大数跨境
0
0

中天医疗|天弋®取栓支架术式应用

中天医疗|天弋®取栓支架术式应用 中天医疗Zenith
2023-11-01
0
导读:“旋风”善解霹雳疾——天弋®取栓支架术式应用


前言

尽管早在20世纪80年代就已经开始进行急性大血管闭塞(LVO)的动脉内治疗尝试、基于通过应用动脉内药物溶解血栓的尝试,但经过20多年的努力,才开发出了第一代机械血栓切除的方法,并进行了第一代机械血栓切除器械的研发1-3,如 Merci器械(Concentric Medical, San Francisco, CA, USA)4、Phenox Clot Retriever(Phenox GmbH, Bochum, Germany)5-6或Penumbra Separator(Penumbra, Alameda, CA, USA)7,同时部分结合溶栓作为个体治疗。虽然这样可以进一步提高技术成功率,但仍缺乏证据表明这些方法可以导致更好的临床结果。8-10 2015年的五项随机对照试验展示了机械血栓切除术与单纯溶栓相比的有效性,改写了世界范围内卒中指南,取栓支架被推荐作为LVO的一线技术。11-15


在这一点上,技术进步似乎已经达到了初步的顶峰,并且进一步提高通常被认为不太重要。然后,随着技术的发展和术式的演变,更新更有效的治疗方式在临床应用上有了明显的优势,例如单纯的抽吸操作(ADAPT)16-19;使用球囊导引导管(BGC)代替普通导管或长鞘20-22以及取栓支架、远端通路导管和BGC的联合使用。23,24


近端大血管闭塞(LVO)取栓


01

天弋®取栓支架释放技巧


Push and Fluff technique (PFT)


PFT包括将天弋®取栓支架定位于血栓处并释放打开器械的远端,直到实现良好的贴壁(锚定)(部分释放打开步骤)。之后,向器械输送导丝施加向前力,这会引起微导管的自发性回撤(推动步骤)。在主要的目标区域(血栓所在处),向微导管施加向前的张力,同时继续推动输送导丝以最大限度地推挤器械(推挤步骤更好嵌合血栓)。器械的显影性(天弋®取栓支架整体可视)能够实时反馈打开度和贴壁程度。在弯曲处,如果发现器械崩塌/没有贴壁,微导管的向前张力可能需要逐渐减小。考虑到PFT通常会发生器械预期内缩短的情况,需要对远端着陆区进行适当的规划。25



ACAPT technique


在天弋®取栓支架释放后立即通过推送输送导丝打开支架。当支架近端显影标记向前移动距离为2个显影标记所示距离时,为推挤输送导丝至合适的程度。26

图1:ACAPT技术



Double Stent Retriever (SR) Technique


使用双取栓支架技术(DSRT)作为对首选取栓支架治疗无效的动脉闭塞的补救方法。在这种技术中,栓子被钳夹在两个重叠或Y形构造(分别用于单个血管或动脉分叉)的支架(最好是闭环支架-天弋®取栓支架)之间。在栓子被嵌合后,两个支架一起被撤出。DSRT似乎是一种有效(再通率TICI 2b/3从85.7%到100%)和安全的治疗方法。因此,越来越多的介入医生将DSRT作为某些位置(颈内动脉末端或其他血管分叉处)甚至是“硬”栓子的首选治疗方法。27

图2:双支架取栓


02

串联病变Tandem occlusion

串联病变通常被定义为同侧颅内大血管闭塞或严重狭窄的同时伴随着同侧颈动脉的闭塞或严重狭窄。然而,不同研究中狭窄程度有所不同(70-100%的闭塞)。大多数颈外病变引起的闭塞是由动脉粥样硬化引起的,其次是动脉夹层(20%),很少包括大血栓和颈动脉璞。鉴于病变严重程度和病因的异质性,可能不适合为所有串联闭塞应用统一的治疗策略。目前,对于具有串联病变的AIS患者的最佳治疗策略存在争议,并尝试了各种血管内治疗技术,主要包括顺行(先颈动脉复通),逆行(先颅内血栓切除)以及紧急颈动脉支架和成形术治疗颈动脉外病变。很多专家针对串联病变提出了很多技术标准,包括BATS(乔宏宇教授)、Pears(陈文伙教授)、SHARP(张猛教授)、PEACE(程哲等教授)以及海外术者提出各种开通顺序及方法。中天天弋取栓支架全系列可兼容0.021in微导管,小尺寸可兼容0.017in微导管和目前主流的快交球囊,可满足各种串联病变开通需求。28,29

