搜索
首页
大数快讯
大数活动
服务超市
文章专题
出海平台
流量密码
出海蓝图
产业赛道
物流仓储
跨境支付
选品策略
实操手册
报告
跨企查
百科
导航
知识体系
工具箱
更多
找货源
跨境招聘
DeepSeek
首页
>
【纳米】南京大学刘震教授团队ACS Nano:合理设计的双特异性纳米免疫阻断剂通过双重免疫检查点阻断恢复抗癌免疫力
>
0
0
【纳米】南京大学刘震教授团队ACS Nano:合理设计的双特异性纳米免疫阻断剂通过双重免疫检查点阻断恢复抗癌免疫力
X-MOL资讯
2025-02-21
1
导读:南京大学刘震教授团队近期开发了一种双特异性分子印迹纳米免疫阻断剂(bsMINIB),通过同步阻断先天性和适应性免疫检查点增强抗肿瘤免疫。
癌症免疫疗法通过激活免疫系统识别和消除癌细胞取得显著进展,其中免疫检查点阻断(ICB)疗法,尤其是PD-L1阻断,成为最具前景的治疗手段。然而,由于T细胞耐药、浸润不足及多个检查点间的串扰等问题,仅少数患者从中受益。研究表明,联合ICB治疗更为有效。其中另一个令人关注的为CD47/SIRPα这一对免疫检查点。CD47通过与SIRPα结合抑制巨噬细胞对肿瘤的吞噬作用,PD-L1/PD-1和CD47/SIRPα轴共同抑制抗肿瘤免疫,导致肿瘤逃逸和转移。因此,联合阻断这两个免疫检查点成为激活全身抗肿瘤免疫的关键策略。尽管双特异性抗体(BsAb)疗效显著,但其毒性(如细胞因子释放综合征)和生产难度限制了临床应用。因此,开发高亲和力、稳定的新型纳米药物用于双检查点阻断至关重要。
近日,
南京
大学刘震
教授团队近期开发了一种
双特异性分子印迹纳米免疫阻断剂(bsMINIB),通过同步阻断先天性和适应性免疫检查点增强抗肿瘤免疫
。该bsMINIB以PD-L1和SIRPα表位为模板,采用分子印迹技术构建,能够桥接肿瘤细胞与巨噬细胞,并高效阻断PD-L1/PD-1和CD47/SIRPα信号通路,恢复巨噬细胞吞噬功能,促进抗原呈递,并重激活T细胞杀伤效应。这一仿生纳米免疫阻断剂为实体瘤治疗提供了新型多靶点免疫疗法,同时展示了分子印迹技术在协同免疫治疗中的创新潜力。
图1. 双特异性bsMINIB阻断双重免疫检查点(ICB)的示意图
首先,刘震教授团队首先通过差异表达基因(DEGs)分析和基因本体(GO)富集分析,发现CD274(PD-L1)和SIRPα的低表达显著影响免疫信号通路。进一步的相关性分析表明,这两个基因的表达呈强正相关(图2B)。因此,同时靶向CD274(PD-L1)和SIRPα可能为癌症治疗提供有效的免疫治疗策略。
基于此,团队分析了PD-L1/PD-1和CD47/SIRPα的关键结合位点,并选择靠近这些位点的N端表位作为模板,成功合成了能够特异性结合PD-L1和SIRPα的双特异性分子印迹纳米免疫阻断剂(bsMINIB)。在最优印迹比例下合成的bsMINIB对PD-L1以及SIRPα蛋白均展现出nM级别的高亲和力,验证了其高效的双特异性结合能力。
图2. 双特异性bsMINIB 的合成和表征
在细胞层面,作者首先通过共聚焦显微镜和流式细胞术验证了bsMINIB对表达PD-L1的4T1乳腺癌细胞和表达SIRPα的骨髓源性巨噬细胞(BMDM)均具有优异的靶向力。随后,作者进一步证实bsMINIB能够有效阻断PD-1/PD-L1以及CD47/SIRPα的结合(图3)。
图3. 体外细胞靶向和阻断效应研究
作者进一步验证了bsMINIB通过阻断CD47/SIRPα免疫检查点,能够有效恢复巨噬细胞(BMDM)对肿瘤细胞(4T1)的吞噬作用,并显著增强BMDM的抗原提呈能力(图4)。
图4. bsMINIB阻断CD47/SIRPα相互作用引起肿瘤细胞特异性吞噬作用的体外验证
随后,作者通过尾静脉注射将荧光染料标记的bsMINIB注入荷瘤小鼠体内进行成像实验。结果显示,与单特异性印迹聚合物(MINI
