搜索
首页
大数快讯
大数活动
服务超市
文章专题
出海平台
流量密码
出海蓝图
产业赛道
物流仓储
跨境支付
选品策略
实操手册
报告
跨企查
百科
导航
知识体系
工具箱
更多
找货源
跨境招聘
DeepSeek
首页
>
【纳米】湖南大学张晓兵和宋国胜Nat Commun:比率型长余辉纳米探针用于精准分子成像
>
0
0
【纳米】湖南大学张晓兵和宋国胜Nat Commun:比率型长余辉纳米探针用于精准分子成像
X-MOL资讯
2022-05-20
3
导读:湖南大学张晓兵教授和宋国胜教授团队报道了一种比率型余辉发光纳米平台(RAN),用于定制各种可激活的余辉探针,并将其应用于某些特定分析物的定量检测和成像
近年来,生物发光、化学发光和余辉发光等不依赖于激光实时照射的分子成像策略,在低背景生物成像领域引起了越来越多的关注。但目前大多数生物发光或化学发光探针均显示出不可控的光子释放,难以准确地指示出生物体系中目标物的动态变化。余辉发光是指余辉底物在停止光激发后仍然可以继续发光的现象。由于激光照射和光子采集过程的分离,余辉发光过程中的光子释放是相对可控的,这为活体中生物靶标的可靠成像提供了广阔的前景。然而,当前的余辉探针仍然面临以下挑战:(1)余辉材料的结构惰性,难以设计针对不同生物靶标或生理过程的可激活型余辉成像探针;(2)光照停止后余辉强度随
时间
的衰减,使其难以准确量化目标物。因此,为了在生理或病理过程中提供各种生物靶点的可靠和特异性成像,构建一个全新的余辉成像平台是非常必要的。
图1. 比率余辉成像纳米平台的设计及其在成像原理示意图。
基于此,
湖南大学张晓兵
教授和
宋国胜
教授团队报道了一种
比率型余辉发光纳米平台(RAN),用于定制各种可激活的余辉探针,并将其应用于某些特定分析物的定量检测和成像
(图1)。首先,他们通过纳米共沉淀的方法将余辉底物MEHPPV,光敏剂BDP-Br和NO响应型荧光探针NRM整合在一起,构建了一个基于余辉共振
能量
转移的余辉发光纳米探针RAN1,用于NO的定量检测和成像。当撤去激发光后,光敏剂BDP-Br吸收光能并将其转化为单线态氧,同时与余辉底物MEHPPV发生反应,生成1,4-杂环丁烷中间体,该中间体能够以光子的形式缓慢释放出余辉光。通过能量转移,其余辉光就能转移到受体探针NRM上。因此,MEHPPV和NRM的余辉强度比值可作为衡量NO水平高低的指标。为了验证该比率型余辉成像平台的通用性,他们还将响应单元替换为ORM和PRM,并成功实现了ONO
O
-
和pH定量检测(图2)。值得注意的是,这些余辉探针不仅能够解决余辉强度的衰减问题,同时消除激光
功率
、照射时间、曝光时间等外在因素的干扰,还可以显著提高活体成像的可靠性和信背景比,使其在高灵敏度检测和高可靠性成像方面具有巨大的应用潜力。
图2. 比率型余辉成像纳米平台的通用性验证。
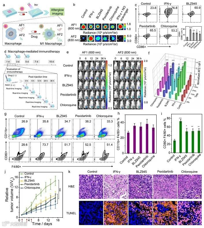
鉴于RAN优异的成像性能和高的检测灵敏度,他们将优化后的纳米探针RAN1应用于肿瘤巨噬细胞极化过程中NO的检测(图3)。细胞成像结果显示,药物刺激的RAW264.7巨噬细胞组的余辉强度比值(AF2/AF1)明显高于对照组正常细胞,表明药物诱导巨噬细胞产生了不同水平的NO。流式实验结果显示,加入药物的巨噬细胞均有M1标志物CD86和CD80的高表达,证实了巨噬细胞被极化成了M1型巨噬细胞。然后,他们对肿瘤免疫治疗过程中的巨噬细胞极化进行了实时余辉成像。结果显示,在相同的时间点,药物刺激肿瘤组的余辉强度比值(AF2/AF1)明显高于对照组,表明药物诱导肿瘤组织产生了不同水平的NO。流式实验结果显示,药物刺激肿瘤组显示出M1标志物CD80的高表达,证实了肿瘤相关巨噬细胞被极化成了M1型巨噬细胞。但标志物的表达水平却不尽相同,表明了肿瘤内发生了不同程度的巨噬细胞的极化。通过对药物刺激后的肿瘤进行了HE染色和TUNEL染色,证实了这些药物均能诱导不同程度的细胞凋亡。重要的是,余辉比值,巨噬细胞极化标志物水平,肿瘤细胞凋亡程度和肿瘤
体积
均表现出一定的相关性。因此,通过监测巨噬细胞极化标志物NO的水平变化,他们证实了该纳米探针在实时动态评估免疫治疗程度的可行性,为肿瘤免疫治疗效果的预测提供了可靠的参数。
图3. 比率型余辉成像肿瘤巨噬细胞极化过程。
这一工作发表于
Nature Communications
,第一作者为湖南大学博士后
刘永超
,通讯作者是湖南大学
张晓兵
教授和
宋国胜
教授,并得到了
谭蔚泓
院士的指导。
原文(扫描或长按二维码,识别后直达原文页面):
Ratiometric afterglow luminescent nanoplatform enables reliable quantification and molecular imaging
Yongchao Liu, Lili Teng, Yifan Lyu, Guosheng Song*, Xiao-
Bing
Zhang*, and Weihong Tan
Nat. Common
.,
2022
,
13
, 2216, DOI: 10.1038/s41467-022-29894-1
导师介绍
张晓兵
https://www.x-mol.com/groups/zhang_xiaobing
【声明】内容源于网络
0
0
X-MOL资讯
“X-MOL资讯”隶属于X-MOL学术平台(官网x-mol.com),关注化学、材料、生命科学、医学等领域的学术进展与科研前沿,提供专业与深度的内容。公众号菜单还提供“期刊浏览”等强大功能,覆盖各领域上万种期刊的新近论文,支持个性化浏览。
内容
19833
粉丝
0
关注
在线咨询
X-MOL资讯
“X-MOL资讯”隶属于X-MOL学术平台(官网x-mol.com),关注化学、材料、生命科学、医学等领域的学术进展与科研前沿,提供专业与深度的内容。公众号菜单还提供“期刊浏览”等强大功能,覆盖各领域上万种期刊的新近论文,支持个性化浏览。
总阅读
8.1k
粉丝
0
内容
19.8k
在线咨询
关注