英文原题:Controlling Disassembly of Paramagnetic Prodrug and Photosensitizer Nanoassemblies for On-Demand Orthotopic Glioma Theranostics
通讯作者:叶德举 (南京大学化学化工学院);柳红 (中科院上海药物研究所)
作者:Ruibing An (安瑞冰), Lingjun Liu (刘玲君), Shauna Wei(魏世轩), Zheng Huang(黄郑), Ling Qiu(邱玲), Jianguo Lin(林建国)
背景介绍
脑胶质瘤作为一种高浸润性、高转移性的肿瘤,因其预后差、死亡率高、复发率高等挑战,被认为是最具侵袭性的恶性脑肿瘤之一。虽然,目前临床上已采用手术切除、放疗、化疗等多种方法来治疗脑胶质瘤,但其预后仍较差,中位总生存期仅为14-17个月。由于血脑屏障(BBB)的限制,目前发展的大部分抗肿瘤药物难以穿越BBB到达肿瘤部位,对脑胶质瘤的治疗效果不佳;此外,由于这些药物缺乏肿瘤特异性,易导致严重的毒副作用和耐药性。提高抗肿瘤药物在脑胶质瘤中的递送和疗效,实现原位脑胶质瘤的按需高效治疗仍极具挑战性。

图1. 共组装纳米诊疗探针的结构及作用机理图
文章亮点
近日,南京大学叶德举教授和中科院上海药物研究所柳红研究员合作在ACS Nano上发表了脑胶质瘤靶向激活的有机共组装纳米诊疗探针用于原位脑胶质瘤的近红外荧光-磁共振双模态成像和化疗-光动力联合治疗的研究工作。作者基于分子共组装和可控解组装策略,分别合成了αvβ3整合素靶向、谷胱甘肽响应的顺磁性近红外光敏探针(PPa-RGD)和喜树碱前药(CPT-RGD);通过优化这两个分子的共组装比例,制备了兼具生理稳定性和协同治疗的共组装纳米诊疗探针(Co-NP-RGD;图1和图2),并详细探究了其在小鼠体内对原位脑胶质瘤的双模态成像和化疗-光动力联合治疗效果。

