一个周末的午后,刚进实验室的小师妹正在对着一篇文献发呆。大师兄见小师妹一脸愁云,自然要上前询问原委。
小师妹一脸呆萌地说道:“老板甩给我一篇文献(Astragalin Inhibits Allergic Inflammation and Airway Thickening in Ovalbumin-Challenged Mice, J. Agric. Food Chem., 2017, 65, 836−845),让我下周组会讲一下。可是,人家看不懂啦~~~”
大师兄:“没事,给我看看到底是有多么深奥。”
说罢,大师兄坐下,快速浏览了几遍文献,胸有成竹地缓缓说道:“这文献就是讲紫云英苷(Astragalin)对气道疾病的改善作用。文章思路清晰,可以概括成‘一个中心、两个层面’。”
小师妹(卖萌脸.jpg):“师兄,教教人家好不好~~~”
大师兄:“这‘一个中心’嘛,自然是围绕着气道疾病发生发展关键过程中的关键蛋白。比如说单核细胞趋化蛋白-1(MCP-1),粘附分子ICAM-1和整合素integrin,CD11b,巨噬细胞标志物F4/80、CD68。”
小师妹:“这哪是一个中心啊,这个中心里面可真是包罗万象啊。那‘两个层面’又是个什么鬼?”
大师兄:“这‘两个层面’嘛,很简单,就是细胞层面和动物层面。”
小师妹若有所思,迷之崇拜地看着大师兄,等着后面的讲解。
大师兄看着这个小迷妹,心中有些暗喜,但脸上却还是很平静,飘逸地扶了一下护目镜说道:“我来给你讲解一下这文章的套路吧。先看下面这个图,紫云英苷干预后无论在氧化损伤的细胞里还是气道疾病动物模型上都能检测到关键蛋白MCP-1的变化。这个告诉我们紫云英苷对气道疾病氧化应激过程影响的关键蛋白具有调控作用。”

图片来源:J. Agric. Food Chem.
小师妹:“大师兄,那如果ICAM-1和integrin有相应的动物实验结果是不是就更好啦。”
大师兄:“孺子可教!不过呢,就一个化合物对疾病的影响而言,其动物水平实验结果的重要性远高于细胞水平的研究结果。有效无效要看动物实验结果,细胞水平的研究可以锦上添花,但很难雪中送炭。你看这篇文章的工作重点也是在动物实验上。比如下面这个免疫组化结果图,绿色和红色信号分别反映了气道组织关键蛋白F4/80和CD68(或CD11b)的相对含量。说的粗俗点,有病的颜色深,无病的颜色浅。”

图片来源:J. Agric. Food Chem.
小师妹:“经大师兄这么一讲,我基本上会看免疫组化的结果啦。”
大师兄:“你再看看这个图,针对α-SMA的免疫组化,道理也是一样。除了免疫组化,作者还用Western Blot验证了紫云英苷的药理作用。”

图片来源:J. Agric. Food Chem.
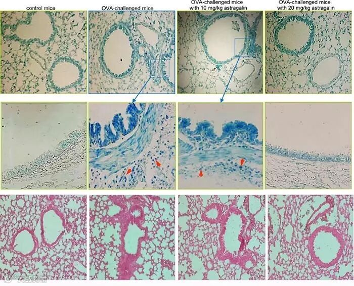
大师兄:“除了免疫组化,组织形态学观察在动物实验中也是非常重要的一种手段。比如这篇文章就观察了紫云英苷对疾病模型动物气道中肥大细胞数量(下图前两行),以及气道变厚情况的改善(下图第三行)。结果非常直观。”

图片来源:J. Agric. Food Chem.
小师妹:“哇塞,大师兄果然阅文无数,拆解文章套路都能突破原文作者的思路。那个,下周组会我就按照你这个思路讲可以吗?”
大师兄:”嗯,可以,只要你喜欢。”
夕阳西下,落日的余辉透过实验室的窗户映在小师妹姣好的面庞上。小师妹愁云尽消,不停地记录着各个要点。大师兄潇洒地斜倚着实验台,脸上带着淡(xié)然(è)的笑容……
注:本故事纯属虚构(不过文献是真实存在滴),如有雷同,纯属巧合。
不知道这个小故事能勾起多少曾经的大师兄们心底那美好的回忆……祝愿所有实验室里的热心大师兄们(当然还有大师姐们)答辩顺利,前程似锦!
(本文由乐只君子供稿)

推荐阅读
本文版权属于X-MOL(x-mol.com),未经许可谢绝转载!欢迎读者朋友们分享到朋友圈or微博!
长按下图识别图中二维码,轻松关注我们!

点击“阅读原文”,参加讨论



