大数跨境
0
0

【应用混天绫·福建首例】福建协和介入科杨维竹、林俊清教授团队:中天混天绫在TIPS手术辅助栓塞治疗中的应用

【应用混天绫·福建首例】福建协和介入科杨维竹、林俊清教授团队:中天混天绫在TIPS手术辅助栓塞治疗中的应用 中天医疗Zenith
2025-06-16
2
导读:中天混天绫外周弹簧圈栓塞系统

 CASE 01



病例概述



基本信息:

患者39岁男性。

主诉:呕血1天余。

查体:T:36.7℃、P:100次/分、R:20次/分、BP:90/58mmHg、Sp02 99%(鼻导管给氧5L/min)。神志烦躁,贫血面容,皮肤无黄染,双肺呼吸音粗,双肺可闻及少许干湿性啰音。心律齐,无杂音。腹部平软,腹部无疤痕、无疝。无压痛,无反跳痛,肝脏右肋下、剑突下未触及,莫菲氏征阴性,移动性浊音阴性。肠鸣音4次/分。四肢无水肿。病理征未引出。


既往史:乙肝肝硬化4年余。


诊断:乙肝肝硬化伴食管胃底静脉曲张破裂出血;胃肾分流;失血性休克;双肺肺结节;双肺肺炎;重度贫血;电解质紊乱。







病例特点



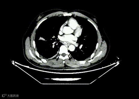
术前影像学检查(术前评估)

CT 全腹平扫+增强

1.肝硬化、食管胃底静脉曲张,胃腔内积血。

2.  肝右叶少许钙化灶。

3.双肺少许小结节,考虑低危结节,必要时随诊复查。

4.双肺尖胸膜下肺大泡。

5.双肺下叶后胸膜下弧形斑片影,坠积效应可能,炎症待消除。





治疗策略



手术方案:

经颈静脉穿刺肝内门体静脉分流

门静脉、食管胃底静脉、脾静脉等造影明确曲张静脉情况。

超选择栓塞曲张静脉。


主要器械:

中天混天绫®外周弹簧圈栓塞系统(18-10×40)、 TIPS专用支架等。





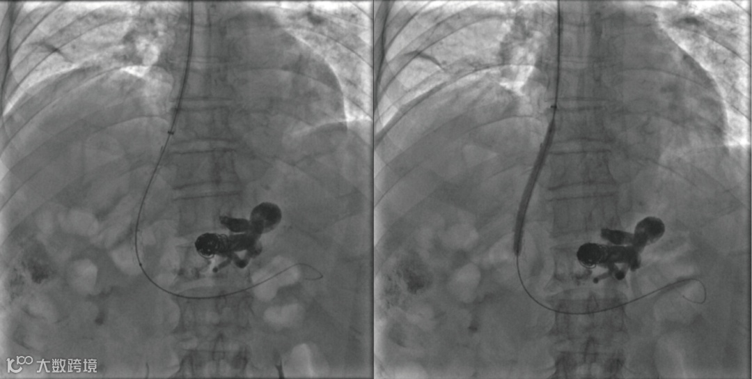
 手术经过






经右颈内静脉穿刺门静脉右支后行造影


超选择插入至曲张静脉,注入弹簧圈栓塞



超选择插入至曲张静脉,经微导管注入格鲁巴胶至曲张静脉血流基本停滞



术后造影(即刻效果):曲张静脉血管网未见显影







 CASE 02



病例概述



基本信息:

者59岁男性。

主诉:黑便2天,呕血1天。

既往史:乙肝肝硬化;肝恶性肿瘤介入治疗后;脾部分栓塞术后;腰椎间盘突出术后。


诊断:上消化道出血:食管胃底静脉曲张破裂出血 乙肝肝硬化失代偿期、门脉高压症、肺结节、双肺慢性炎症、肝囊肿、肝钙化灶、胆囊结石、腰椎间盘突出术后、肝MT化疗栓塞术后、牌部分栓塞术后。







