声明:
| 症状描述:
宠拍拍车载CT检查报告

检查部位:
检查方法:
影像所见:
|
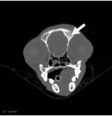
| 右侧眼眶壁内前侧骨折 |
|
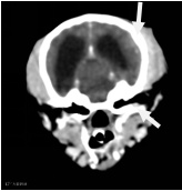
| 右侧顶骨及颞骨骨折 |
|
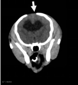
| 大脑右侧顶部脑挫裂伤 |
|
| 先天性脑囟门未闭合;右侧耳道少许积液 |
|
|
| 先天性脑囟门未闭合 |
|
| 右侧顶骨及颞骨骨折 |
检查意见:
1、右侧眼眶壁骨折
2、右侧顶骨及颞骨骨折伴周围软组织稍肿胀
3、大脑右侧顶部脑挫裂伤
4、先天性脑囟门未闭合
5、右侧耳道少许积液
余未见明显异常,请结合临床。
赛诺威盛动物影像声明:
| 症状描述:
宠拍拍车载CT检查报告

检查部位:
检查方法:
影像所见:
|
| 右侧眼眶壁内前侧骨折 |
|
| 右侧顶骨及颞骨骨折 |
|
| 大脑右侧顶部脑挫裂伤 |
|
| 先天性脑囟门未闭合;右侧耳道少许积液 |
|
|
| 先天性脑囟门未闭合 |
|
| 右侧顶骨及颞骨骨折 |
检查意见:
1、右侧眼眶壁骨折
2、右侧顶骨及颞骨骨折伴周围软组织稍肿胀
3、大脑右侧顶部脑挫裂伤
4、先天性脑囟门未闭合
5、右侧耳道少许积液
余未见明显异常,请结合临床。