读博之后面临的最严重的问题不是实验做不出来,也不是文章不能发表,而是——脱发。如果有下辈子,小希真希望能去“霍格沃茨”上学,做一个像邓布利多那样的人……看看人家,老了老了,头发反倒比年轻时要茂盛得多。

年轻时(左)和年老后(右)的邓布利多。图片来源于网络
正常情况下,人每天都会有100根左右的头发自然脱落,也会有差不多同样数量的头发重新长出。但是随着年龄的增长,毕业压力大、实验做不出来每日挠头,头发脱落的速度将逐渐超过头发生长的速度,导致头发越来越少,这就是我们常说的“脱发”。当然,这只是戏说,虽然心理压力是一方面,实际上脱发是多方面因素的综合结果,下文会尽量科学地讲一讲。

注意,灵魂拷问来了,到底什么原因导致你头发越来越少呢?除了少部分人因为疾病、过敏等原因外,大多数人脱发的原因是因为毛囊对一种叫二氢睾酮(DHT)的激素过于敏感,抑制毛囊的再生,或者再生能力下降,从而导致头发逐渐脱落。DHT由睾酮素在酶的作用下转化而来,作为雄性激素的主要成分,睾酮素在男性体内的含量明显高于女性,这也就是为什么男性脱发的概率远高于女性的原因。

上面说的这类脱发又叫做雄激素脱发,与遗传因素有关,如果你这时候回想起父亲大人已经谢顶……呃,只能祝你好运。前额、头顶及后头枕部上方毛囊中的细胞对DHT更敏感,所以这些部位最容易脱发。如果想恢复茂盛的头发,在脱发的前中期,萎缩的毛囊还保留着一些活性,还可能通过药物治疗脱发。但是目前的药物都有起效慢、需持续使用的缺点,容易导致副作用积累。而对于脱发后期的小伙伴,药物可能就无力回天了,只能从后脑勺取一些正常的毛囊,通过移植来支援“光明顶”。

为了保护好自己的发际线,科研人员一直在研究彻底解决脱发的方法。美国宾夕法尼亚大学的研究者分析了54名40岁至65岁男子的头发和头皮组织,结果发现,无论是脱发还是没有脱发的头皮组织中,毛囊干细胞(hair follicle stem cells,HFSCs)的数量都是相同的,所不同的是,脱发头皮组织中的毛囊干细胞没有产生让头发生长的源细胞,这表明毛囊干细胞产生了缺陷,使头皮无法长出头发 [1]。

毛囊干细胞。图片来源于网络
换句话说,毛囊干细胞的活力是决定头发长短和生长周期的决定性因素 [2]。简单地说,毛囊干细胞产生毛囊,而毛囊产生毛发。毛囊干细胞是头发毛囊中的“长寿细胞”,在人的一生中都会持续的存在并分化,然而通常情况下毛囊干细胞处于静息状态,并在静息期不断地“总结”激活剂和抑制剂,当激活剂占主导地位时,将被快速激活进入生长期,这就是新头发生长的开始。换句话说,是外部因素对毛囊干细胞的刺激决定了其生长还是衰退。

头发的生长周期。图片来源:Science [2]
东京医科齿科大学Hiroyuki Matsumura等人称,脱发是由DNA损伤诱导的COL17A1蛋白水解引起的。在毛发周期中毛囊干细胞如果收到“衰老”刺激,它们(图中红点)将完成自己的“生命”周期,并最终分化为表皮角质,然后从皮肤表面清除。因此,改善毛囊干细胞的外部刺激,是未来最有希望的改善脱发的方法 [3]。

毛囊干细胞的老化和脱发的机制。图片来源:Science [3]
美国科罗拉多大学的研究者通过对干细胞的研究,发现Foxc1是“启动”小鼠的毛囊干细胞的转录因子,即在成年小鼠的毛发生长周期,毛囊干细胞周期性地在激活阶段和静止阶段之间切换来维持干细胞群体的稳定性,产生新的毛囊。通过操纵Foxc1在毛发生长周期不同阶段中的表达,或许就能调控毛囊干细胞的生长周期 [4]。