图3:串联病变开通


图4:PEACE技术


03

抽拉结合

许多中心使用与取栓支架、抽吸导管和BGC相结合的各种技术,并取得了良好的效果。最近的一项荟萃分析表明,抽吸导管和取栓支架的联合使用显示一把再通效果更优(40.8%),相比之下,仅使用取栓支架的开通效果为32.6%(P<0.0001)。无论是SWIM、SOLUMBRA、ARTS、SAVE、CAPTIVE、TRAP和ASAP等,核心在于如何协调配合支架取栓与抽吸导管抽吸,争取一把再通,防止栓子逃逸。30,31



ADVANCE technique



在将导管放置于ICA后,将微导丝和微导管导航至MCA血栓的远端。确保微导管放置在血栓远端后,在天弋®取栓支架释放后等待五分钟,然后在50ml卡式注射器的负压吸引下,通过取栓支架将DAC穿过血栓,同时持续进行负压吸引。当支架完全移除后,通过DAC继续进行负压吸引,同时缓慢向近端回撤。如果保持血流,至少抽取20ml的血液,直到抽出的血液中看不到血栓。如果DAC中出现阻塞,则在持续负压下完全移除DAC。32

图5:ADVANCE技术



SOLUMBRA/ARTS/SAVE technique



在SOLUMBRA技术中,天弋®取栓支架被放置在血栓的中心位置,同时将抽吸导管推送至血栓近端。然后,将支架回拉到抽吸导管内,同时保持抽吸导管内的负压,可以使用泵吸或负压注射器(抽吸导管顶端的弯曲箭头)。通常使用6F长鞘或BGCs进行Solumbra,并且在支架回撤的关键时刻不施加近端抽吸(在导管顶端用x表示)。缺陷是这导致在支架回撤期间,在A1和M1段内出现前向血流,因为抽吸导管被血栓堵塞,从而无法控制血栓碎片。31


在ARTS技术中,与Solumbra类似,支架放置在血栓的中心位置。然后,在持续抽吸的情况下将抽吸导管推送到血栓近端,并与支架一起回撤。在Massari等人的描述中,通常使用BGC作为导引导管,而不使用附加的近端抽吸。这将对ICA内血流进行控制(ICA上用X表示),但是在A1段或后交通动脉(Pcom)和M1段中出现前向血流。33


在SAVE技术中,首先将天弋®取栓支架主要放置在血栓远端,只有近端的三分之一与血栓嵌合。在支架释放后立即观察到目标领域内的前向血流,同时支架控制血栓碎片。然后将抽吸导管推送到血栓近端,并开始使用泵进行抽吸。在最小范围拉动取栓支架的同时,推送抽吸导管,直到达到楔形状态。在此状态下,抽吸导管明显被血栓堵塞,因此无需使用泵进行抽吸,使用负压注射器保持即可。然后将抽吸泵连接到导引导管,这样可以在血栓固定和回撤的关键时刻控制血栓碎片,并整体作为一个单位回拉到导引导管内。33

图6:SOLUMBRA/ARTS/SAVE技术比较


04

近端血流控制


BADDASS technique



球囊导引导管到颈内动脉C1以远,起到支撑和通路作用;微导管通过J型微导丝穿过血栓进入右侧大脑中动脉的下干远端;选择相对长的天弋®取栓支架,远端2/3超越血栓段,避免近端支架太长,影响后续中间导管推进。使用长支架的目的是保证不那么精确释放下支架仍留有余地;通过常规微导管和主动推挤技术来释放支架,提高贴壁性和与血栓嵌合性;移除微导管,最大限度提高抽吸内腔;通过支架锚定和推送导丝将抽吸导管推送至血栓近端;通过释放和轻推支架推送导丝来释放推送导丝的牵拉力;充盈BGC并保证远近端同时负压抽吸;取栓支架和抽吸导管作为一个单位整体撤出。34

图7:BADDASS技术



MeVO中等血管闭塞



Blind exchange with mini-pinning (BEMP) technique

该技术包括微导管和微导丝的双轴系统,微导管和导丝作为一个单位进行推送并穿过闭塞段。天弋®取栓支架通过适配的微导管放置在血栓远端;(B)在下一步中,微导管从体内取出;(C)使用小尺寸的远端抽吸导管通过支架推送导丝(“盲交换”)推送导航,直到抽吸导管到达血栓位置;(C,左)将取栓支架拉入远端抽吸导管中,就像放置瓶塞一样,固定的血栓与取栓支架和远端抽吸导管形成一个单位(C,右);(D)随后将取栓支架和抽吸导管作为一个单位回撤,以取出血栓。35

