编者按:近日,我们惊喜地在丁香园平台发现了杨医师(雪里一片清净)的深度分享。作为菲森AI技术的早期使用者,他记录下了从初识到信赖的全过程。其真实的体验与思考,与我们‘以科技赋能医生’的初衷不谋而合。经作者授权,我们转载此文,愿这份来自一线的‘自白’,能带给行业更多启发。
| 原标题:《AI能帮牙医干什么》
2021年我还是一名学生,我很喜欢数码产品,但我的专业是口腔医学,我自己的爱好和我选择行业有关系,关系又不大,从小我就是听话的孩子,学医也是“被安排”,我们这一代人拎几个出来貌似都是同样的剧情,家人要我干这个,就像被阉了了的太监一样这辈子只能在深宫伺候皇上,我不甘心,我坚信科技肯定是可以结合牙医这份工作。
我一直追随最高科技,最新技术,在我的职业生涯一直摒弃旧思,一直在升级自己的做法看法和说法
为什么是21年,那年ai结合医学出现了可用苗头,我产生了无限的构思,开始寻找产品和畅享未来。
之家 10 年+ 家友
我首先是找到了羽医甘蓝,好用是好用,缺少了一些便利性。
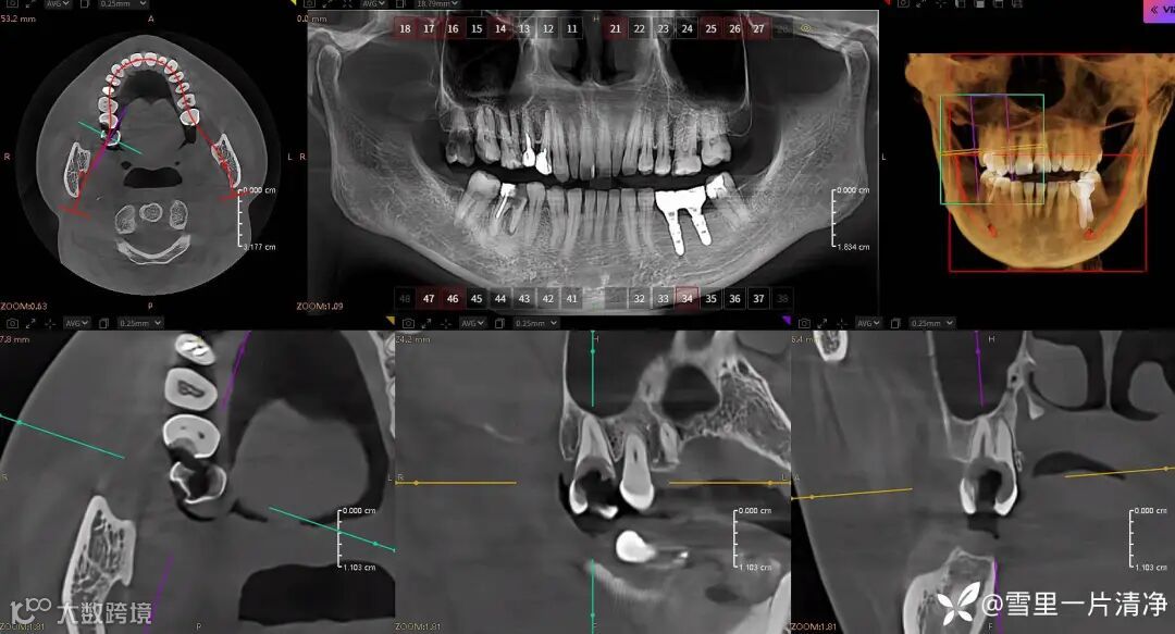
直到店里买ct的时候,感觉是做了最正确的选择,我的ct有ai阅片试用功能,刚开始用的时候,是有点蹩脚,打开片子的时候还必须走完ai识别的进度条才能看到片子,那天我还想让销售给我关闭这个功能,后来太忙了没关,就将就用,中途就给他们建议反馈bug,ct的工作人员也很热情响应极速。
用了快2年的ai阅片
短短两年见到了他们迭代的速度非常的快,从2d的平面阅全景片,到3d的cbct阅片,到现在牙周阅片,我不得不感慨迭代速度更新频率比我现在玩的游戏还快。
都说好用这玩意到底怎么用?
官方建议是患者进门直接拍CT,咨询师或者医生直接对着报告解读,这难免有点失去人情味。
多次尝试,多次验证最好的办法就是,患者初诊到店,或者复诊也好,先把患者口内情况拍照,解释病情后告知拍ct进一步诊断病情,拍完ct和患者在电脑面前看着ct对着照片,在照片介绍患者牙齿要怎么进行诊疗。
如果患者认可方案就可以谈价钱,开始进行治疗。
针对全口的患者ai阅片,问题牙直接给你标红。
我每天就是边讲患者牙齿的问题,边在图片上写治疗方案,做完这些后就有理由加患者微信,把这个治疗方案发到患者,如果门店有运营的话,这些方案可是创收利器
讲到到这里,ai给我带来的是全口牙病检查的便捷,咨询师利器
牙周阅片目前还在测试阶段,如果我找到使用方法我会第一时间分享
在近期的华中口腔展,已经开始出现机器人口扫了
近些年大方向的口腔发展从种植导航仪-机械臂种植-ai阅片-机器人口扫-机械臂根管治疗……这些是已经实现了
第一次写文章,有错的地方请大家多指教
1、我有听过几个老师说过买进口的ct遇到问题后维修人员过来还要好几天,维修费用也贵,这国产的似乎没这个问题,最令我惊讶的是这个ct工程师从深圳坐高铁过来点两下,又跑回去(明明可以远程解决)_(:з」∠)_我没有吹牛🤦♂️
2、2d平面阅全景片的时候我一直提交反馈,说楔缺看不了,他们一开始和我说无能为力,结果没几天就出了3dCBCT阅片,这么听话的企业哪里找,后来我们又说牙龈退缩看不了,他们今年2025年出了牙周阅片(目前还有点小问题我相信很快就能找到解决方案)。牛啊
3、我这里是农村,设备很顶,方案很好看,大部分患者都拿着我的方案去别的地方看了,见怪不怪了╮(╯_╰)╭,好人是这样的
以上。再次感谢杨医生的分享。
限时扫码注册
免费体验AI云阅片
🎁互动有礼
无论是用菲森云CT的AI阅片快速定位问题
还是用AI辅助设计让患者秒懂方案
你一定有独特的使用故事或沟通技巧
以#我的AI诊疗搭子 为话题
在留言区分享您使用菲森AI功能的故事或技巧
就有机会获得菲森精美定制周边
活动截至2025.12.15(周一) 17:00
👉️点赞越高,越容易被看见
*本活动最终解释权归菲森所有

