
2018年5月ACS NANO(IF:13.709)杂志刊登了中国科学技术大学合肥微型物理科学国家实验室与中国科学技术大学生命科学与医学中心中国科学院天然免疫与慢性病重点实验室联合发表的题为“Hierarchical Multiplexing Nanodroplets for Imaging-Guided Cancer Radiotherapyvia DNA Damage Enhancement and Concomitant DNA Repair Prevention”的文章。
该文章主要阐明了肿瘤放射治疗的成功往往受到两种因素的共同影响,即DNA损伤不足和治疗后DNA修复速度快。现有的优化放射治疗效果的策略往往只关注问题的一个方面,这在长期试验中可能无法发挥作用。此文章利用一种新型分层复用纳米液滴的DNA双重靶向方法来增强肿瘤放射治疗,这种方法可以同时促进DNA损伤的形成并防止随后的DNA损伤修复包裹在液体纳米液滴中的纳米金纳米粒子可以集中辐射能量,并通过增强γ-H2AX病灶的形成和体内肿瘤生长抑制而引起明显的DNA损伤。


NDrs或PBS治疗后肿瘤缺氧评估的实验过程



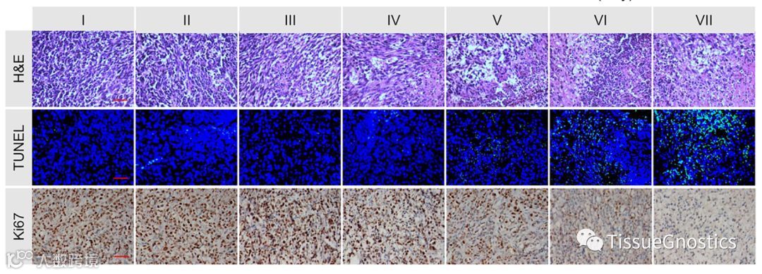
图中分别为治疗后的H&E、TUNEL和Ki 67通道的肿瘤组织染色图像。
利用TissueGnostics公司TissueFAXS系统对图像进行采集并利用TissueFAXS Viewer软件对图像进行处理。
为进一步评估RT效应,在RT治疗后第20天对肿瘤进行苏木精和伊红(H&E)、末端转移酶dUTP缺口末端标记(TUNEL)和Ki 67相关抗原染色。TUNEL染色阳性凋亡细胞呈绿色,细胞核呈蓝色。Ki 67阳性增殖细胞呈棕色,凋亡细胞呈蓝色。
如索要全文,请点击下方阅读原文。