图8:BEMP技术





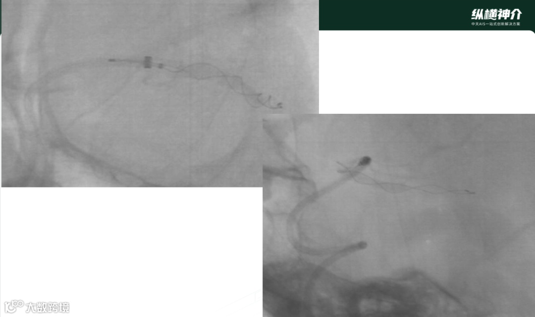
病例一

  • 天弋®取栓支架显影性


  • 一把即开通闭塞血管,达到mTICI3级血流再通



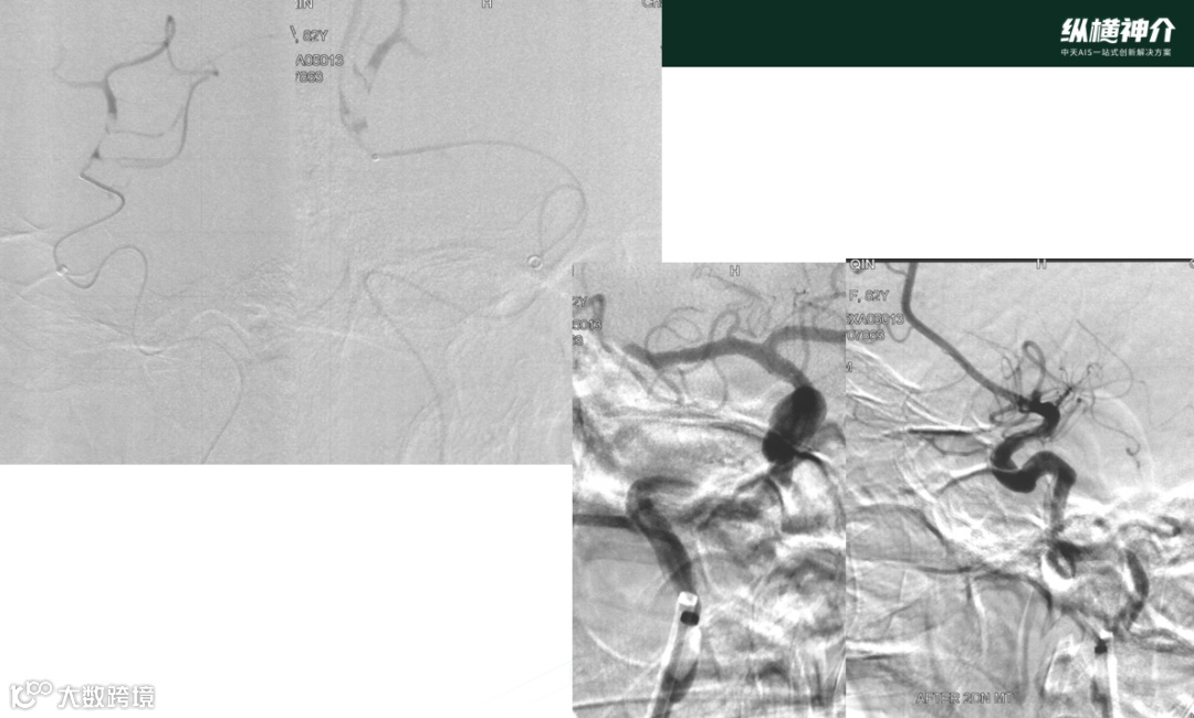
病例二

  • 天弋®取栓支架 6*40mm 4*30mm


  • 微导管在到达远端后,造影发现M2处也有血栓存在


  • 天弋® 6*40mm取栓支架到位释放打开,显影性非常好,相比其他尺寸,对大负荷量血栓具有优势


  • 天弋®取栓支架从近端到远端是缠绕血栓,而没有被近端血栓刮除掉


  • 二次取栓操作,大脑中和颈内动脉血栓进一步减容


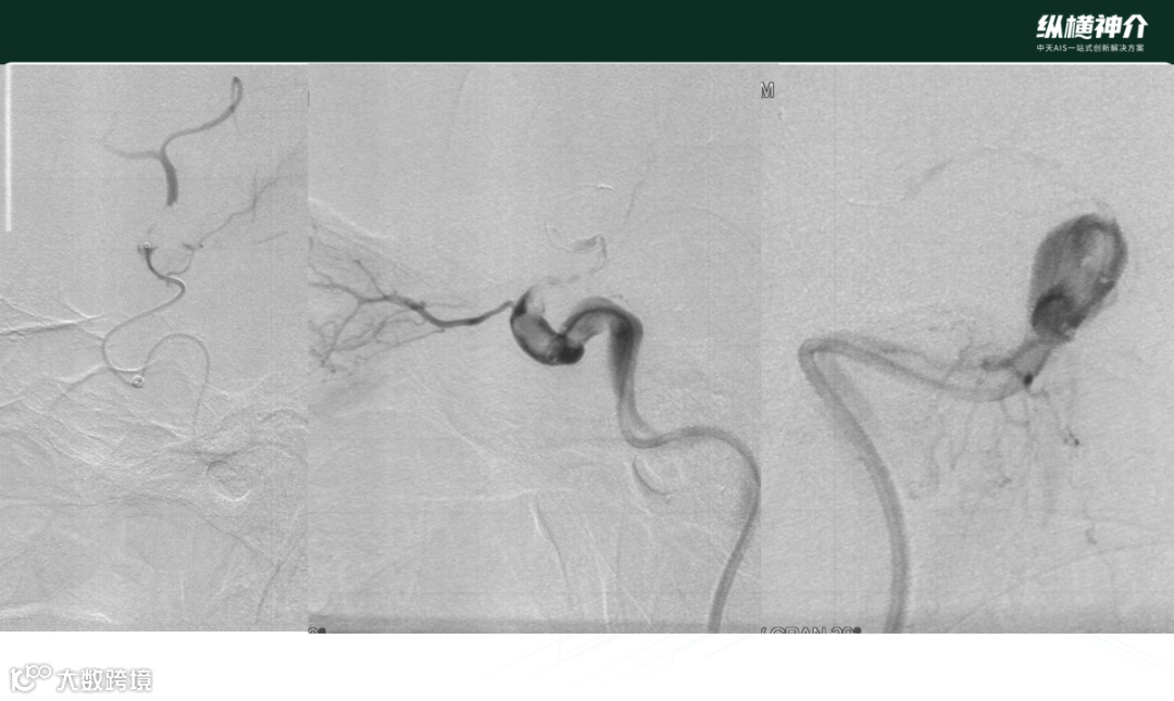
  • 第三次取栓

  • 天弋®取栓支架 4*30mm


  • 抓捕的血栓效果来看,血栓是一个旋转的形态,用手去取下支架上的血栓比较难以取下,需要把血栓碾碎后取下。支架与血栓粘结非常紧密,临床表现优异






参考文献(上下滑动查看):

  1. Zeumer H, Hacke W, Kolmann HL, et al. Local fibri-nolysis in basilar artery thrombosis. Dtsch Med Wochenschr 1982; 107: 728–731.

  2. Zeumer H, Hacke W and Ringelstein EB. Local intra-arterial thrombolysis in vertebrobasilar thromboembol-ic disease. AJNR Am J Neuroradiol 1983; 4: 401–404.

  3. Furlan A, Higashida R, Wechsler L, et al. Intra-arterial prourokinase for acute ischemic stroke. The PROACT II study: a randomized controlled trial. Prolyse in acute cerebral thromboembolism. JAMA 1999; 282: 2003–2011.

  4. Gobin YP, Starkman S, Duckwiler GR, et al. MERCI 1: a phase 1 study of mechanical embolus removal in cerebral ischemia. Stroke 2004; 35: 2848–2854.

  5. Henkes H, Reinartz J, Lowens S, et al. A device for fast mechanical clot retrieval from intracranial arteries (phenox clot retriever). Neurocrit Care 2006; 5: 134–140.

  6. Prothmann S, Lockau H, Dorn F, et al. The phenox clot retriever as part of a multimodal mechanical thrombectomy approach in acute ischemic stroke: single center experience in 56 patients. Sci World J 2012; 2012: 190763.

  7. Bose A, Henkes H, Alfke K, et al. The penumbra system: a mechanical device for the treatment of acute stroke due to thromboembolism. AJNR Am J Neuroradiol 2008; 29: 1409–1413.

  8. Ciccone A, Valvassori L, Nichelatti M, et al. Endovascular treatment for acute ischemic stroke. N Engl J Med 2013; 368: 904–913.

