▲新年礼遇季,年货提前备
全场满¥499减¥50,好货不等人!
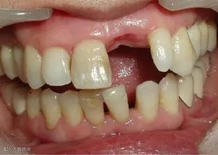
让当代人备受困扰的,不仅有发际线后移,还有牙龈线下移。
“牙龈线下移”,即牙龈萎缩,指的是牙根部位的牙龈退缩,将牙根暴露出来。
牙龈萎缩不可小觑,牙齿松动甚至脱落都是由牙龈萎缩引发的。
牙龈萎缩相关症状主要表现为:牙龈红肿,刷牙出血;牙根开始暴露,牙齿看起来变长,牙缝变大;遇冷热酸甜刺激时牙齿敏感疼痛;牙齿松动,一碰到就痛。
牙龈萎缩,尤其是前牙,会直接影响美观。说话或大笑时能看到牙齿之间的缝隙,俗称“黑三角”。说话时还会漏风。
虽然随着年龄的增长,牙龈会出现一定程度的萎缩,但绝大部分牙龈萎缩是由牙菌斑牙结石造成的。
细菌在牙龈上繁殖、堆积,形成牙菌斑,牙菌斑硬化形成牙结石,对牙龈造成慢性刺激,出现牙龈红肿出血等问题,造成牙龈逐渐萎缩。
牙龈萎缩通过干预可以避免进一步萎缩,但已经萎缩的牙龈要恢复很有难度。
牙龈萎缩是导致牙齿脱落缺失的重要原因,因此有牙龈问题的朋友一定要注意控制问题进一步恶化,防止牙龈继续萎缩,避免牙齿松动甚至脱落。
认真刷牙,抑制牙菌斑牙结石,是预防和改善牙龈问题基础简便的方法。因此一支好用有效的牙膏非常关键。
由北大博士团队研发的功效型牙膏——诺必达Rebuild护龈固齿牙膏,国家发明专利配方,三甲口腔医院临床验证安全有效,能够抑制牙菌斑牙结石,改善牙龈出血,有效减轻牙龈问题,改善牙龈健康状况,帮助解决了很多朋友的口腔烦恼。
每天早晚用它刷牙,帮助改善牙齿牙龈健康状况,推荐大家一定要试试。现在入手:
50g装,原价69元/支,特惠1支49元,5支196元,10支仅需366元;
100g装,原价128元/支,特惠1支86元,5支308元,10支仅需568元
1.购5支送总价值119元50g装1支免费试用+万毛牙刷2支
2.购10支送总价值279元50g装3支免费试用+万毛牙刷4支
3.试用不满意,正装未拆支持30天内无理由全额退款
推荐牙齿敏感酸痛、牙齿松动、牙黑牙黄、牙龈出血肿痛、牙龈萎缩、口腔溃疡、牙龈炎症等困扰人群选购使用。
点击下图立即购买▼
很多朋友,使用一段时间后,减少了各种口腔问题的困扰。




- 01 -
北大博士团队科研成果
丨国家发明专利配方,三甲口腔医院临床验证丨
诺必达护龈固齿牙膏由北大博士科研团队研发,其配方和制备方法:一种修复美白护龈固齿牙膏及制备方法,获得了国家发明专利认证保护。
市面上宣传专利技术的产品也不少,但大多数只是添加了某一种专利成分。而这款牙膏,是配方和制备方法获得了国家发明专利认证!
诺必达护龈固齿牙膏抑制牙菌斑牙结石、修护受损牙釉质,从根源改善常见口腔问题的功效,不是随便说说的,是经过了两家三甲口腔医院临床验证和多家权威机构检测认证的。
三甲口腔医院临床功效验证表明,诺必达牙膏安全有效,能有效抑制牙菌斑、抑制牙龈出血、减轻牙龈问题,改善牙龈健康状况。
临床报告显示:使用12周后,受试者菌斑指数平均下降90.5%;出血指数平均下降82.0%,牙龈指数(即牙龈问题)平均下降86.6%。这效果,显著超过市面上同类产品。
▲诺必达牙膏临床报告数据
下面与某知名白药牙膏的临床功效数据对比,可以更直观地看出,诺必达牙膏在改善牙菌斑、牙龈出血、牙龈问题方面的功效,有多么显著!
实话说,牙膏想在三甲医院做功效检测,真的是费力、费时、又费钱,诺必达护龈固齿牙膏,不计成本坚持做了五项功效的临床验证,就是想用实力和效果说话!
三甲口腔医院临床研究结论:诺必达护龈固齿牙膏能够显著改善牙齿敏感症状,具有抗牙本质敏感的功效和安全性!
▲诺必达牙膏临床报告数据
临床报告显示:使用2周后,牙齿敏感度降低了39.44%;使用4周后,牙齿敏感度降低了 56.34%!
▲诺必达牙膏临床报告数据
也许大家对上面数据没什么概念。同样,我们跟某知名专业抗敏牙膏的临床数据进行对比,就可以非常直观地看出,诺必达牙膏抗敏感效果有多么显著!
三甲口腔医院临床验证,诺必达护龈固齿牙膏具有预防、修护口腔粘膜不适的效果和安全性。
临床报告显示,试验组的平均不适时间缩短 2.31 天(32.7%)!
▲诺必达牙膏临床报告数据
第三方检测实验室验证,诺必达护龈固齿牙膏能够促进牙齿再矿化,具有修护受损牙釉质功效,试验7天提升了36%修护力。
第三方检测实验室验证,诺必达护龈固齿牙膏对牙结石抑制率达61.69%,具有抗牙结石功效。
同时,经第三方检测实验室验证,诺必达护龈固齿牙膏能够去除茶渍、烟渍、咖啡渍等,具有除渍增白功效;抑菌率高达99.9%,具有抑制口臭、清新口气功效。