Foxc1对毛囊干细胞的调控。图片来源:Science [4]
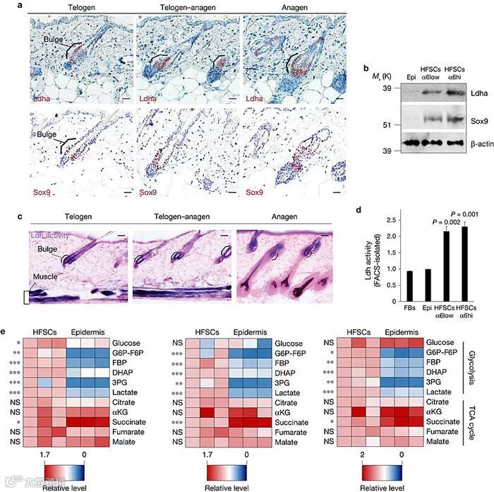
美国加州大学洛杉矶分校(UCLA)的研究者发现,毛囊干细胞的代谢不同于皮肤中的其它细胞,随着毛囊干细胞不断消耗来自血液中的葡萄糖,代谢产物丙酮酸盐增加,并被传输至线粒体中,转化为乳酸,这些乳酸反过来会刺激毛囊干细胞激活。研究人员遗传性地阻断了小鼠机体中乳酸的产生,发现这将抑制毛囊干细胞的激活。反之,当遗传性地增加小鼠机体中乳酸的产生时,也能够加速毛囊干细胞激活,增加生发周期。换句话说,如果人体也存在类似机制,通过简单的改变乳酸就能够影响到头发生长,那么寻找药物治疗的方法将变得简单得多 [5]。

NCB乳酸脱氢酶对HFSCs的影响。图片来源:Nat. Cell Biol. [5]
与此同时,药物的研发也一直没有停止,浙江大学的吕中法课题组通过莫罗奈德对头发生长的影响及其机制,以及调节毛囊细胞生长周期的转变的研究,认为莫诺苷对体外根鞘细胞增殖和迁移有明显的促进作用。莫诺苷是从山茱萸中提取的最丰富的环烯醚萜苷,在不同的细胞功能和组织再生中具有多种生物活性。研究者通过小鼠实验,验证了该物质对毛囊细胞积极的刺激作用,并认为可能是治疗脱发的潜在药物 [6]。

莫诺苷分子式。图片来源:Sci. Rep.[6]
不过,也有研究者通过研究毛囊损伤对周围的影响时发现,器官水平的群体感应可以激活更多的毛囊,激发毛发再生。他们在直径超过六毫米的区域以低密度模式拔掉小鼠两百根毛发时,没有新毛发再生;然而当他们在直径三到五毫米的区域以较高密度拔掉小鼠两百根毛发的时候,小鼠再生了450-1300根毛发。[7] 这或许意味着,合理的拔头发有可能促进头发再生。(科研有风险,用自己试验需谨慎)

毛囊激发及再生,图片来源:Cell [7]
保护好发际线,至少我们能够确定的是,机体激素失衡、压力、衰老等因素都会导致毛囊干细胞的衰老死亡,因此在研究者们找到一种其实有效的激发毛囊干细胞的方法之前,还是让我们好好的保护自己的头发吧。
就算是脱发了也没啥,很多人都和你在一起——来自一位博士生的深深地忧伤。
PS,谨以此文祝师兄旭哥和他的师妹新婚快乐,小希要去当伴郎——趁着我还有头发~~~
参考文献:
[1] Garza L A , Yang C C , Zhao T , et al. Bald scalp in men with androgenetic alopecia retains hair follicle stem cells but lacks CD200-rich and CD34-positive hair follicle progenitor cells.[J]. Journal of Clinical Investigation, 2011, 121(2):613-622. DOI: 10.1172/JCI44478
[2] Lei M , Chuong C M . Aging, alopecia, and stem cells. Science, 2016, 351(6273): 559-560. DOI: 10.1126/science.aaf1635
[3] Matsumura H , Mohri Y , Binh N T , et al. Hair follicle aging is driven by transepidermal elimination of stem cells via COL17A1 proteolysis. Science, 2016, 351(6273): aad4395. DOI: 10.1126/science.aad4395
[4] Wang L , Siegenthaler J A , Dowell R D , et al. Foxc1 reinforces quiescence in self-renewing hair follicle stem cells. Science, 2016, 351(6273): 613. DOI: 10.1126/science.aad5440
[5] Flores A , Schell J , Krall A S , et al. Lactate dehydrogenase activity drives hair follicle stem cell activation. Nature Cell Biology, 2017, 19(9):1017. DOI: 10.1038/ncb3575
[6] Zhou L, Wang H, Jing J, et al. Morroniside regulates hair growth and cycle transition via activation of the Wnt/β-catenin signaling pathway. Scientific Reports, 2018, 8: 13785. DOI:10.1038/s41598-018-32138-2
[7] Chen C C , Wang L , Plikus M V , et al. Organ-level quorum sensing directs regeneration in hair stem cell populations.[J]. Cell, 2015, 161(2):277-290. DOI: 10.1016/j.cell.2015.02.016
(本文由小希供稿)

本文版权属于X-MOL(x-mol.com),未经许可谢绝转载!欢迎读者朋友们分享到朋友圈or微博!
长按下图识别图中二维码,轻松关注我们!

点击“阅读原文”,查看 化学 • 材料 领域所有收录期刊