  9. Kidwell CS, Jahan R, Gornbein J, et al. A trial of imag-ing selection and endovascular treatment for ischemic stroke. N Engl J Med 2013; 368: 914–923.

  10. Broderick JP, Palesch YY, Demchuk AM, et al. Endovascular therapy after intravenous t-PA versus t-PA alone for stroke. N Engl J Med 2013; 368: 893–903.

  11. Berkhemer OA, Fransen PS, Beumer D, et al. A ran-domized trial of intraarterial treatment for acute ische-mic stroke. N Engl J Med 2015; 372: 11–20.

  12. Goyal M, Demchuk AM, Menon BK, et al. Randomized assessment of rapid endovascular treat-ment of ischemic stroke. N Engl J Med 2015; 372: 1019–1030.

  13. Saver JL, Goyal M, Bonafe A, et al. Stent-retriever thrombectomy after intravenous t-PA vs. t-PA alone in stroke. N Engl J Med 2015; 372: 2285–2295.

  14. Campbell BC, Mitchell PJ, Kleinig TJ, et al. Endovascular therapy for ischemic stroke with perfusion-imaging selection. N Engl J Med 2015; 372: 1009–1018.

  15. Jovin TG, Chamorro A, Cobo E, et al. Thrombectomy within 8 hours after symptom onset in ischemic stroke. N Engl J Med 2015; 372: 2296–2306.

  16. Lapergue B, Blanc R, Gory B, et al. Effect of endovas-cular contact aspiration vs stent retriever on revascular-ization in patients with acute ischemic stroke and large vessel occlusion: the ASTER randomized clinical trial. JAMA 2017; 318: 443–452.

  17. Prothmann S, Friedrich B, Boeckh-Behrens T, et al. Aspiration thrombectomy in clinical routine interven-tional stroke treatment: is this the end of the stent retriever era? Clin Neuroradiol 2018; 28: 217–224.

  18. Lapergue B, Blanc R, Guedin P, et al. A direct aspira-tion, first pass technique (ADAPT) versus stent retrievers for acute stroke therapy: an observational comparative study. AJNR Am J Neuroradiol 2016; 37: 1860–1865.

  19. Chueh JY, Puri AS, Wakhloo AK, et al. Risk of distal embolization with stent retriever thrombectomy and ADAPT. J NeuroIntervent Surg 2016; 8: 197–202.

  20. Stampfl S, Pfaff J, Herweh C, et al. Combined proximal balloon occlusion and distal aspiration: a new approach to prevent distal embolization during neurothrombec-tomy. J Neurointerv Surg 2017; 9: 346–351.

  21. Brinjikji W, Starke RM, Murad MH, et al. Impact of balloon guide catheter on technical and clinical out-comes: a systematic review and meta-analysis. J Neurointerv Surg 2018; 10: 335–339.

  22. Velasco A, Buerke B, Stracke CP, et al. Comparison of a balloon guide catheter and a non-balloon guide catheter for mechanical thrombectomy. Radiology 2016; 280: 169–176.

  23. Maus V, Henkel S, Riabikin A, et al. The SAVE Technique: Large-Scale Experience for Treatment of Intracranial Large Vessel Occlusions. Clin Neuroradiol 2019; 29: 669–676. DOI: 10.1007/s00062-018-0702-4.

  24. Maegerlein C, Berndt MT, Monch S, et al. Further Development of Combined Techniques Using Stent Retrievers, Aspiration Catheters and BGC: The PROTECT(PLUS) Technique. Clin Neuroradiol 2020; 30: 59–65. DOI: 10.1007/s00062-018-0742-9.

  25. Haussen DC, Rebello LC, Nogueira RG. Optimizating Clot Retrieval in Acute Stroke: The Push and Fluff Technique for Closed-Cell Stentrievers. Stroke. 2015 Oct;46(10):2838-42. doi: 10.1161/STROKEAHA.115.010044. Epub 2015 Sep 15. PMID: 26374483.

  26. Ishikawa K, Ohshima T, Nishihori M, Imai T, Goto S, Yamamoto T, Nishizawa T, Shimato S, Kato K. Treatment protocol based on assessment of clot quality during endovascular thrombectomy for acute ischemic stroke using the Trevo stent retriever. Nagoya J Med Sci. 2016 Aug;78(3):255-65. PMID: 27578909; PMCID: PMC4995271.

