早期准确评估肿瘤治疗后效果具有重要的临床指导意义。早期效果评价能及时发现并中止无效的治疗,指导临床医生制定更优的治疗方案,减少不必要的医疗资源的浪费及病人的花费,从而延长病人的生存时间。影像学检查是肿瘤疗效评价的常规手段,主要包括:超声(US)、增强CT、磁共振成像(MRI)等。这些手段主要基于解剖学层面,测量肿瘤尺寸变化。然而,这种形态学变化通常发生在治疗后的几周甚至几个月,并且有些治疗通常不伴随肿瘤体积变化或者体积变化通常发生在数月后,这将耽误有效治疗方案的实施,使病人遭受不必要的副作用甚至疾病恶化;另外,体积测量还受坏死组织或瘢痕的影响,影响治疗效果的准确评估。
分子影像是分子生物学和体内成像的融合。与传统的成像相比,它不仅提供解剖学信息,而且能提供疾病的分子水平信息。肿瘤坏死是许多肿瘤治疗手段造成的一个积极结果。这些治疗手段包括血管阻断剂、微创治疗、化疗栓塞等。细胞坏死后,细胞膜破裂,大量内容物暴露,暴露的物质可以作为靶标用于坏死成像。这种对坏死组织的成像可用于更快速、直接、准确地来评估肿瘤治疗的疗效。
江苏省中医药研究院张健研究员及金乔梅助理研究员团队研究发现蒽醌类化合物具有良好的坏死靶向性,其中大黄酸(rhein)的坏死靶向性能及药代动力学性质较佳,可作为理想载体开发坏死成像探针。前期研究已用131I标记大黄酸对坏死心肌成像,展现出较好的成像效果。但是核医学成像存在离子辐射和分辨率低的缺点,相比而言,MRI具有时空分辨率高且不产生电离辐射等优点,若将其制备成MRI造影剂将具有更大的应用潜力。由此,江苏省中医药研究员团队构建了大黄酸为坏死靶向载体,脂肪烃为连接臂(linker),Gd-DOTA为成像剂的坏死亲和性造影剂GdLn(n = 1, 2, 3)。

Figure 1. Schematic structures of GdLn (n = 1, 2, 3)
其中GdL1在体外显示了优异的磁共振性质,其弛豫率分别为7.28,显著高于临床上常用造影剂Gd-DOTA(4.28);并且具有很好的体外稳定性及水溶性。同时,从大鼠缺血再灌注肝坏死模型以及肌肉坏死模型的磁共振成像上可以看到,GdL1实现了对坏死肝脏和坏死肌肉的清晰在体成像,明显区分坏死组织与正常组织,显示出良好的坏死靶向性。

Figure 2. The MR images of rat models of reperfused liver infarction at pre-injection and 0 h, 0.5h, 3 h, 12 h post-injection of GdL1 (0.1 mmol/kg) and Gd-DOTA and corresponding macroscopic section. White arrow shows necrotic liver, S indicates stomach

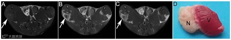
Figure 3. MR images and corresponding TTC staining images of rats with muscular necrosis. A-D were images of rats with muscular necrosis at pre-injection and 0 h, 3 h post-injection of GdL1 (0.1 mmol/kg) and corresponding TTC staining images of necrotic muscle. White arrow shows the necrotic muscle, Necrosis (N), Viable (V).
最后研究团队亦成功实现了GdL1对血管阻断药物CA4P治疗荷瘤大鼠W256皮下移植瘤的效果评价。肿瘤大鼠给予GdL1后3 h成像,肿瘤坏死中心显著增强,表明GdL1能够积累在CA4P治疗后的肿瘤坏死中心,具有早期评估CA4P治疗效果的潜力。肿瘤坏死是多种肿瘤治疗手段的治疗结果,包括血管阻断剂、化疗栓塞、射频消融及微波消融等。介于GdL1优异的成像性能及合成方法,有望将其应用于临床上多种肿瘤治疗后的效果评价,为临床医师的方案制定提供指导。

Figure 4. MR images of rats bearing W256 treated with CA4P at pre-injection and 0 h, 3 h post-injection of GdL1 and corresponding H&E-stained tumor section (A1-A4), white arrows indicate the necrotic areas of tumor; MR images of rats bearing W256 treated with saline at pre-injection and 0 h, 3 h post-injection of GdL1 and corresponding H&E-stained tumor section (B1-B4), (H&E, ×200).
这一成果近期发表在Analytical Chemistry 上,文章的通讯作者是江苏省中医药研究院张健研究员及金乔梅助理研究员。
该论文作者为:Li Bian, Meng Gao, Dongjian Zhang, Aiyan Ji, Chang Su, Xinghua Duan, Qi Luo, Dejian Huang, Yuanbo Feng, Yicheng Ni, Zhiqi Yin, Qiaomei Jin*, Jian Zhang*
原文(扫描或长按二维码,识别后直达原文页面):

Synthesis and Biological Evaluation of Rhein-Based MRI Contrast Agents for in Vivo Visualization of Necrosis
Anal. Chem., 2018, 90, 13249–13256, DOI: 10.1021/acs.analchem.8b01868
张健博士简介
张健,研究员,现任职于江苏省中医药研究院转化医学实验室副主任。长期从事药物和临床的转化医学研究,入选江苏省“333工程”培养对象、江苏省第九批“六大人才高峰”高层次人才,第五届江苏省优秀青年中医药工作者。与比利时鲁汶大学合作研究获得2010世界造影剂大会科学奖,还获得江苏省科学技术进步二等奖1项,中华中医药学会科技进步三等奖1项,教育部科技成果一等奖、南京市科学技术进步一等奖。主持多项国家省部级项目,发表SCI论文80余篇,参编著作2部,授权专利6项。Contrast Media & Molecular Imaging 的客座编辑,Molecular Pharmaceutics、Oncotarget、Theranostics、Food and Function、Phytomedicine等杂志审稿人。
金乔梅博士简介
金乔梅,江苏省中医药研究院转化医学实验室助理研究员。2015年,中国药科大学药物化学博士毕业,2016年起,就职于江苏省中医药研究院。研究领域是药物化学、分子影像方向。近三年内,以一作或通讯作者身份发表SCI论文9篇,其中,影响因子大于6分2篇。

本文版权属于X-MOL(x-mol.com),未经许可谢绝转载!欢迎读者朋友们分享到朋友圈or微博!
长按下图识别图中二维码,轻松关注我们!

点击“阅读原文”,查看 化学 • 材料 领域所有收录期刊