病例特点



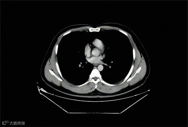
术前影像学检查(术前评估)

CT肺部+门脉造影示

1.双肺多发小结节,考虑炎性结节可能,随诊。

2.右肺中叶及左肺上叶,双肺下叶少许炎症,部分为慢性或陈旧性炎症。

3.肝硬化。

4.脾大伴多发梗死灶可能。

5.右肝占位,考虑介入术后改变。

6.肝内多发囊肿可能。

7.右肝膈下钙化灶。

8.胆囊结石。

9.食管下段、胃底及脾门多发增粗迂曲血管,考虑门脉高压可能。

10.门静脉主干及其左支血栓形成。




治疗策略



手术方案:

经颈静脉穿刺肝内门体静脉分流

门静脉、食管胃底静脉、脾静脉等造影明确曲张静脉情况。

超选择栓塞曲张静脉。


主要器械:

中天混天绫®外周弹簧圈栓塞系统(35-10×40、35-8×40)、 TIPS专用支架等。





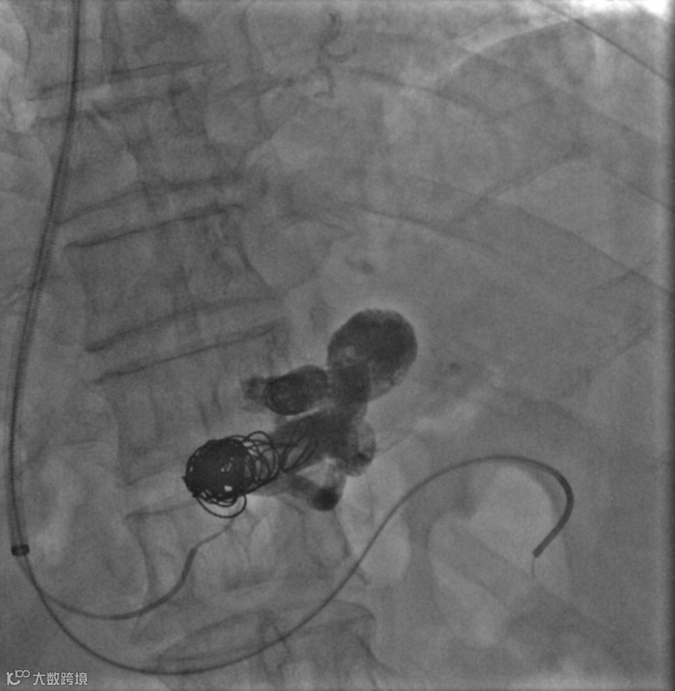
 手术经过






建立门体静脉分流道后行门静脉、脾静脉造影


胃冠状静脉造影


超选择插入至曲张静脉,注入弹簧圈栓塞至血流明显减缓




超选择插入至曲张静脉,注入弹簧圈栓塞,后经微导管注入聚桂醇至曲张静脉血流基本停滞




后续手术,其它器械操作:分流道成形



术后造影(即刻效果):胃底曲张静脉血管网未见显影







术后小结



一、产品体验与治疗价值

在门静脉高压所致消化道出血的 TIPS 手术中,通过分流降低门静脉压力的同时,采用弹簧圈栓塞胃底曲张静脉具有双重临床意义:

即时止血与压力调控:栓塞可直接阻断胃底曲张静脉血流,降低局部血管压力,增加肝脏门静脉血流灌注。


长期疗效巩固:弹簧圈作为永久性栓塞材料,可持久留存于血管内维持闭塞状态,有效降低消化道出血的复发率,为患者长期康复提供保障。


二、中天混天绫 3.0 完全可控圈的技术优势

创新设计提升操作安全性:

采用机械自膨钳锁球头解脱结构,通过 “一键解脱 + 回撤锁定” 机制,显著降低意外解脱风险,实现对目标病变的精准栓塞,减少因操作误差引发的并发症(如异位栓塞、血流动力学波动等)。


灵活可控性优化治疗效果:

