
开栏引言
临床需求是实现器械创新的基础,聚焦于全球医学界关注的外周血管疾病如血栓清除工作始终是热点,而在吸栓诊疗中,如何确保有效、安全、避免堵管,一直是临床实践中未突破的瓶颈。中天医疗始终关注临床需求,以其创新的SWAM分离器辅助导管抽吸技术,为这一难题带来了革命性的解决方案。为了更广泛地展示SWAM分离器辅助导管抽吸技术在在各类动静脉血栓疾病治疗中的应用经验与技巧,中天医疗携手临床专家及血管资讯,精心策划了【SWAM抽吸 逢堵必通】技术专栏。这一专栏致力于向医疗界传递最新的技术进展和实践案例,为临床专家提供一个深入交流、共同探索的平台,以期在外周血管领域取得更为显著的突破和进步。
SWAM技术简介
Separator With Aspiration catheter for Mechanical Thrombectomy(MT)【分离器辅助导管抽吸技术】:旨在提高整体系统的抽吸效率和治疗安全性,快速帮助血栓清除。
临床获益:
1)抽吸导管头端堵管,分离器可以快速疏通导管,降低撤管冲洗的频率。
2)针对大负荷血栓或亚急性血栓,分离器辅助下抽吸能提升整体系统抽吸效率,缩短手术时间。
专家对于SWAM抽吸技术的见解
病例分享
上海交通大学医学院附属第九人民医院血管外科使用分享。
基本情况
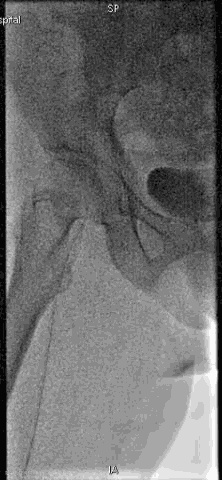
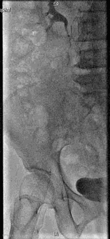
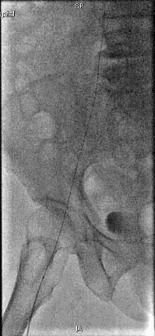
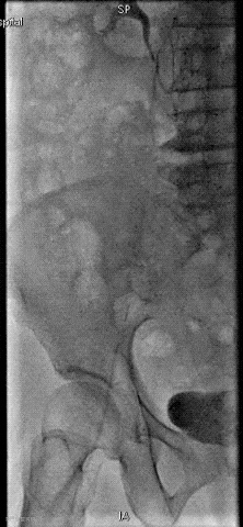
术前检查
本病例关键器械
手术过程
抽吸结果
病例小结
专家心得
专家点评
—— 陆信武教授
近年来,临床医生对DVT的诊治愈来愈重视,经皮机械血栓清除装置很多,其中负压吸引原理的相关器械最多。导管直接抽吸的优势是可以清除时间较长的亚急性血栓,缺点是容易堵管和出血控制较差。中天医疗SWAM抽吸装置通过独特的镍钛网篮分离器设计,通过纵向抽拉,联合抽吸导管通过负压将血栓移除管外,对于时程较长的DVT有着较好的血栓清除效果,同时有效控制出血量。其在急性和亚急性下肢深静脉血栓的清除中保持抽吸导管通畅,大大提高了抽吸效率。
SWAM抽吸装置可与其他血栓抽吸器械联合使用,也可以单独使用,是DVT治疗的一款利器。
—— 李维敏教授
专家介绍
李维敏
上海交通大学医学院附属第九人民医院血管外科
主任医师。上海市医学会血管外科专科分会委员,上海市医师协会血管外科医师分会委员,中国医师协会腔内血管学专业委员会静脉血栓栓塞症专家委员会委员,中国医师协会血管外科医师分会颈动脉学组委员,中国医疗保健国际交流促进会血透通路学组委员,全国中西医结合周围血管病常务委员,全国中西医结合学会青年委员,上海中西医结合学会委员。从事血管外科临床工作近30年,熟练掌握血管外科常见动静脉疾病的开放性手术,如肢体动脉闭塞的重建、腹主动脉瘤及肢体动脉瘤的修复术、下肢深静脉瓣膜修复重建、下肢浅静脉曲张手术、颈动脉体瘤的切除重建、颈动脉内膜剥脱术等。从事血管外科腔内治疗工作近25年,擅长肢体静脉血栓栓塞性疾病,周围动脉闭塞性疾病及主动脉疾病的腔内微创治疗。SCI收录期刊发表学术论文10余篇,参编《临床血管外科学》等论著。主持国家自然基金面上科研项目一项,参加国自然重大项目及上海市科委、卫计委临床及基础研究项目多项。获华夏医学科技奖三等奖及上海医学科技奖二等、三等奖等多项。
秦金保
上海交通大学医学院附属第九人民医院血管外科
副主任医师,硕士研究生导师,大阪大学访问学者,医学博士。美国血管外科(SVS)学会会员,中国微循环学会周围血管疾病专业委员会中青年委员会,上海市血管外科专业委员会中青年委员会,中国医师协会·腔内血管学专业委员会·研究与转化专家委员会委员。目前主持国家自然科学基金两项,上海市青年科技英才扬帆计划一项。目前发表SCI论文20余篇,申请国家发明专利5项,参编《临床血管外科学》等临床专著。
版权声明:本平台旨在帮助医疗卫生专业人士更好地了解相关疾病领域最新进展。本平台对发布的资讯内容,并不代表同意其描述和观点,仅为提供更多信息。若涉及版权问题,烦请权利人与我们联系,我们将尽快处理。仅供医疗卫生专业人士为了解资讯使用,该等信息不能以任何方式取代专业的医疗指导,也不应被视为诊疗建议。如该等信息被用于了解资讯以外的目的,本平台及作者不承担相关责任。合作联系邮箱:vascular@edoctor.work。


