文章来源:影像Tech ;编辑:章雨晴
转载要求:请在文首标明文章来源,可直接转载
据影像Tech了解,创新影像人工智能新锐苏州沛心科技有限公司(简称:沛心科技)宣布完成数千万元人民币Pre-A轮融资,所募集资金将用于团队建设、注册申报与临床研究。
# 沛心科技
沛心科技成立于2021年9月在苏州工业园区成立,由苏州市产业技术研究院介入医疗技术研究所孵化,主要从事医学影像人工智能辅助决策类产品的研发和生产,包括CT、超声、磁共振等医学影像自动标测及图像融合的AI系统、辅助诊断和手术规划AI平台系统。
沛心科技创始人袁静娴介绍,沛心科技拥有完全自主知识产权的底层代码库,产品的延展性、复用性及移植性极高。同时公司拥有一支经验丰富和年轻化相结合的研发团队,产品迭代速度极其快。
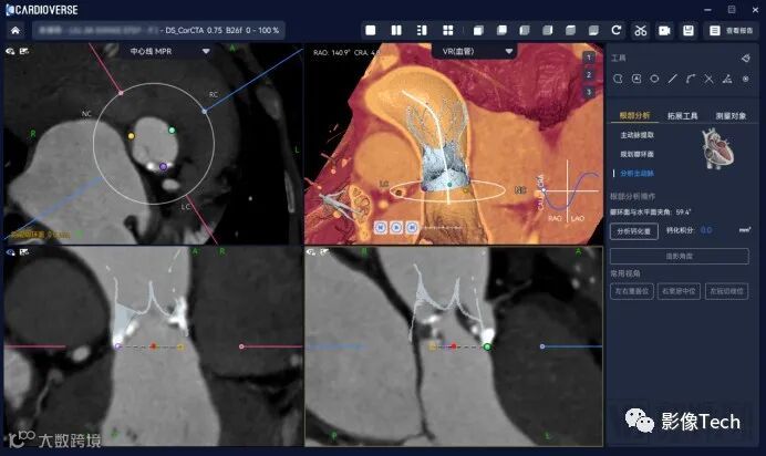
在研究所的孵化支持下,沛心医疗仅用1年半时间便实现了“智心”CardioVerse的研发与商业化。公司拥有完全自主知识产权的TAVR模块已经进入商业化进程,全国已装机授权数百台,装机医院近百家,与多家瓣膜公司合作。

# 市场介绍
心脏CT检查是TAVR术前必不可少的环节,2022年的“经导管主动脉瓣置换术(TAVR)流程优化专家共识”,也明确指出该术前影像学评估是必要环节。
目前,国内瓣膜手术的CT术前规划,多由医生与瓣膜企业的技术人员共同完成,对技术人员较为依赖。国外虽有成熟的术前辅助产品,但购买价格昂贵,单机授权动辄数十万元,加之《个人信息保护法》影响,无法切实解决我国需求。
而心脏瓣膜疾病可引起严重的心脏结构和功能损害,导致心力衰竭(心衰)等并发症,从而威胁患者的生命。随着人口老龄化,其发病率逐渐升高。近年来,经导管介入治疗技术快速发展,逐渐成为心脏瓣膜疾病的主要治疗手段。
我国有数百万瓣膜病患者,市场需求极大,而手术规划是经导管瓣膜置换或修复术所必备的工具。相关工具市场被进口垄断,而即使是进口产品亦尚未获得NMPA注册证,目前只能以科研名义使用。
在此情况下,沛心自主研发的Cardioverse是最有潜力替代进口的国产瓣膜手术规划工具,也已经开始商业化,发展潜力大,态势好。
# 融资历程
截至发稿日,查询公司融资历程如下:
# 专利信息
截至发稿日,查询公司部分专利信息如下:

主编|赵清 审核|祎禾 排版|miya