即使弹簧圈已推出导管,若出现填塞不满意或尺寸选择不当,仍可通过全流程可控回撤技术重新调整位置或更换规格,避免传统弹簧圈推出微导管便自动解脱的局限性,确保获得更理想的血管填塞效果,真正实现 “收放自如” 的精准治疗。




科室及专家简介




福建协和医院介入科成立于1989年。本科室拥有肿瘤介入、大血管介入、静脉系统介入、下肢动脉介入、血管畸形介入、神经介入、妇儿介入等亚专业,是福建省规模最大、医疗水平最高、开展项目最全面,集医疗、教学、科研与人才培养为一体的介入诊疗中心之一。年开展各种介入手术近5000例,承担省部级科研项目十余项。




 杨维竹

福建医科大学附属协和医院

介入科

主任医师 教授 医学博士

  • 福建省医学会介入医学分会主任委员;

  • 福建省卫建委综合介入质控中心主任;

  • 福建医师协会介入放射科医师分会首任会长;

  • 国家卫健委综合介入质控中心委员;

  • 中华医学会放射学分会介入学组委员;

  • 中国医师协会介入医师分会常委兼外周血管学组组长;

  • 中国抗癌协会介入专委会常委;

  • 中国研究型医院协会介入分会常委;

  • CSCO放射介入专委会常委;

  • 中国非公有制医院协会介入专委会常委。





林俊清

福建医科大学附属协和医

介入科

副主任医师 硕士生导师

  • 中国医师协会介入医师分会第四届委员会门脉高压介入专家工作组委员;

  • 中关村肿瘤微创治疗产业技术创新战略联盟门静脉高压专业委员会委员 ;

  • 中国中西医学会介入医学专业委员会委员;

  • 亚洲冷冻治疗学会第7届委员会委员;

  • 福建省医学会介入医学分会第一届委员会委员秘书;

  • 福建省医学会肝病学分会第六届委员会青年委员会第三届委员;

  • 福建省综合介入技术质控中心专家委员会委员。


  • 主持3项福建省科技厅面上项目及参与国家级、省厅级课题研究项目多项;

  • 发表SCI论文10余篇及核心期刊论文3篇;

  • 擅长肝硬化并发症(消化道出血、顽固性腹水)、下肢深静脉血栓、各种肿瘤(肝癌、肝转移癌、肺癌、肺转移癌)、血管瘤、主动脉夹层/动脉瘤等的综合介入治疗。




柯 坤

福建医科大学附属协和医

介入科

主治医师

  • 在SCI期刊发表多篇论著

  • 主持并参与多项福建省科技厅自然科学基金项目;

  • 获急性消化道出血介入手术病例大赛南中国区一等奖、全国总决赛三等奖。




左滑查看更多产品详情




关于中天

苏州中天医疗器械科技有限公司成立于2018年,是一家集研发、生产、销售为一体的现代化高新技术医疗器械企业,致力于成为血管疾病创新解决方案提供者。中天医疗始终秉承“创新科技,让血管治疗更简单”的使命,坚持以自主研发为主导,采用国际先进技术,积极与国内外优秀临床专家、学者合作,致力于开发一系列满足临床需求的优质血管介入产品;并通过持续创新,完全自主生产,不断完善质量体系,真正做到“创新高品质”产品供应。

中文网址:

https://www.zenithmedtech.cn

国际网址:

https://www.zenithmedtech.com



【声明】内容源于网络
0
0
中天医疗Zenith
中天医疗是一家专注血管治疗技术研发和产品生产的新型科技型企业。 公司以创新为本,秉承“让血管治疗更简单”的理念,推进中国介入行业技术的发展,打造优质医疗产品,实现“Me better or first in class”。
内容 192
粉丝 0
中天医疗Zenith 中天医疗是一家专注血管治疗技术研发和产品生产的新型科技型企业。 公司以创新为本,秉承“让血管治疗更简单”的理念,推进中国介入行业技术的发展,打造优质医疗产品,实现“Me better or first in class”。
总阅读25
粉丝0
内容192