一支牙膏能在三甲医院和第三方实验室通过如此之多的功效验证,可以说是天花板级别的。
诺必达护龈固齿牙膏的功效,在国家药监局都有备案(备案号:京国网备字2023000019),品质有保障,安全放心。
(国家药监局备案信息截图)
50g装,原价69元/支,特惠1支49元,5支196元,10支仅需366元;
100g装,原价128元/支,特惠1支86元,5支308元,10支仅需568元
1.购5支送总价值119元50g装1支免费试用+万毛牙刷2支
2.购10支送总价值279元50g装3支免费试用+万毛牙刷4支
3.试用不满意,正装未拆支持30天内无理由全额退款
推荐牙齿敏感酸痛、牙齿松动、牙黑牙黄、牙龈出血肿痛、牙龈萎缩、口腔溃疡、牙龈炎症等困扰人群选购使用。
点击下图立即购买▼
独特新材料
丨用牙齿相同成分与草本精华协同增效丨
也许看了上面的使用反馈,有人会觉得不可思议,效果真有那么好吗?那么,就非常有必要了解一下:
为什么即使每天都好好刷牙,还会有牙龈萎缩甚至牙齿松动疼痛的问题?
虽说我们每天都在认真刷牙,但并不能真正将牙齿彻底清洁干净。因为传统牙膏只能做到表面清洁,可以清除游离的口腔细菌,却无法清除顽固粘附在牙齿上的牙菌斑牙结石。
久而久之,牙菌斑越积越多,形成牙结石,寄居在牙结石上的细菌会产生酸性物质,开始逐步腐蚀牙釉质、刺激牙龈,造成牙齿敏感疼痛、牙龈肿痛出血。
但是,很多人没有意识到这是牙齿牙龈出问题了,只是把这些症状当成简单的“上火”来处理,于是喝凉茶、吃降火药等熟悉的操作就会跟上。这些办法不但难以解决牙齿根本问题,反而掩盖了问题的真相。

