

第一台MRI的诞生之地
一、MRI的诺奖之路
核磁领域的5次理论技术突破都在诺奖史上留下了浓墨重彩的一笔。
第1次,美国科学家Rabi发明了研究气态原子核磁性的共振方法,获1944年诺贝尔物理学奖。
第2次,美国科学家Bloch(用感应法)和Purcell(用吸收法)各自独立地发现宏观核磁共振现象,因此获得1952年诺贝尔物理学奖。
第3次,瑞士科学家Ernst因对NMR波谱方法、傅里叶变换、二维谱技术的杰出贡献,而获1991年诺贝尔化学奖。
第4次,瑞士核磁共振波谱学家Kurt Wuthrich,由于用多维NMR技术在测定溶液中蛋白质结构的三维构象方面的开创性研究,而获2002年诺贝尔化学奖。
2003年MRI获诺贝尔奖介绍海报
第5次,美国科学家Paul Lauterbur于1973年发明在静磁场中使用梯度场,能够获得磁共振信号的位置,从而可以得到物体的二维图像;英国科学家Peter Mansfield进一步发展了使用梯度场的方法,指出磁共振信号可以用数学方法精确描述,从而使磁共振成像技术成为可能,为医学磁共振成像临床诊断打下了基础。他俩的突破性成就获2003年诺贝尔医学奖。
1973年的论文和诺奖证书
随后, MRI作为一项新的医学影像诊断技术,近几年来迅速发展,日臻完善,检查范围基本覆盖了全身各系统。磁共振成像所提供的信息量不但多于其他许多成像技术,而且以它所提供的特有信息对诊断疾病具有很大的潜在优越性。
二、MRI工作原理
MRI是利用物质核磁性质的不同产生图像。虽然原理有点复杂,但核心还是以下三个概念。
(一)核磁
从高中物理课本曾经学过,含单数质子的原子核(例如人体内广泛存在的氢原子核)其质子带正电进行自旋运动,会产生磁矩。这种由带正电荷原子核自旋产生的磁场被称为核磁。
质子自旋产生磁场
人体内含有无数氢原子,但为什么人体没有磁场呢?因为这些“小磁体”在人体自旋时,其轴的方向排列无一定规律,无数的“小磁体”放在一起使磁场作用相互抵消。但是,如果把人放在均匀定向的强磁场中,小磁体的自旋轴将按磁场磁力线的方向重新有序排列。
无序质子在磁场下重新排列
(二)激发
在将氢原子进行有序重新排列后,使用特定频率的射频脉冲延90度垂直方向进行激发,作为小磁体的氢原子核吸收一定量的能量进入激发状态,使得其纵向磁化矢量发生偏转,便发生了核磁共振现象。射频能量越大,则偏转角度越大。
射频脉冲作用下纵向磁化矢量发生偏转
(三)驰豫
停止发射射频脉冲,则被激发的氢原子核会把所吸收的能量逐步释放,恢复到之前的有序排列状态。这一恢复过程称为弛豫(relaxation process),而恢复到原来无序平衡状态所需的时间则称之为弛豫时间(relaxation time)。
激发到弛豫全过程
弛豫时间了分为T1和T2两种,是反映物体特性的两个参数。
T1为自旋-晶格弛豫时间(spin-lattice relaxationtime),又称纵向弛豫时间,反映自旋核把吸收的能传给周围晶格所需要的时间,也是质子由纵向磁化转到横向磁化之后再恢复到纵向磁化激发前状态所需时间。
T2是自旋-自旋弛豫时间(spin-spin relaxation time),又称横向弛豫时间,反映横向磁化衰减、丧失的过程,也即是横向磁化所维持的时间。
正常组织与病理组织的T1值
人体不同器官的正常组织与病理组织在T1、T2上的差别,就是磁共振成像的成像基础。因此,获得选定层面中各种组织的T1、T2值,再经过电脑的加工处理,就可获得该层面中各种组织的影像。
MRI显像的具体工作原理
三、MRI成像特点
磁共振影像图像特点为:磁共振信号愈强,则亮度愈大,磁共振的信号弱,则亮度也小,从白色、灰色到黑色
颈椎的核磁共振图像
核磁共振的另一特点是流动液体不产生信号,称为流动效应或流动空白效应。血液由于流动迅速,使发射MR信号的氢原子核离开接收范围之外,所以测不到MR信号,因此血管是灰白色管状结构,而血液为无信号的黑色。这样使血管很容易与软组织分开。
另外,磁共振成像还可获得人体横面、冠状面、矢状面及任何方向断面的图像,有利于病变的三维定位。
四、MRI系统组成与功能
磁共振成像的成像系统包括MRI信号产生和数据采集与处理及图像显示两部分。MRI信号的产生来自于大孔径,具有三维空间编码的MR波谱仪;而数据处理及图像显示部分,除了图像重建由Fourier变换代替了反投影以外,与CT设备非常相似。

