艾必赛知识问答第十一期
免疫实验全拆解:WB 实验你做对了吗?
前言
Western Blot (WB) 是许多科研人员在免疫学实验中的入门项目。虽然它的流程看似简单,但真正掌握这个技术、跑出高质量的结果,却是一个充满挑战的过程。条带偏移、背景过高、信号不明显……这些常见的问题你是否也遇到过?这些问题不仅影响实验结果的准确性,还会让你浪费宝贵的时间和试剂。
今天,我们不再只是讲理论,而是深入探讨 WB 实验中那些常见的“坑”,并给出如何有效避免的实操技巧。让你从根本上了解每一步,提升实验的可重复性和数据的可靠性。
什么是 WB(Western Blot)实验?
Western Blot 是一种经典的蛋白检测方法,广泛用于确认特定蛋白的存在及其相对表达量。其原理基于蛋白质的分子量分离和抗体特异性结合,主要步骤包括:
蛋白提取与定量:从细胞或组织样本中提取总蛋白,并使用BCA或Bradford法进行浓度测定;
SDS-PAGE 电泳:通过加SDS(十二烷基硫酸钠)使蛋白变性并带上均匀负电荷,在聚丙烯酰胺凝胶电泳中按分子量大小分离;
转膜:利用电场将分离后的蛋白从凝胶转移到PVDF或NC膜上,保留蛋白的空间分布;
抗体孵育:使用特异性一抗结合目标蛋白,再用标记有酶(如HRP)或荧光染料的二抗结合一抗,形成信号放大系统;
显色或发光检测:通过酶促反应(如ECL化学发光)或荧光信号,检测目标蛋白的位置和表达量。
WB的原理依赖于SDS-PAGE分离蛋白的能力以及抗体的特异性识别,确保对目标蛋白的精准检测。它是科研中不可或缺的技术之一,帮助分析蛋白表达水平、修饰状态及抗体特异性。通过优化操作,可获得高精度、可靠的实验数据。
条带总歪,是哪一步出问题了?
如果 WB 中的条带偏移,问题往往出在这些方面:
上样太多:上样量过多时,蛋白无法正确分离,导致条带“堆积”在一起,无法清晰呈现;
胶没聚好:如果电泳时胶的聚合不均匀,蛋白会跑得不均匀,导致条带形状扭曲;
转膜起泡:转膜过程中,如果膜上有气泡没有及时排出,蛋白转移不完全,条带可能出现断裂或模糊。
建议
上样量控制在 20–30 μg,确保蛋白清晰分布;
确保胶聚合良好,可以通过反复检查胶的完整性来避免跑歪;
使用滚轴转膜,仔细确保没有气泡。
Fig.1.条带跑偏 vs 正常条带示意图
背景高,不一定是你“洗不干净”
高背景的 这个现象常常让人误以为是洗膜不彻底,但很多时候,真正的原因是:
抗体浓度太高:抗体浓度过高可能导致背景信号的增强,掩盖目标蛋白的真实信号;
封闭剂选择不当:如使用奶粉等封闭剂时,可能会干扰某些特定系统的信号;
二抗过度反应:二抗浓度过高,增强信号效果时可能产生过多背景。
建议:
一抗和二抗浓度一定要做预实验,不要仅凭感觉;
封闭剂选择 BSA,这种封闭剂对背景较低,且稳定性好;
曝光时,先拍一张长曝光图,从中找到最佳曝光时间。
Fig.2.背景模糊 vs 清晰图像对比图
信号弱 ≠ 抗体差
如果你遇到信号弱的情况,可能并不是抗体的问题,可能是这些方面没有注意到:
一抗浓度过低:一抗浓度过低时,靶标蛋白信号可能被忽视,导致条带弱;
转膜失败:如果转膜没有完成,蛋白就无法从凝胶成功转移到膜上,信号自然也无法显现;
曝光时间不够:曝光时间过短,可能导致信号没有充分显现。
建议:
确保 PVDF 膜提前活化,有助于提高膜的吸附性;
转膜的电压和时间根据目标蛋白的分子量进行匹配;
曝光前拍一张长曝光的“预判图”,找到最合适的信号范围。
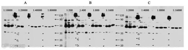
Fig.3.梯度稀释 WB 条带图
有些细节,没注意就容易出错
以下是一些容易被忽略的细节,可能会直接影响实验结果:
目标蛋白的表达量:如果目标蛋白是低表达型,需要通过富集或延长曝光时间来增强信号;
识别天然构象还是变性蛋白:Western Blot 只适合变性蛋白的识别;
膜的选择:PVDF 膜对于较大分子量蛋白的转膜效果更好,而 NC 膜适用于一些低分子量蛋白。
写在最后
Western Blot 实验没有一个“标准答案”,每一个环节的优化都能让结果更清晰。通过细化每一个步骤,优化抗体浓度、转膜时间等因素,你可以逐步获得稳定且可重复的实验结果。
下一期预告 | IHC 染出来的图,真的可信吗?