  27. Imahori T, Miura S, Sugihara M, Mizobe T, Aihara H, Kohmura E. Double Stent Retriever (SR) Technique: A Novel Mechanical Thrombectomy Technique to Facilitate the Device-Clot Interaction for Refractory Acute Cerebral Large Vessel Occlusions. World Neurosurg. 2020 Sep;141:175-183. doi: 10.1016/j.wneu.2020.05.268. Epub 2020 Jun 6. PMID: 32522654.

  28. Yamashita S, Imahori T, Koyama J, Tanaka K, Okamura Y, Arai A, Iwahashi H, Mori T, Onobuchi K, Sasayama T. Endovascular Treatment of Tandem Atherosclerotic Cervical Internal Carotid Artery Occlusion in the Setting of Acute Ischemic Stroke. Vasc Endovascular Surg. 2023 Feb;57(2):137-148. doi: 10.1177/15385744221130865. Epub 2022 Oct 2. PMID: 36189731.

  29. Cheng Z, Rajah GB, Gao J, Geng X, Ding Y. Passing Extracranial Artery Occlusion by Intermediate Catheter With Expanding Microballoon (PEACE): A Novel Endovascular Therapy in Acute Tandem Occlusion Stroke. J Endovasc Ther. 2022 Oct;29(5):790-797. doi: 10.1177/15266028211064818. Epub 2021 Dec 12. PMID: 34894849.

  30. Mpotsaris A, Bussmeyer M, Weber W. Mechanical thrombectomy with the penumbra 3D separator and lesional aspiration: technical feasibility and clinical outcome. Clin Neuroradiol. 2014;24:245–50.

  31. Schartz DA, Ellens NR, Kohli GS, Akkipeddi SMK, Colby GP, Bhalla T, et al. A meta-analysis of combined aspiration catheter and stent retriever versus stent retriever alone for large-vessel occlusion ischemic stroke. AJNR Am J Neuroradiol. 2022;43:568–74.

  32. Gurkas E, Akpinar CK, Aytac E. ADVANCE: An effective and feasible technique in acute stroke treatment. Interv Neuroradiol. 2017 Apr;23(2):166-172. doi: 10.1177/1591019916682358. Epub 2016 Dec 13. PMID: 28304200; PMCID: PMC5433605.

  33. Maus V, Behme D, Kabbasch C, Borggrefe J, Tsogkas I, Nikoubashman O, Wiesmann M, Knauth M, Mpotsaris A, Psychogios MN. Maximizing First-Pass Complete Reperfusion with SAVE. Clin Neuroradiol. 2018 Sep;28(3):327-338. doi: 10.1007/s00062-017-0566-z. Epub 2017 Feb 13. PMID: 28194477.

  34. Maus V, Behme D, Kabbasch C, Borggrefe J, Tsogkas I, Nikoubashman O, Wiesmann M, Knauth M, Mpotsaris A, Psychogios MN. Maximizing First-Pass Complete Reperfusion with SAVE. Clin Neuroradiol. 2018 Sep;28(3):327-338. doi: 10.1007/s00062-017-0566-z. Epub 2017 Feb 13. PMID: 28194477.

  35. Yoshimoto T, Tanaka K, Koge J, Shiozawa M, Yamagami H, Inoue M, Kamogawa N, Satow T, Kataoka H, Toyoda K, Ihara M, Koga M. Blind Exchange With Mini-Pinning Technique Using the Tron Stent Retriever for Middle Cerebral Artery M2 Occlusion Thrombectomy in Acute Ischemic Stroke. Front Neurol. 2021 May 19;12:667835. doi: 10.3389/fneur.2021.667835. PMID: 34093417; PMCID: PMC8172139.



声明:脑医汇旗下神外资讯、神介资讯、脑医咨询所发表内容之知识产权为脑医汇及主办方、原作者等相关权利人所有。未经许可,禁止进行转载、摘编、复制、裁切、录制等。经许可授权使用,亦须注明来源。欢迎转发、分享。

【声明】内容源于网络
0
0
中天医疗Zenith
中天医疗是一家专注血管治疗技术研发和产品生产的新型科技型企业。 公司以创新为本,秉承“让血管治疗更简单”的理念,推进中国介入行业技术的发展,打造优质医疗产品,实现“Me better or first in class”。
内容 192
粉丝 0
中天医疗Zenith 中天医疗是一家专注血管治疗技术研发和产品生产的新型科技型企业。 公司以创新为本,秉承“让血管治疗更简单”的理念,推进中国介入行业技术的发展,打造优质医疗产品,实现“Me better or first in class”。
总阅读174
粉丝0
内容192