MRI信号产生和采集系统组成
五、MRI适应症与不足
磁共振成像诊断安全无辐射,广泛应用于临床,时间虽短但已显出它的优越性:
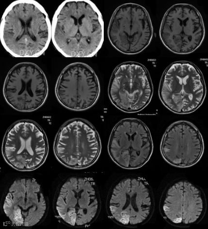
(1)在神经系统应用较为成熟。三维成像和流空效应使病变定位诊断更为准确,并可观察病变与血管的关系。对脑干、幕下区、枕大孔区、脊髓与椎间盘等的显示明显优于CT。对脑脱髓鞘疾病、多发性硬化、脑梗塞、脑与脊髓肿瘤、血肿等的诊断有较高价值。
脑部不同位置的MRI成像
(2)血管相关疾病。由于流动效应,MRI在血管成像方面具有独特优势,如纵隔在磁共振成像上,脂肪与血管形成良好对比,易于观察纵隔肿瘤及其与血管间的解剖关系;心脏大血管在磁共振成像上可显示其内腔,所以其形态学与动力学的研究可在MRI无创伤的检查中完成。
(3)对腹部与盆部器官,如肝、肾、膀胱,前列腺和子宫,颈部和乳腺,磁共振成像检查也有相当价值。
(4)骨与关节:骨内感染、肿瘤、外伤的诊断与病变范围,尤其对一些细微的改变如骨挫伤等有较大价值,关节内软骨、韧带、半月板、滑膜、滑液囊等病变及骨髓病变有较高诊断价值。
(5)磁共振成像还有望于对血流量、生物化学和代谢功能方面进行研究,对恶性肿瘤的早期诊断、对血管的侵犯以及肿瘤的分期方面带来希望。
但MRI也存在不足之处。它的空间分辨率不及CT,在一些骨骼和肠胃方面的检测效果较差。由于强磁场作用,带有心脏起搏器的患者或有某些金属异物的部位不能做MRI的检查,有的甚至不能靠近MRI场所。所以MRI也不是万能的,在医生的指导下进行相关检查,才能发挥最好的检测作用。
看完了MRI的技术原理,来回答个小问题吧~

往期精彩回顾
▌投融资
▌行业政策
▌热门行研
康复外骨骼 | 微流控 | 医药冷链 | 临床质谱 | 基因测序 | 康复机器人 | 医生集团 | 听力辅具 | 心电监护仪 | 信息化医疗 | 数字PCR | 家用医械 | 智慧医疗 | 激光美容 | 人工智能 | 液体活检 | 医疗器械融资租赁 | 医院管理集团 | 进口医械注册流程 | 宠物医疗 | 眼病诊疗 | 骨内植入物螺钉 | 儿童医疗器械
▌医械前沿
两栖机器人 | 仿生假肢 | 磁热治疗 | RNA干扰 | 3D打印 | 脑成像 | 数字药物 | 近红外光谱 | 软体机器人 | 纳米孔测序 | 液态金属 | 抗抑郁靶点 | 仿生机器人 | 飞检
▌思宇印象
♢思宇沙龙 康复机器人 | 医械技术转化 | 专利挖掘与布局
♢思宇访谈 泰格捷通 | 致众科技 | 迈迪思创 | 北航生医 | 波士顿大学 | 天智航张送根 | 医用机器人创新中心 | 郑诚功教授 | 汇通医疗













