文章来源:思宇MedTech ;编辑:kristen

2023年6月1日,美国初创医疗技术公司Ezra宣布,其开发的人工智能(AI)平台Ezra Flash获得美国FDA的510(k)批准,可用于脑部成像。该平台借助AI技术,可以提高磁共振成像(MRI)的质量,助力早期癌症预警治疗。
# AI助力磁共振领域变革
Ezra公司总部位于纽约,专注于利用AI技术提高癌症筛查的效率和质量。该公司计划利用其人工智能平台Ezra Flash推出“全球首个30分钟全身MRI扫描”。
该公司表示,全身MRI扫描原先需要一个小时,现在借助AI技术,已经可以压缩到30分钟。Ezra的最终目标是将MRI时间缩短到15分钟。
Ezra公司创始人兼首席执行官Emi Gal表示:“据美国癌症协会预测,2023年美国将有190万人被诊断出患有癌症。新的AI技术能够降低扫描成本,通过提高质量并缩短扫描时间,我们将全身MRI的成本降低了30%。”

Ezra的技术利用AI在癌症筛查过程的三个关键环节中发挥作用,即成像、分析和报告。
其中,Ezra Flash人工智能可以提高MRI图像的质量;Ezra Prostate可以辅助放射科医生分析前列腺MRI图像;Ezra Reporter可以生成易于理解的放射学报告的翻译,帮助医务人员向患者传达筛查结果。
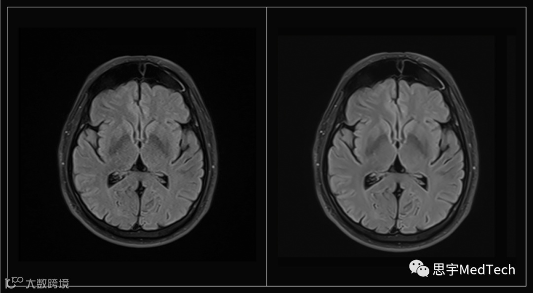
为了测试该技术,该公司创建了一种快速MRI协议(protocol),该协议会产生嘈杂的图像,而新的AI系统能够提高图像的质量。
▲(图左为未使用AI技术形成的MRI图像,图右为Ezra Flash AI增强后图像)
据悉,Ezra使用其专有的纵向MRI数据集来训练AI,该数据集包括数十万张患者和健康受试者的MRI图像。
Ezra还训练AI评估哪些元素对于生成完整和准确的图像是必不可少的。这使得Ezra能够在高速MRI扫描中提高图像质量,这些扫描已经达到了当前护理标准的极限 。
▲(图左为未使用AI技术形成的MRI图像,图右为Ezra Flash AI增强后图像)
该公司使用了多步验证过程,其中五名放射科医生对AI的性能进行了定性和定量分析。
纽约大学放射科创新主任兼先进成像创新与研究中心主任Daniel Sodickson博士表示:“Ezra Flash获得FDA批准是一个重要的里程碑——这标志着医学成像使用方式的重大变化。随着时间推移,成像速度逐渐增加已经为患者和医生带来了无数好处。然而,到目前为止,成像主要用于在其他症状已经出现后诊断和表征疾病。”
“相反,Ezra正在将MRI作为一种早期检测癌症的工具,在出现症状之前进行筛查——这种主动监测的安全网以前只对具有某些明确风险因素的患者开放。Ezra Flash将增加早期预警MRI的可及性,并且Ezra随着时间推移重复扫描所产生的数据集将有助于防止假阳性,并确保它提供的警告是适当和可行的。”
▲(图左为未使用AI技术形成的MRI图像,图右为Ezra Flash AI增强后图像)

Ezra公司是一家美国的医疗技术公司,总部位于纽约,由Emi Gal创立于2018年,专注于利用人工智能(AI)技术提高癌症筛查的效率和质量。
该公司提供了多种产品和服务,包括全身MRI扫描、前列腺MRI扫描、肺部CT扫描等,以及相应的AI平台,如Ezra Flash、Ezra Prostate、Ezra Reporter等,来提升MRI图像的质量、辅助放射科医生分析图像、生成易于理解的放射学报告等。
主编|赵清 审核|祎禾 排版|kristen
