本期病例
01
病史介绍
基本信息:患者女性,64岁,主因“间断头晕1年,加重2月”入院。
既往史:高血压病史。
查体:神志清楚,无明显阳性体征。
02
术前影像学检查
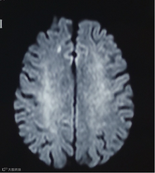
外院行头颅核磁示:右侧额叶脑梗塞(图1)
图1
外院DSA示:基底动脉尖动脉瘤(图2 A,B)
图2
03
术前诊断
基底动脉尖动脉瘤
右侧额叶脑梗塞
高血压病2级 高危
04
术前讨论
1. 患者基底动脉尖动脉瘤,瘤体较小,宽颈,拟行微导管辅助弹簧圈栓塞治疗,必要时支架置入。
2. 术前造影再次明确动脉瘤情况,以及左侧大脑后动脉供血及左侧后交通动脉情况。
3. 相关风险:动脉瘤破裂、支架内急性血栓、大脑后动脉闭塞等。
05
手术器械
5F 椎动脉型造影导管
泥鳅导丝
6F NeuroMax 90cm长鞘
6F 115cm中天天巡远端通路导管
SL-10
Echelon-10
Synchro-14
Axium系列弹簧圈
06
手术过程
患者取仰卧位,全麻下右侧股动脉穿刺置入8F血管鞘,全身肝素化。5F单弯在泥鳅导丝引导下行全脑血管造影,可见基底动脉尖动脉瘤,左椎优势供血伴起始处迂曲,左侧非胚胎型大脑后动脉(图3,4)。
图3
图4
6F中间导管(6F 115cm,中天天巡远端通路导管)与6F NeuroMax长鞘同轴,在泥鳅导丝引导下,将长鞘送至左侧锁骨下动脉椎动脉发出处,将中间导管送至左侧椎动脉V4段起始(图5 A,B)。
图5(A)
图5(B)
选择合适工作角度,路图下,顺Synchro14微导丝将SL-10支架微导管送至左侧大脑后动脉P2段(图6),将Echelon-10栓塞微导管送至动脉瘤瘤腔内(图7)。
图6
图7
顺栓塞微导管送入QC-2.5-6-3D弹簧圈成篮,造影见动脉瘤显影浅淡,成篮理想,继续送入QC-1.5-3-Helix*2、1.5-2-Helix(图8 A,B)。
图8(A)
图8(B)
造影见动脉瘤不显影,致密栓塞,Raymond分级I级,基底动脉、大脑后动脉通畅,小心撤出栓塞微导管及支架微导管,再次多角度造影结果同前(图9 A,B),遂结束手术撤出各级导管。
图9
07
术后结果
术后患者清醒无不适。
病例小结
1. 中天天巡远端通路导管头端柔软,可以减少对血管壁损伤。
2. 中天天巡远端通路导管在迂曲的血管条件下,良好的推送性及抗折性使之能轻松到达远端血管。
3. 中天天巡远端通路导管近端提供支撑良好,稳定性较好。
专家介绍
郭庚
山西医科大学第一医院
医学博士,博士后,副主任医师,副教授,硕士研究生导师,博士后合作导师。山西医科大学第一医院血管神经外科主任。山西省学术技术带头人,山西省首批“三晋英才”拔尖骨干人才,山西省首届青年医师奖获得者,山西省高等学校131领军人才,山西省高等学校优秀青年学术带头人,山西省首位血流导向装置导师,山西省向上向善好青年。曾赴意大利佛罗伦萨大学卡雷基医院(Azienda Ospedaliero Universitaria Careggi)、美国巴洛神经科学研究所(Barrow Neurological Institute)、日本札幌桢心会病院(Sapporo Teishinkai Hospital)访问。擅长脑(脊髓)血管病的外科手术与介入治疗。担任中华医学会神经外科学分会青年委员会委员、中华医学会神经外科学分会脑血管病学组委员、中国研究型医院学会脑血管病专业委员会委员兼青委常委、山西省医学会神经外科学分会委员兼青委副主委、山西省医师协会神经外科医师分会委员兼副总干事。兼任9种学术期刊编委及审稿专家。主持国家自然科学基金、中国博士后科学基金等9项。近年来发表学术论文60余篇,其中21篇被SCI收录。主编译《血管内神经外科学与介入神经放射学教程》、《七种类型搭桥》等著作4部,参编5部。获山西省科技进步二等奖、三等奖各1项。