图2. 优化PPa-RGD和CPT-RGD的共组装比列用于制备兼具良好稳定性和协同治疗效果的纳米探针

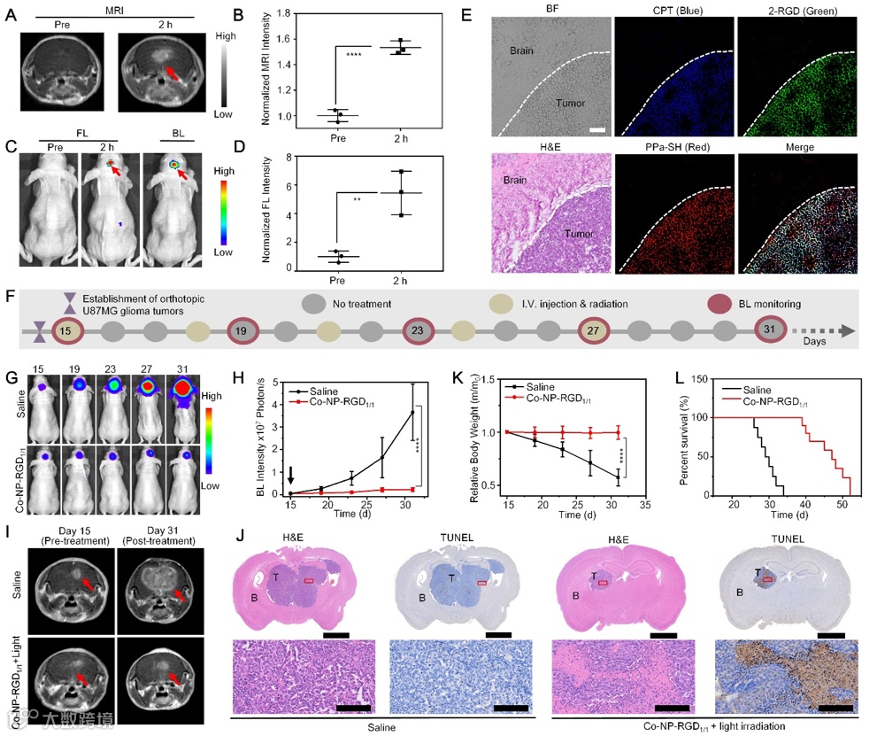
图3. 小鼠体内原位脑胶质瘤的近红外荧光-核磁共振双模态成像和化疗-光动力联合治疗研究
通过静脉给药后,Co-NP-RGD借助纳米颗粒大量的RGD靶向基团作用,能有效穿越BBB,并递送到原位脑胶质瘤细胞(U87MG和U251)中,一方面产生增强的核磁共振成像造影信号用于定位处于脑部的原位脑胶质瘤;另一方面,在脑胶质瘤细胞内高浓度的谷胱甘肽作用下,发生快速的解组装,同时释放出小分子抗肿瘤药物CPT和近红外光敏剂PPa,从而恢复光动力学功能,并产生增强的近红外荧光信号用于监测药物的释放和蓄积。在双模态成像信号的指导下,用低剂量的690 nm激光(0.2 W/cm2)照射小鼠的原位脑胶质瘤,产生化疗-光动力治疗协同治疗,能有效延缓了原位脑胶质瘤的生长,并延长了小鼠的生存期(图3)。
总结/展望
基于分子共组装和可控解组装策略,研究团队开发了一种脑胶质瘤靶向和肿瘤还原环境激活的共组装有机纳米诊疗探针,用于近红外荧光-核磁共振双模态成像指导的原位脑胶质瘤的按需化疗-光动力协同治疗研究。实验结果显示,该共组装纳米探针相比小分子化合物能有效延长血液循环时间,并穿越BBB,靶向递送到αvβ3整合素高表达的胶质瘤细胞中;在肿瘤细胞内还原环境作用下,发生快速的解组装,同时释放出抗癌药物喜树碱(用于肿瘤化疗)和近红外卟啉光敏剂(用于肿瘤光动力治疗)。此外,释放的小分子卟啉光敏剂进一步与肿瘤细胞内的白蛋白结合,能特异性的蓄积在肿瘤细胞内,而同时释放的喜树碱可以抑制乏氧诱导因子HIF-1α,进而改善脑胶质瘤组织中的乏氧环境,从而增强对深层原位脑胶质瘤的光动力治疗疗效,实现对脑胶质瘤的高效协同治疗。本文所设计的分子共组装和可控解组装策略,可以进一步应用于构建其它肿瘤靶向和激活的纳米药物以产生癌症的联合治疗效果,促进癌症的诊疗。
相关论文发表在ACS Nano上,南京大学博士后安瑞冰和上海药物研究所博士研究生刘玲君为文章的共同第一作者,叶德举教授和柳红研究员为共同通讯作者。
通讯作者信息:
叶德举 教授
南京大学化学化工学院教授,南京大学化学与生物医药创新研究院课题组长。国家高层次青年人才、国家优秀青年基金获得者。目前担任美国化学会Chem. Biomed. Imaging期刊执行主编。主要从事活体成像分析研究,通过开展以多模态影像探针的构筑方法学为基础的研究工作,建立针对疾病相关的重要生物功能分子的无损、实时的活体分析方法,应用于相关疾病的早期诊断与疗效评价。目前已在Nat. Chem., Nat. Biomed. Eng., Nat. Comm., JACS., Angew. Chem. Int. Ed., ACS Nano, Chem. Soc. Rev.等国际著名学术期刊发表论文100余篇,申请专利10余项,授权8项。
课题组主页:https://hysz.nju.edu.cn/yedeju/main.htm
柳红 研究员
中国科学院上海药物研究所研究员、课题组长、博士生导师、学术委员会副主任,国家杰出青年、国家科技创新领军人才获得者。主要从事药物化学、药物设计和化学生物学研究。针对神经精神系统疾病、代谢性和泌尿系统疾病、病毒、肿瘤和自身免疫等多个重大疾病领域进行新药创制研究。在Science、Nature、Chem. Rev.、Cell Metab.、Nat. Commun.、Angew. Chem. Int. Ed.、J. Med. Chem.等国际学术期刊发表论文300余篇,获得国内外发明专利授权百余项,实现技术转让7项,参与15本专著章节的编写。中国化学会首批会士、理事会成员,中国药学会专业委员会委员。获得吴阶平-保罗·杨森医学药学奖、中国青年科技奖、中国青年女科学家奖等多项荣誉,作为第一完成人获得第十六届中国药学会科学技术一等奖、2020年度上海市科技进步一等奖、2019年度上海药学科技奖一等奖等多项科技奖励,其研究团队于2018年获得了科技部创新人才推进计划重点领域创新团队称号。
出版信息:

ACS Nano 2022, 16, 12, 20607–20621
Publication Date: December 12, 2022
https://doi.org/10.1021/acsnano.2c07491
Copyright © 2022 American Chemical Society


