
microRNA被证实参与着几乎全部人体内的生命调节,因此microRNA治疗近年来成为了microRNA领域研究的热门话题。然而,由于microRNA自身不稳定性极大限制了microRNA治疗的前景。传统递送系统复杂的制备过程,较高的生物安全风险和较差的转染效率也无法让microRNA治疗发挥最大的潜能。
受到中华文化遗产标志“太阳神鸟”的启发,四川大学林云锋教授团队设计了一种由三条相同microRNA(“神鸟”)首尾相接环绕核酸骨架(“太阳”)的基于四面体框架核酸的生物响应性microRNA递送系统(BiRDS)。相较于传统运载系统,BiRDS保持了四面体框架核酸(tFNA)的四面体三维结构表现出了较强的细胞摄取能力,而且该结构的小尺寸特性使其具有很强的经皮渗透能力。BiRDS给予了microRNA充分保护,无论是在高浓度血清或是核酸酶中均表现出出色的稳定性。除此之外,在该结构内部设计了“腹域”和“尾域”两处重要的功能区域,从而实现BiRDS的生物响应性以及充分发挥microRNA的功能。该研究突破了传统使用框架核酸运输microRNA的模式,解决了microRNA治疗的缺点的同时也为其他核酸类似物(LNA、PNA等)的递送提供了一条新思路。相关研究论文发表在Advanced Materials 上。



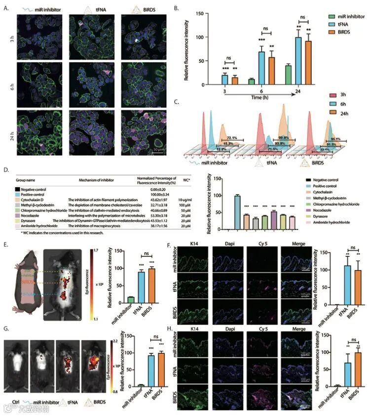
图3. BiDRS出色的细胞摄取能力和组织渗透性。
该论文第一作者位四川大学华西口腔医学院博士研究生李松航,四川大学华西口腔医学院林云锋教授和田陶然副研究员位该文通讯作者,四川大学为第一完成单位。该研究得到了国家重点研发计划(2019YFA0110600)和国家自然科学基金(81970916、81671031、81800947)等项目的支持。
A Tetrahedral Framework DNA-Based Bioswitchable microRNA Inhibitor Delivery System: Application to Skin Anti-Aging
Songhang Li, Yuhao Liu, Tao Zhang, Shiyu Lin, Sirong Shi, Jiajun He, Yu Xie, Xiaoxiao Cai, Taoran Tian*, Yunfeng Lin*
Adv. Mater., 2022, 2204287, DOI: 10.1002/adma.202204287
林云锋,教授,博士生导师。主要从事核酸纳米材料和再生医学研究。发表通讯/第一作者SCI论著176篇(累计影响因子约1550),包括Nature Protocols,Materials Today, Advanced Materials等,F1000推荐论文3篇,封面论文16篇,ESI热点论文2篇,ESI高被引论文12篇,SCI引用7500次。主编8部英文专著。担任Bone Research杂志执行主编,Cell Proliferation执行副主编等。
https://www.x-mol.com/university/faculty/341970


点击“阅读原文”,查看 化学 • 材料 领域所有收录期刊
