放疗是乳腺癌患者术后的主要辅助治疗手段之一,可降低20%以上的10年复发风险,然而多数患者的肿瘤依然会在治疗后不同时期内复发,且目前应对复发肿瘤的策略极为有限。为改善乳腺癌患者预后,目前已有临床试验尝试通过放疗联合免疫治疗控制肿瘤进展和复发。然而,放疗可重塑肿瘤微环境,诱导众多促存活因子和免疫抑制性因子表达和释放,帮助肿瘤抵抗联合治疗。因此,理解放疗引起的免疫抑制性因子表达的变化及其调控机制,对阐明肿瘤适应性抵抗机制、选择合适的联合治疗方案和改善患者预后都具有十分重要的意义。
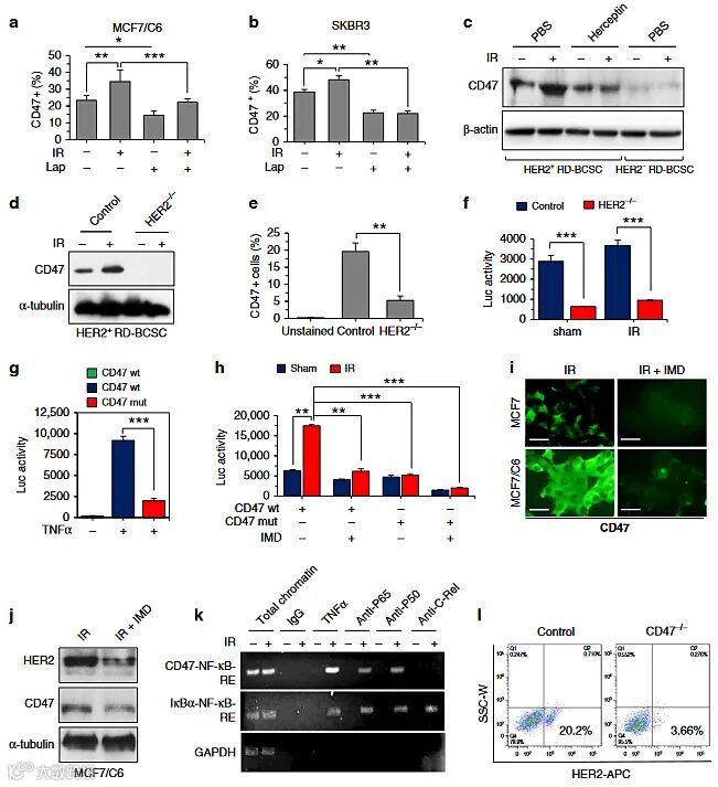
加州大学戴维斯分校李健健教授团队一直致力于放射相关的基础研究工作,并于近日在Nature Communications 发表研究论文,报道了对乳腺癌细胞耐受放疗及逃避免疫监视机制的研究成果。他们发现多种乳腺癌细胞(包括三阴乳癌细胞)在体内、外放疗过程中均可被诱导表达HER2和CD47膜蛋白。HER2表达升高可通过激活下游多条信号通路增强细胞的增殖和侵袭能力、促进血管和淋巴管生成,抑制细胞凋亡;CD47则可通过与巨噬细胞表面的SIRPα结合抑制巨噬细胞对肿瘤细胞的吞噬作用。因此,放疗条件下存活的肿瘤细胞高表达HER2和CD47,不仅可增强细胞本身的增殖和存活能力,同时也可抑制巨噬细胞对肿瘤细胞的吞噬作用,共同促进肿瘤复发。通过应用CRISPR技术、抗体和抑制剂等多种手段抑制HER2或CD47可同时降低二者的表达水平以及阳性细胞比例。阻断肿瘤细胞表面的CD47和HER2不仅可增强巨噬细胞对肿瘤细胞的吞噬能力,也可抑制肿瘤细胞自身的增殖、侵袭以及对放疗的抵抗能力。进一步研究发现CD47启动子区存在NF-κb结合的motif,肿瘤细胞通过活化HER2-NF-κb信号途径调节CD47表达。体内实验发现同时阻断HER2和CD47膜蛋白,可有效增加放疗抵抗肿瘤对射线的敏感性,增强巨噬细胞对肿瘤细胞的吞噬作用。

图1. HER2-NF-κb信号途径调节CD47表达
该研究揭示了乳腺癌细胞通过上调HER2和CD47增强自身增殖、侵袭和存活能力,逃避巨噬细胞吞噬的机制,提出联合阻断HER2和CD47膜蛋白消除乳腺癌放疗抗性的新策略。

图2. 放疗联合阻断HER2和CD47可有效抑制放疗抵抗肿瘤的生长。
加州大学戴维斯分校的Demet Candas-Green和中南大学湘雅医院的谢波文为论文第一作者,李健健教授为论文的通讯作者。
Dual blockade of CD47 and HER2 eliminates radioresistant breast cancer cells
Demet Candas-Green, Bowen Xie, Jie Huang, Ming Fan, Aijun Wang, Cheikh Menaa,Yanhong Zhang, Lu Zhang, Di Jing, Soheila Azghadi, Weibing Zhou, Lin Liu, Nian Jiang, Tao Li, Tianyi Gao, Colleen Sweeney, Rulong Shen, Tzu-yin Lin, Chong-xian Pan, Omer M. Ozpiskin, Gayle Woloschak, David J. Grdina, Andrew T. Vaughan, Ji Ming Wang, Shuli Xia, Arta M. Monjazeb, William J. Murphy, Lun-Quan Sun, Hong-Wu Chen, Kit S. Lam, Ralph R. Weichselbaum, Jian Jian Li
Nat Commun., 2020, 11, 4591, DOI: 10.1038/s41467-020-18245-7


本文版权属于X-MOL(x-mol.com),未经许可谢绝转载!欢迎读者朋友们分享到朋友圈or微博!
长按下图识别图中二维码,轻松关注我们!
点击“阅读原文”,查看 化学 • 材料 领域所有收录期刊
