前言
直肠弯曲杆菌是口腔内的厌氧菌之一,1979年鉴定为与人类牙周病密切相关的常见病原菌。1984年,报道了首例口腔外直肠弯曲杆菌感染病例。本案例主要报告了一例73岁男性患者因直肠弯曲杆菌引起肺脓肿而入院,并首次通过宏基因组二代测序(mNGS)检测支气管肺泡灌洗液证实其病原体。
案例详情
73岁男性,患有慢性阻塞性肺疾病(COPD)超过10年,他每天两次定期吸入沙美特罗/丙酸氟替卡松(50µg/500µg)。有30多年的吸烟史,戒烟超过10年。因咳嗽和咯血住院五个多月。
入院血液检查显示白细胞计数为5.8×109/L,C反应蛋白3.1 mg/L和白细胞介素-6为16.32pg/mL。痰涂片抗酸染色、结核菌素试验、结核抗体试验均为阴性。肺癌的血清生物标志物,如癌胚抗原(CEA)、细胞角蛋白19片段抗原(CYFRA21-1)、鳞状细胞癌抗原(SCC)和神经元特异性烯醇化酶(NSE)均为阴性。
胸部CT扫描图像显示左肺下叶有大而密的阴影和空洞形成(图1A)。

图1. (A)CT显示左肺下叶有大而密的阴影和空洞形成。(2)CT复查结果显示,左肺下叶感染面积明显缩小,空洞缩小。(C)肺部状况较治疗前进一步改善。
电子支气管镜检查显示左肺下段有一个大的白色肿瘤,开口狭窄,亚段有大量白色坏死物质(图2)。

图2. (A)左下叶开口狭窄。(B和C)左肺下段有一个大而白的肿瘤,亚段有大量白色坏死物。
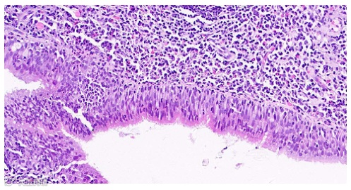
活检显示慢性支气管膜炎症伴淋巴滤泡增生,但无明确的肿瘤细胞(图3)。

图3. 活检显示慢性支气管粘膜炎症伴淋巴滤泡增生,但无明确的肿瘤细胞(400X)。
抗酸染色和PAS染色均为阴性。不仅传统培养(包括需氧和厌氧),而且支气管肺泡灌洗液半乳甘露聚糖(GM)试验均为阴性。支气管肺泡灌洗液的mNGS中发现4415个直肠弯曲杆菌序列和1091个Parvimonas micra序列。
从入院第一天起,立即静脉注射他唑巴坦/哌拉西林(4.5g,每日3次)和奥硝唑(500mg,每日2次)进行经验性抗菌治疗。
一周后,根据mNGS结果,联合使用依替米星(300 mg,每日1次)来加强对革兰氏阴性菌的治疗。
又过了两周,患者出现腹泻症状,被认为是长期大量使用广谱抗生素导致肠道菌群失调所致。因此,抗感染治疗方案仅限于依替米星。
病人住院一个月。CT复查结果显示左肺下叶感染面积明显缩小,空洞缩小(图1B)。出院后,口服左氧氟沙星(每日0.5g)治疗4个月。肺部状况比治疗前进一步改善(图1C)。
讨论
直肠弯曲杆菌为革兰氏阴性,无芽孢,可在微氧或厌氧状态下培养。其菌落半透明、粗糙、扁平且不溶血。形态呈直杆状、弧形或S形。脲酶和氧化酶试验均为阴性。
本研究总结了从文献中检索到的20例(包括本例)的数据(表1,未显示)。患者年龄从10个月到75岁不等,以50~70岁居多(12/20),其中55%(11/20)有龋齿、牙周炎、口腔卫生差等口腔危险因素,15%(3/20)有恶性肿瘤病史。感染部位多样,包括脓胸、脑脓肿、骨髓炎等。就预后而言,只有两名患者不幸死亡,其余患者(18/20)经有效的抗感染治疗、穿刺或切口引流后出院,综合治疗成功率为90%。除2例死亡外,直肠弯曲杆菌的抗感染治疗持续时间从23天到6个月不等。
关于直肠弯曲菌抗感染治疗的文献很少。2002年,意大利一项关于牙周厌氧菌可引起全身感染的研究发现,除莫西沙星外,直肠弯曲杆菌对多种抗生素敏感,如青霉素、阿莫西林/克拉维酸、头孢西丁等。2007年,意大利另一项关于口腔微生物对多种抗生素敏感性的研究也证实,直肠弯曲杆菌对多种抗生素敏感,七组样本中没有一组产生β-内酰胺酶。作为2020年对该细菌耐药性的研究,荷兰Rams等人研究了牙周病原体对四种抗生素的体外耐药性,未发现对直肠弯曲杆菌的耐药性。
结论
直肠弯曲杆菌是一种口腔定植细菌,可引起口外感染。大多数患者预后良好。在这个病例中,证明宏基因组二代测序是其快速诊断方法之一。
参考文献
Zhu X, Yu S, Kang Q, et al. Campylobacter rectus Infection Leads to Lung Abscess: A Case Report and Literature Review[J]. Infection and Drug Resistance, 2021, 14: 2957.
END
南京诺因生物科技有限公司
南京诺因生物科技有限公司总部坐落于江苏省南京市,专注应用领先的基因技术助力临床感染病原的诊疗。公司围绕多重PCR和高通量测序两大前沿技术路线,自主研发了应用于常见病原快速检测和急危重症感染全面检测的一系列解决方案,已与国内众多一流的医学机构展开了紧密合作,打造基于大数据的人工智能诊断系统和服务。公司将秉承"创新"和"利他"的理念,引领病原感染诊断事业进入新时代,为病原精准诊断领域带来更多突破。
溯源寻因
一诺千金
电话:400-9152-909
邮箱:marketing@knoindx.com
网址:http://www.knoindx.com
地址:江苏省南京市江北新区新锦湖路3-1号中丹生态生命科学产业园一期A座18楼
点阅读原文,可下载相关文献