B
PD-L1
和MINI
B
SIRPα
)及非印迹聚合物(NIP)相比,双特异性bsMINIB在肿瘤部位的富集率显著更高,证实了其优异的靶向能力(图6)。
图5. bsMINIB体内分布
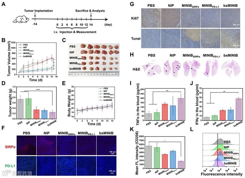
最后,作者评估了bsMINIB在小鼠肿瘤模型中的抗肿瘤效果。结果显示,与对照组相比,接受bsMINIB治疗的小鼠肿瘤生长显著抑制,肿瘤部位出现明显的细胞凋亡,同时PD-L1和SIRPα蛋白表达水平显著降低。此外,小鼠体重无明显变化,表明该纳米平台具有良好的抗肿瘤活性和生物相容性(图6)。
图6. 双特异性MINIB(bsMINIB)的体内治疗效果。
治疗结束时,作者对小鼠肿瘤部位的分析显示,bsMINIB治疗后,肿瘤中M1型巨噬细胞标志物(CD86、CD80)显著上调,而M2型标志物(CD206)下调,表明肿瘤相关巨噬细胞从促瘤的M2型向抗瘤的M1型转化。同时,脾脏和肿瘤组织中CD8⁺ T细胞和CD4⁺ T细胞的浸润显著增加。这些抗瘤 效应均源于bsMINIB对PD-L1/PD-1和SIRPα/CD47信号通路的高效阻断作用。
图7. 治疗后小鼠免疫细胞的流式细胞分析
相关研究发表在
ACS Nano
上,
刘震
教授为本文的通讯作者,2020级直博生
官佩鑫
为文章的第一作者。该研究得到了国家自然科学基金重点项目(21834003)和南京大学卓越计划(ZYJH004)的经费支持。
原文(扫描或长按二维码,识别后直达原文页面):
Rationally Engineered Bispe
cif
ic nano-Immunoblocker Restores Anticancer Immunity via Dual Immune Checkpoint Blockade
Peixin Guan, Fang Jin, Anqi Zhang, Song Gao, and Zhen Liu *
ACS Nano
,
2025
,
19
, 5392–5405, DOI: 10.1021/acsnano.4c13463
刘震课题组简介
刘震课题组以仿生分子识别为核心,结合纳米技术、先进材料、分离科学、生物质谱和拉曼光谱等手段,发展生物分离、组学分析、疾病诊断分析、单细胞分析、癌症靶向及免疫治疗新方法和新材料。课题组已在国际知名学术期刊发表论文200余篇,包括
Chemical Society Review,Accounts of Chemical Research,Angewandte Chemie International Edition,Nature Protocols,Nano Today, Advanced Science, ACS Nano
和
Chemical Science
等知名期刊。
刘震教授课题组网页:
http://hysz.nju.edu.cn/liuzhen/
https://www.x-mol.com/groups/zhenliu
点击“
阅读原文
”,查看
化学 • 材料
领域
所有收录期刊
【声明】内容源于网络
0
0
X-MOL资讯
“X-MOL资讯”隶属于X-MOL学术平台(官网x-mol.com),关注化学、材料、生命科学、医学等领域的学术进展与科研前沿,提供专业与深度的内容。公众号菜单还提供“期刊浏览”等强大功能,覆盖各领域上万种期刊的新近论文,支持个性化浏览。
内容
19833
粉丝
0
关注
在线咨询
X-MOL资讯
“X-MOL资讯”隶属于X-MOL学术平台(官网x-mol.com),关注化学、材料、生命科学、医学等领域的学术进展与科研前沿,提供专业与深度的内容。公众号菜单还提供“期刊浏览”等强大功能,覆盖各领域上万种期刊的新近论文,支持个性化浏览。
总阅读
8.1k
粉丝
0
内容
19.8k
在线咨询
关注