结果是,牙结石越堆积越多,牙釉质受损和牙龈问题越来越严重,牙齿疼痛、牙龈肿痛加重,这时很多人会用消炎药、止痛药来应对,结果问题越来越严重,牙龈逐渐萎缩,牙槽骨也随之吸收萎缩,牙根失去充足的支撑,牙齿开始松动、摇晃。
此外,牙菌斑牙结石也是引发口腔溃疡的重要因素之一。熬夜、过度劳累、压力大、焦虑、营养不均衡(维生素、微量元素缺乏等)、女性经期等,会导致身体免疫力下降。此时口腔黏膜抵御力也会减弱,牙菌斑牙结石中潜藏的大量细菌就会趁机入侵,从而容易引发口腔溃疡。
根据口腔问题的机理和国人口腔问题的特点,北大博士科研团队历经多年攻关成功研发出HAP-Rebuild技术和诺必达Rebuild新一代牙釉质修护牙膏,能够有效抑制牙菌斑牙结石,修护受损牙釉质,从根源上抑制口腔问题的成因。
因牙菌斑牙结石和牙釉质受损导致的常见口腔问题,自然得到有效缓解和改善。
诺必达Rebuild牙膏的独特和关键之处,就是用牙齿本身的成分——HAP-Rebuild修护因子和草本植物精华作为功效原料。
HAP-Rebuild修护因子,就是能够抑制牙菌斑牙结石并能修护受损牙釉质的特种HAP粒子,纯度超过99%。
这里的HAP即碱式磷酸钙,是人体骨骼和牙齿的主成分,占人体骨骼的65%,牙釉质的95%;
是人体的钙库,含有人体99%的钙,可作为补钙剂和食品添加剂。
人工合成HAP,最初由美国宇航局专门为宇航员太空补钙而研发,用以解决太空失重状态下宇航员骨骼和牙齿矿物质流失严重的问题。
作为尖端新材料,目前HAP被广泛应用于骨组织再生工程、整形整容外科、牙科、补钙剂等领域。
例如,作为骨替代材料的人工骨和人工牙植入体内,可以实现骨组织再生。在种植牙齿时如果牙槽骨缺失需要植骨用的骨粉就是HAP。
北大博士科研团队基于HAP-Rebuild技术研发的诺必达牙膏,一经推出,就火爆了北大校友圈,给大家晒一晒北大校友们的反馈,就知道有多好用了!
50g装,原价69元/支,特惠1支49元,5支196元,10支仅需366元;
100g装,原价128元/支,特惠1支86元,5支308元,10支仅需568元
1.购5支送总价值119元50g装1支免费试用+万毛牙刷2支
2.购10支送总价值279元50g装3支免费试用+万毛牙刷4支
3.试用不满意,正装未拆支持30天内无理由全额退款
推荐牙齿敏感酸痛、牙齿松动、牙黑牙黄、牙龈出血肿痛、牙龈萎缩、口腔溃疡、牙龈炎症等困扰人群选购使用。
点击下图立即购买▼
口腔问题虽然各种各样,但主要根源就在于牙菌斑牙结石滋生和牙釉质受损。
诺必达Rebuild牙膏所含HAP-Rebuild修护因子粒径很小,比表面积很大,具有优异的吸附力,能物理抑制牙菌斑牙结石等顽固附着物,抑制牙齿牙龈问题的成因,从根源上预防牙齿黑黄、牙齿敏感酸痛、牙龈出血红肿、牙龈不适等常见口腔问题。
市面上部分抗敏感牙膏,有的通过硝酸钾等短暂降低牙髓神经的敏感性来抗敏感(类似临时麻醉);有的通过生物活性玻璃堵塞暴露的牙小管,但容易脱落失效。因此,都难以从根源解决问题。
诺必达牙膏含有大量与牙齿成分相同的HAP-Rebuild修护因子,同时颗粒很小,因此能渗入牙釉质细微损伤部位并结合成一体,修护受损牙釉质;
能够封闭暴露的牙小管并形成牢固的“保护层”,阻断冷热酸甜直接刺激牙髓神经,有效缓解牙齿敏感酸软疼痛问题。
牙釉质得到修护之后,牙齿重新变得坚固亮泽。
HAP-Rebuild修护因子与丁香叶油、丹皮酚、葡萄柚籽等植物提取物协同增效,深度清洁口腔,抑制有害菌,提升口腔抵御力,帮助预防、修护口腔黏膜不适。
传统美白牙膏大多依靠强腐蚀性的过氧化氢来美白牙齿,其实就是漂白剂,会腐蚀牙釉质,使牙面变得粗糙,色素牙渍更易附着。这也是很多人使用美白牙膏刚开始有效果,过段时间牙齿却越来越黄的主要原因。
诺必达牙膏采用HAP-Rebuild修护因子复配柠檬酸锌作为美白功效成分,通过物理吸附原理粘除色素牙渍,在美白牙齿时不仅不伤牙,还能修护受损的牙釉质。
每天用诺必达护龈固齿牙膏刷牙,在家就能享受安心的牙齿护理。
入口的东西,安全才是第一位。诺必达护龈固齿牙膏,无漂白剂无药物,真正做到健康护齿、安全亮白牙齿。孕妈妈、哺乳期妈妈及牙龈敏感者,都可以长期安心使用。
大家用过之后,就再也离不开这款牙膏,建议多囤几支更划算!

但比起动辄上千元的拔牙、上万元的种植牙,每天花几毛钱刷牙,就能远离各种口腔问题困扰,既划算又不用受罪。
50g装,原价69元/支,特惠1支49元,5支196元,10支仅需366元;
100g装,原价128元/支,特惠1支86元,5支308元,10支仅需568元
1.购5支送总价值119元50g装1支免费试用+万毛牙刷2支
2.购10支送总价值279元50g装3支免费试用+万毛牙刷4支
3.试用不满意,正装未拆支持30天内无理由全额退款
推荐牙齿敏感酸痛、牙齿松动、牙黑牙黄、牙龈出血肿痛、牙龈萎缩、口腔溃疡、牙龈炎症等困扰人群选购使用。

-军武电商广告-