近日,赛诺威盛动物CT在深圳贝诺宠物医院成功装机,这是贝诺在动物医疗领域的技术大幅升级,是宠物医院综合化、专科化发展的必要举措!
深圳贝诺宠物医院拥有优质的服务水平、先进的医疗技术和设备、良好的客户口碑,为宠物提供个性化、全面的医疗服务。贝诺对医疗技术创新十分重视,追求更精准、全面的影像诊断,持续引进先进设备,不断提升服务水平,医院具有对行业趋势和发展方向的敏锐洞察力。在纷飞繁多的产品和品牌中选择了赛诺威盛动物CT,我们必将不辜负这一份信任,这是美好合作的开端。

深圳拥有快速发展的市场环境和超过400家的动物医院,其中不少早已引入了CT设备。在如此竞争激烈的环境中,CT成为一把帮助医院走出低端市场竞争的利器。贝诺通过引入动物CT不仅可以放大其在骨科专业技术和培训能力上的优势,还能提高全科疾病诊断的准确性,帮助兽医进行更精细的手术规划,提升医院的整体医疗水平。这对于吸引更多宠物主人、提升客户满意度、忠诚度,医院可持续和规模发展具有重要意义,也展现出一幅市场趋势和行业发展的宏大蓝图。
CT普及的趋势在北上广深等超一线城市中持续发酵。这些城市由于经济发展迅速,居民的消费水平和对宠物服务的细分要求也在逐步提高。在这样的环境下,宠物医疗在宠物服务大市场中快速脱颖独立出来,服务能力和业务方向远远超出宠物美容、宠物寄养等低端服务领域。宠物医院不仅要提供基础医疗服务,更需要引入高端设备来满足市场的多样化的疾病诊疗需求。随着宠物数量的增加和宠物主对医疗服务的关注度提升,动物医疗市场将迎来更大的发展空间。高端医疗设备的引入将推动动物医疗行业的专业化与标准化发展,为宠物医疗服务的提升提供坚实的基础。医院在设备上的投资必将成为提升竞争力的重要因素。
L6-7椎体错位,L7椎体相对于L6背移位,L6椎体连续性丧失,骨碎片掉入L6背侧椎管内,压迫马尾神经。
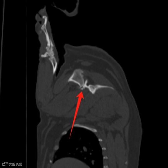
偶尔性右前肢跛行,右肩关节小游离体。
上、下颌联合骨折。
随着动物CT的普及,赛诺威盛更关注动物医院在实际使用中的痛点,不断研发更新技术,提供更符合市场需求的产品和服务,以满足客户对精准诊断和高效治疗的需求。面对竞争激烈的市场,我们需要不断提升产品技术水平,提高产品性能,优化高质量服务,与国际接轨,以满足不同医疗机构的需求,赢得市场份额,这将是发展的关键!


