随着深静脉血栓、急性下肢缺血、肺栓塞等疾病的发病率不断提升,外周血栓抽吸的临床需求迅速增长。中天医疗基于创新理念,率先提出天航吸栓+天戟碎栓的血栓清除创新解决方案。该产品采用安全高效的负压抽吸原理,在不破坏红细胞的同时又能满足临床对于高负荷血栓的清除需求,其独创的“吸栓+碎栓“联合抽吸模式,有效避免堵管现象,提升手术效率。
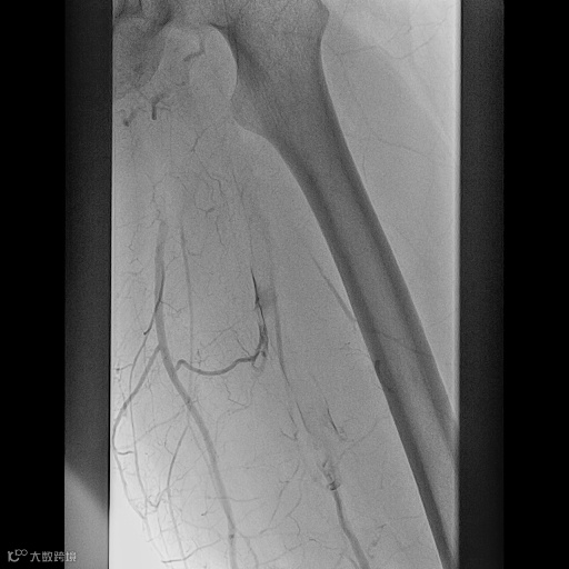
由沈阳市第一人民医院介入科陈建军主任团队运用中天天航™Pro血栓抽吸导管治疗一例急性左下肢深静脉血栓形成且伴有右下肢血流淤滞病变,成功清除血栓并快速恢复肢体灌注,欢迎大家阅读、分享、交流!
病例概述
手术计划
手术器械
手术过程
术后总结
术者介绍
关于中天
了解更多
中天医疗
微信号|ZenithVascular

