文章来源:影像Tech ;编辑:Jacky
转载要求:请在文首标明文章来源,可直接转载
2023年11月30日,全球领先的医疗技术公司碧迪医疗(纽约证券交易所股票代码:BDX)宣布,推出了一款全新的超声系统:SiteRite™ 9 超声系统,旨在提高血管通路装置的效率。
#碧迪医疗推出 SiteRite™ 9 超声系统
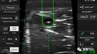
SiteRite™ 9 超声系统是一款一体化系统,采用更新后的 15.6 英寸触摸屏,以提供用户友好的体验,其具有增强的图像质量,提供行业领先的导管放置工具和技术,在血管通路设备置入过程中为临床医生提供支持。
该系统包括集成可视化工具,例如 Cue™ 针头跟踪系统,为护理人员提供连续、实时的针头位置跟踪,以及 Sherlock 3CG+™ 尖端确认系统,用于在置入导管或针头后,通过影像技术确保其准确位置和定位。

公司药物输送解决方案全球总裁 Eric Borin 表示:“我们在超声技术方面的最新创新产品旨在让临床医生更轻松、更高效地提供血管通路护理服务,无论是工作经验丰富的医生还是新手医生都能快速掌握。
公司开发这一解决方案,旨在确保医生在首次尝试置入导管或针头时取得成功,减少重复针刺,实现快速插入,为患者提供更好的护理体验。”

SiteRite™ 9 系统还采用了智能互联技术,例如自动检测血管的血管评估工具,可与血管测量工具配对,帮助临床医生选择合适的导管,以便医生每次都能做出明智的决策。其它系统功能包括通过信息捕获进行患者数据查找、自动填充和记录传输,以优化临床医生的工作流程。
作为血管通路解决方案的全球领导者,碧迪医疗致力于提高护理标准。这款创新产品是公司血管通路管理产品组合的一部分,将帮助临床医生置入血管通路装置,确保首次尝试插入成功,并减少不必要的针刺。SiteRite™ 9 系统已于今年9月获得FDA 510(k) 的许可,现已向美国客户开放。
# 专注于血管通路的超声系统
SiteRite™ 超声系统针对血管通路进行了重新设计,扩大了屏幕尺寸、增强了图像质量并优化了探头连接方式,以此诞生了 SiteRite™ 9 超声系统。该系统专为血管通路装置放置而设计,是唯一一款与市场领先的 Sherlock 3CG+™ 尖端确认系统(TCS)及导管尖端跟踪和导航兼容的一体式导管置入解决方案。
SiteRite™ 9 超声系统集成了 Sherlock 3CG+™ 尖端确认系统(TCS),专用于血管通路,其可视化工具,可帮助医生在 PICC 手术期间识别和测量血管。

凭借其优化的界面和 15.6 英寸触摸显示屏(比 SiteRite™ 8 大 50%),为用户提供良好的体验。

这款超声系统将脉管系统的清晰可视化与实时测量相结合,可以帮助临床医生选择最合适的血管通路装置。该系统可自动检测血管,然后应用测量工具向临床医生提供有关导管与静脉比率的信息,以满足符合当前 INS 标准的导管与静脉比率规则。

Cue™ 针头跟踪技术用于提供与目标结构相关的导针轨迹和针尖位置的视觉反馈。与“盲目”导管放置相比,实时可视化已被证明有助于减少医生尝试置入的次数,从而改善患者的超声引导针置入体验。


碧迪医疗BD(NYSE:BDX)成立于1897年,总部位于美国新泽西州。公司生产销售包括医用耗材、实验室仪器、抗体、试剂、诊断等产品。2022年碧迪医疗全球营收为188.69亿美元(约1378亿美元)。碧迪2023年在医疗器械行业网站Medical Design & Outsourcing发布的全球医疗器械公司百强榜上排名前20。2023上半财年,碧迪总营收为94.07亿美元(约657亿美元),同比下降0.6%。
碧迪医疗旗下的三大业务为医疗部门、生命科学和介入部门。2023上半财年,这三大业务分别占总营收的48%、27%、25%。其中,医疗部门同比增长5.6%;生命科学受新冠检测需求急剧下滑的影响较大,同比下降13.2%;介入部门旗下外科手术、外周干预、泌尿外科和重症监护均保持增长,同比增长4.0%。
国际医学影像企业:
主编|赵清 审核|祎禾
