隐藏坐标轴、背景等冗余元素(聚焦UMAP分布)# 调整坐标轴范围(预留边缘空间,避免细胞点被截断)scale_x_continuous(limits=c(min(data$umap_1) - 0.1*diff(range(data$umap_1)),max(data$umap_1) + 0.1*diff(range(data$umap_1))))+scale_y_continuous(limits=c(min(data$umap_2) - 0.1*diff(range(data$umap_2)),max(data$umap_2) + 0.1*diff(range(data$umap_2))))# 输出图形p

