有网友说,自己看不清,看东西扭曲、缺损、出现黑斑,刚开始还以为是年纪大了,得了老花眼。去医院,医生说可能是得了眼底病,需要做个全面检查,查明原因。都需要做哪些检查呢?今天我们就来看看,查明眼底病都需要做哪些检查,分别都是做什么的。
主要手段为客观验光、主觉验光。客观验光是通过使用检影镜、电脑验光仪等仪器,来检测患者的视力和屈光度。主觉验光是我们比较熟悉的检查视力,患者主观感受其视力是否清晰和舒适,常用的方法包括视力检查和试镜架等,来判断当前视力情况。

医生通过眼底镜可以直接观察眼底,看到眼底的视盘、视网膜血管、黄斑及周边视网膜,发现眼底病变的位置、颜色、形态、大小等信息,帮助医生查明眼底病变。

眼压是眼球内容物作用于眼球壁的压力,正常值是10-21mmHg,常规使用非接触式眼压计测量。像高度近视人群容易伴发青光眼,就需要定期监测眼压。

通过眼底照相机对眼底拍照,能够清晰、准确、客观记录黄斑变性、糖尿病视网膜病变等多种眼底病的眼底情况,有利于评估疾病程度、病变进展及治疗效果,是眼底病随访和长期管理的重要手段。

OCT是一种非侵入式断层成像技术,可以对眼部微小结构进行高清晰度成像,是眼底疾病有效的筛选检查,无创且便捷,通过OCT可同时观察到视网膜各层切面结构,清晰、直观地呈现视网膜的结构及微小的病变。

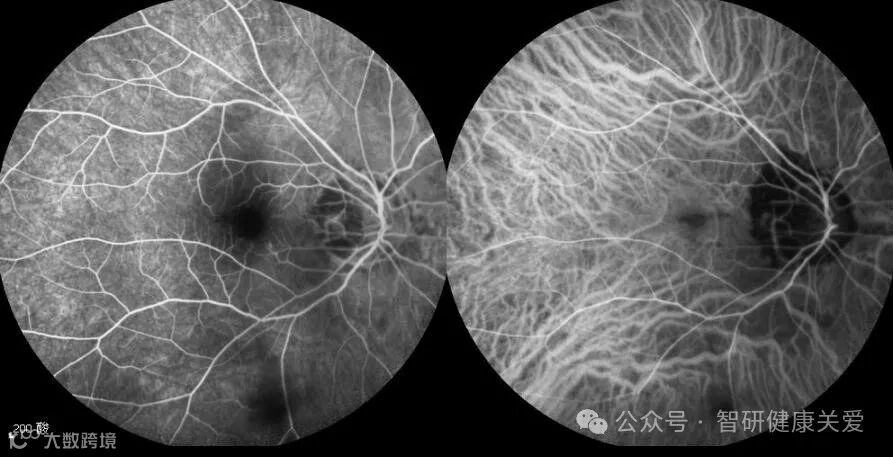
FFA可以动态显示视网膜微血管、血管结构,真实记录眼底情况的动态变化(比如渗漏等),明确定位脉络膜新生血管的位置、大小。
需要注意的是,FFA是有创检查,可能出现恶心、呕吐、喉头痉挛等不良反应,肝肾功能严重损害患者和妊娠患者可能不适合FFA检查。

ICGA可穿透视网膜色素上皮、较厚的出血和渗出物,清晰地显示脉络膜的血液循环状况,对于发现脉络膜病灶有独特优势,可以定位眼底病灶、了解漆裂纹的发展情况及脉络膜视网膜萎缩程度,适用于视网膜出血较多者,有助于分辨出血原因。
ICGA也是一种有创性检查,需要静脉注入吲哚青绿造影剂,可能存在过敏、肝肾损伤等不良反应。

眼底病常用检查有:
视力检查
眼底镜检查
眼压检查
眼底照相检查
光学相干断层扫描成像(OCT)
荧光素眼底血管造影(FFA)
吲哚青绿血管造影(ICGA)

参考文献:
1.中华医学会眼科学分会眼视光学组,中国医师协会眼科医师分会眼视光专业委员会,中国非公立医疗机构协会眼科专业委员会视光学组等.高度近视防控专家共识(2023).中华眼视光学与视觉科学杂志,2023,25(6):401-407.
2.李瑞峰.眼底荧光血管造影及光学影像诊断.北京:人民卫生出版社,2010.10.
3.中华医学会眼科学分会眼底病学组,中国医师协会眼科医师分会眼底病学组.我国糖尿病视网膜病变临床诊疗指南(2022年).中华眼底病杂志.2023,39(02):99-124.
4.任雨馨,赵博军.病理性近视脉络膜新生血管的诊断与治疗[J].山东大学耳鼻喉眼学报,2020,34(05):157-162.
5.中国年龄相关性黄斑变性临床诊疗指南(2023年).中华眼科杂志.2023,59(05):13-32.
6.Romano F, et al. Update on Retinal Vein Occlusion. Asia Pac J Ophthalmol (Phila). 2023 Mar-Apr 01;12(2):196-210.





