搜索
首页
大数快讯
大数活动
服务超市
文章专题
出海平台
流量密码
出海蓝图
产业赛道
物流仓储
跨境支付
选品策略
实操手册
报告
跨企查
百科
导航
知识体系
工具箱
更多
找货源
跨境招聘
DeepSeek
首页
>
【天然产物】中山大学周怡/尹胜教授团队Adv Sci:二萜类天然小分子化合物靶向Cdc42治疗肾脏纤维化
>
0
0
【天然产物】中山大学周怡/尹胜教授团队Adv Sci:二萜类天然小分子化合物靶向Cdc42治疗肾脏纤维化
X-MOL资讯
2024-01-27
3
导读:中山大学附属第一医院周怡教授团队与药学院尹胜教授团队合作,以抗肾脏纤维化活性为导向,对中药黄芫花进行了化合物的分离鉴定和体外筛选,获得一个在体内外具有强效抗肾脏纤维化活性的瑞香烷型二萜小分子DA
慢性肾脏病(Chronic kidney disease, CKD)是全球性公共卫生问题,其发病率已占成年人口10%,据估计,到2040年CKD将成为全球第五大主要死因,严重威胁人类健康。肾脏纤维化是CKD的共同终末期病理改变,其进展最终会导致肾功能衰竭和死亡。目前,CKD的临床治疗主要依赖于糖皮质激素和肾素-血管紧张素-醛固酮信号通路阻断剂,然而它们的疗效十分有限,有30~40%的CKD患者仍然会在确诊后的10-15年内出现肾衰竭,并且这些药物对于肾脏纤维化的抑制作用尚不明确。因此,开发新型抗肾脏纤维化药物是亟待解决的临床问题。
近日,
中山
大学附属第一医院周怡
教授团队与
药学院尹胜
教授团队合作在
Advanced Science
杂志在线发表研究论文,以抗肾脏纤维化活性为导向,
对中药黄芫花进行了化合物的分离鉴定和体外筛选,获得一个在体内外具有强效抗肾脏纤维化活性的瑞香烷型二萜小分子DA
,并利用转录组和热蛋白组(TPP)发现和证实其
直接作用靶点为Cdc42,首次揭示了Cdc42为肾脏纤维化治疗的潜在靶点。
研究人员在具有抗肾脏纤维化活性的黄芫花成分中分离得到16个化合物,进一步的筛选发现其中
DA
活性最佳,且其效力优于目前纤维化治疗药物吡非尼酮。
DA
能够显著抑制肾脏成纤维细胞的激活,阻断肾小管上皮细胞的间质转分化,并减轻模型小鼠(UUO)的肾脏纤维化。
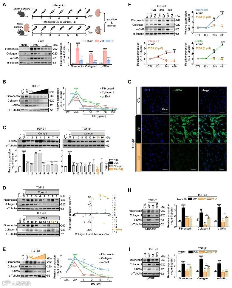
图1.
DA
显著抑制肾脏纤维化。图片来源:
Adv. Sci.
基于对RNA-seq和TPP结果的分析,研究人员推测
DA
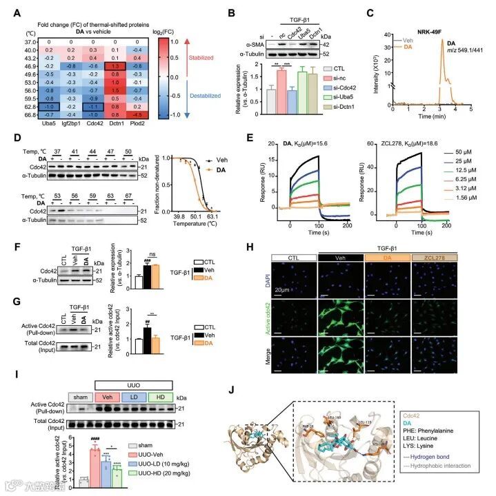
通过靶向Cdc42抑制β-catenin信号通路,从而遏制纤维化;随后利用活性Cdc42 pull-down实验、细胞热转移实验(CETSA)、表面等离子共振(SPR)、挽救实验等进行了证实;Molecular docking和残基突变实验表明Leu119和Lys128是化合物与Cdc42结合的关键位点。
图2. 发现
DA
的靶点是Cdc42。图片来源:
Adv. Sci.
研究人员通过对CKD临床病人RNA测序数据库的分析及肾穿标本的免疫组化染色,发现相比于癌旁正常肾脏组织,Cdc42在纤维化的肾脏中高表达,且与各纤维化组分(α-SMA、collagen I、collagen III和fibronectin)呈正相关关系,表明Cdc42与肾脏纤维化的发生发展密切相关,并对其具有促进作用。综上所述,本研究提出Cdc42可作为临床上肾脏纤维化治疗靶标,并为新型药物的研发提供了天然先导分子。
图3.
DA
靶向Cdc42抑制肾脏纤维化。图片来源:
Adv. Sci.
以上研究成果已发表于国际权威期刊
Adv. Sci.
上,中山大学附属第一医院肾内科的
胡昕蓉
博士和中山大学药学院的
甘露
博士为论文并列第一作者,
周怡
教授和
尹胜
教授为论文的共同通讯作者。
原文(扫描或长按二维码,识别后直达原文页面):
A Natural Small Molecule Mitigates Kidney Fibrosis by Targeting Cdc42-mediated GSK-3β/β-catenin Signaling
Xinrong Hu, Lu Gan, Ziwen Tang, Ruoni Lin, Zhou Liang, Feng Li, Changjian Zhu, Xu Han, Ruilin Zheng, Jiani Shen, Jing Yu, Ning Luo, Wenxing Peng, Jiaqing Tan, Xiaoyan Li, Jinjin Fan, Qiong Wen, Xin Wang, Jianbo Li, Xunhua Zheng, Qinghua Liu, Jianping Guo, Guo-Ping Shi, Haiping Mao, Wei Chen, Sheng Yin, Yi Zhou
Adv. Sci
.,
2024
, DOI: 10.1002/advs.202307850
点击“
阅读原文
”,查看
化学 • 材料
领域
所有收录期刊
【声明】内容源于网络
0
0
X-MOL资讯
“X-MOL资讯”隶属于X-MOL学术平台(官网x-mol.com),关注化学、材料、生命科学、医学等领域的学术进展与科研前沿,提供专业与深度的内容。公众号菜单还提供“期刊浏览”等强大功能,覆盖各领域上万种期刊的新近论文,支持个性化浏览。
内容
19833
粉丝
0
关注
在线咨询
X-MOL资讯
“X-MOL资讯”隶属于X-MOL学术平台(官网x-mol.com),关注化学、材料、生命科学、医学等领域的学术进展与科研前沿,提供专业与深度的内容。公众号菜单还提供“期刊浏览”等强大功能,覆盖各领域上万种期刊的新近论文,支持个性化浏览。
总阅读
8.1k
粉丝
0
内容
19.8k
在线咨询
关注