组织背景过深?信号不清楚?自发荧光干扰大?我们将带你一步步拆解免疫组化实验中的“误区”,敬请期待!
往期回顾
上下滑动阅读更多内容
【行业热点】WHO最新:霍乱弧菌全球再度扩散,多年防治为何依旧可怕?
【课堂问答】抗体太烧脑一篇一拆解 第10期|抗体浓度配比咋选?用得刚刚好,实验才靠谱!
【文献解读】几内亚Kankan白喉(2025):白喉毒素机制、免疫评估与研究工具指南 | abinScience
【课堂问答】抗体太烧脑一篇一拆解 第9期|一文讲清实验中不可忽视的“同型对照抗体”
【文献合集】八月文献速递 | abinScience产品文献分享
【文献解读】2025年结核病研究进展:全球趋势、疫苗开发与诊断工具
【课堂问答】抗体太烧脑一篇一拆解 第8期|解锁中和抗体:从筛选到应用的全流程解析
【市场活动】艾必赛生物秋季开学季,爆装备享超值优惠GO,科研启新程!
【课堂问答】抗体太烧脑一篇一拆解 第7期|二抗选不好,实验容易翻车?不同免疫实验的二抗选择全解析!
【文献解读】窥见病毒融合的“第一步”:科学家捕捉ACE2介导的冠状病毒早期融合中间体
【课堂问答】抗体太烧脑一篇一拆解 第6期|抗体怎么选?单抗、多抗、重组抗体一篇讲透
【文献合集】七月文献速递 | abinScience产品文献分享
【文献解读】《Nature》重磅:PPP2R1A突变OCCC患者免疫治疗生存期提高6倍
【课堂问答】抗体太烧脑?交给abinscience,一期一拆解!|蛋白实验从源头抓起:样本裂解与定量指南
【文献解读】佛山爆发478例!基孔肯雅热(CHIKV)研究热点与abinScience解决方案
【课堂问答】抗体太烧脑?交给abinscience,一期一拆解!|如何选择一支好的内参抗体?——稳定表达才是真内参
【课堂问答】抗体太烧脑?交给abinscience,一期一拆解!|抗体如何保存与分装?别让一瓶好抗体毁在冰箱里!
【文献合集】六月文献速递 | abinScience产品文献分享
【课堂问答】抗体太烧脑?交给abinscience,一期一拆解!|抗体的选择与验证全流程:从亲和力到特异性,怎么选都有理
【文献解读】一文全解|SLC34A2(NaPi2b)为何成为多种癌症的精准治疗靶点?
【课堂问答】抗体太烧脑?交给abinscience,一期一拆解!|抗体结构与抗原识别:从重链轻链到Fab/Fc功能
【文献解读】揭秘EBV诱导B细胞迁移:FAK与IL-10的关键作用
【文献合集】五月文献速递 | abinScience产品文献分享
【文献解读】从污染事件到疫苗前沿:沙门氏菌如何撕开美国食品安全防线?
【文献解读】CD47:躺着也能锻炼!一种潜在的“运动替代因子”精准激活肌肉代谢
【文献解读】《Cell》揭示革新蛇咬伤治疗:释放LNX-D09与SNX-B03抗体的强大潜力
【文献合集】四月文献速递 | abinScience产品文献分享
【文献解读】放疗×单抗=胃癌治疗新范式?abinScience助力靶向治疗新策略
【案例分享】abinScience InVivoMAb™ Plus体内抗体:科研应用利器
【科普课堂】abinScience解码斑马鱼研究—— “明星模式生物”
【科普课堂】病毒学研究|麻疹卷土重来:疫苗防控困境与病毒应用探索
【市场活动】限时大促|abinScience抗体买一赠一火热开启
【科普课堂】阿尔兹海默病新发现?炎症因子IL-12可能是新的救星
【文献解读】abinScience重组人FOXO1蛋白助力揭示新型污染物发育毒性机制
【科普课堂】当我问Deepseek噬菌体展示技术的潜力如何?
【市场活动】开学季,艾必赛给您爆装备啦!参与抽奖拿走华为平板Mate!
abinScience
abinScience创立于法国。 专注于高质量生命科学试剂的开发与生产,立足法国斯特拉斯堡创新科技中心,以“Empowering Bioscience Discovery”为愿景,为全球科研人员提供创新型解决方案。

