开栏引言
临床需求是实现器械创新的基础,聚焦于全球医学界关注的外周血管疾病如血栓清除工作始终是热点,而在吸栓诊疗中,如何确保有效、安全、避免堵管,一直是临床实践中未突破的瓶颈。中天医疗始终关注临床需求,以其创新的SWAM分离器辅助导管抽吸技术,为这一难题带来了革命性的解决方案。为了更广泛地展示SWAM分离器辅助导管抽吸技术在各类动静脉血栓疾病治疗中的应用经验与技巧,中天医疗携手临床专家及血管资讯,精心策划了【SWAM抽吸 逢堵必通】技术专栏。这一专栏致力于向医疗界传递最新的技术进展和实践案例,为临床专家提供一个深入交流、共同探索的平台,以期在外周血管领域取得更为显著的突破和进步。
SWAM技术简介
Separator With Aspiration catheter for Mechanical Thrombectomy(MT)【分离器辅助导管抽吸技术】:旨在提高整体系统的抽吸效率和治疗安全性,快速帮助血栓清除。
临床获益:
1)抽吸导管头端堵管,分离器可以快速疏通导管,降低撤管冲洗的频率。
2)针对大负荷血栓或亚急性血栓,分离器辅助下抽吸能提升整体系统抽吸效率,缩短手术时间。
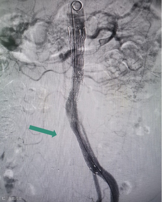
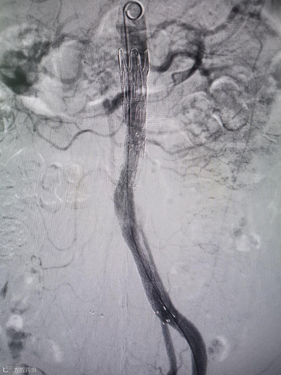
病例介绍
关键器械
手术策略
手术难点
手术过程
小 结
专家看法
专家介绍
周为民 教授
南昌大学第二附属医院血管外科主任
南昌大学附属心脑血管病医院副院长
教授,主任医师,医学博士
博士生导师,博士后导师
主要社会兼职:中华医学会外科学分会血管外科学组全国委员,中国医师协会血管外科医师分会常委及并发症学组副组长,中国医师协会腔内血管学专业委员会常委,江西省医学会血管外科学分会主委,江西省医师协会血管外科医师分会会长,江西省研究型医院学会血管医学分会主委,中国研究型医院学会理事,中国微循环学会周围血管疾病分会副主委,中共江西省委干部保健专家,中国卒中中心督导专家、江西省VTE防治联盟外科主委,国家介入创新联盟江西联盟理事长,美国血管外科学会会员等。主持国家自然科学基金4项,省级重大课题4项,发表学术论文140余篇,其中SCI收录40余篇(最高单篇影响因子41.787),获省级科技进步奖6项,参编指南、专家共识14项,培养博士硕士40余人,为江西省卫生健康突出贡献中青年专家,入选2021中国血管外科专家50强。擅长复杂疑难血管外科疾病的诊断、外科手术和微创治疗,主刀复杂血管手术6000余例。中华血管外科杂志等多个核心期刊和SCl期刊的编委及特约审稿专家。中华医学会外科学分会第15届全国血管外科学术年会执行主席。曾赴德国、美国、日本、新加坡和中国台湾等多个医学中心访问学习。
章文文
南昌大学二附院血管外科副主任医师
科主任助理、医学博士
擅长下肢静脉曲张、深静脉血栓、下肢动脉硬化闭塞、脉管炎、尿毒症肾透析通路、糖尿病足、颈动脉斑块性狭窄、血管瘤及血管畸形、内脏动脉瘤和夹层、主动脉瘤和主动脉夹层等微创及外科手术治疗。现任中国医师协会血管外科医师分会创伤学组委员,江西省医师协会血管外科医师分会委员,江西省医学会血管外科分会青年委员,国际血管联盟青年委员。发表SCI及国内核心文章10余篇,参与国自然3项,主持省厅级课题3项。

