开栏引言
临床需求是实现器械创新的基础,聚焦于全球医学界关注的外周血管疾病如血栓清除工作始终是热点,而在吸栓诊疗中,如何确保有效、安全、避免堵管,一直是临床实践中未突破的瓶颈。中天医疗始终关注临床需求,以其创新的SWAM分离器辅助导管抽吸技术,为这一难题带来了革命性的解决方案。为了更广泛地展示SWAM分离器辅助导管抽吸技术在各类动静脉血栓疾病治疗中的应用经验与技巧,中天医疗携手临床专家及血管资讯,精心策划了【SWAM抽吸 逢堵必通】技术专栏。这一专栏致力于向医疗界传递最新的技术进展和实践案例,为临床专家提供一个深入交流、共同探索的平台,以期在外周血管领域取得更为显著的突破和进步。
SWAM技术简介
Separator With Aspiration catheter for Mechanical Thrombectomy(MT)【分离器辅助导管抽吸技术】:旨在提高整体系统的抽吸效率和治疗安全性,快速帮助血栓清除。
临床获益:
1)抽吸导管头端堵管,分离器可以快速疏通导管,降低撤管冲洗的频率。
2)针对大负荷血栓或亚急性血栓,分离器辅助下抽吸能提升整体系统抽吸效率,缩短手术时间。
专家对于SWAM抽吸技术的见解
病例分享
华东师范大学附属芜湖医院(芜湖市第二人民医院) 血管外科使用分享。
本病例关键器械
病 例 一
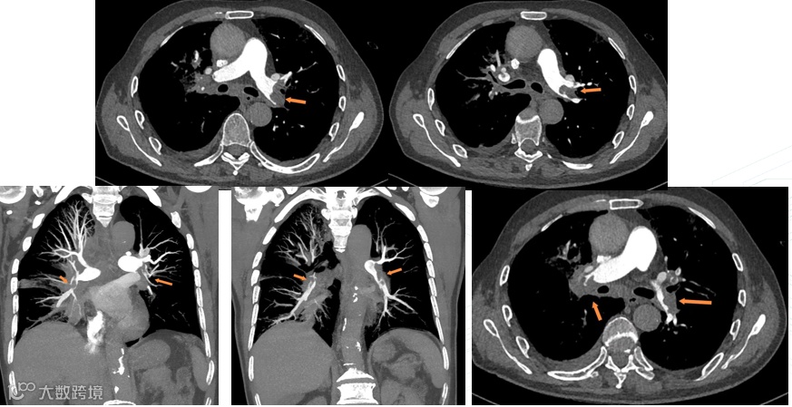
病例介绍
术前检查
关键器械
手术过程
术后恢复情况
病 例 二
病例介绍
关键器械
手术过程
术者心得
专家介绍
魏立春
华东师范大学附属芜湖医院(芜湖市第二人民医院) 血管外科
首都医科大学血管外科学博士,师从我国著名血管外科专家谷涌泉教授,副主任医师,副教授,硕士研究生导师。
芜湖市卫生高层次人才引育计划(“华佗计划”)B类人才;华东师范大学附属芜湖医院(芜湖市第二人民医院)血管外科学科带头人;血管外科、胸心外科党支部书记。
社会任职
国际血管联盟(中国分部)青年委员会常务委员兼内脏动脉疾病专委会委员;中国民族医药学会外科分会常务理事;岭南血管瘤血管畸形专委会常务理事;中国医师协会血管外科医师分会下肢动脉学组委员;中国医疗保健促进会糖尿病足分会委员;中国中西医结合学会介入医师分会委员;广西血管外科医师分会委员;广西介入医师分会委员;《中国普通外科杂志》中青年编委;《实用医学杂志》和《中国临床新医学杂志》审稿专家。

