一、肿瘤介入机器人的工作方式
多模规划:融合CT和MRI图像,增强肿瘤的可视化,帮助在术前进行精准的定位和规划。
呼吸监测:实时追踪患者的呼吸,以便在探针放置时进行呼吸同步。
治疗确认:融合消融前后的图像,验证治疗后消融边缘。
机器人引导:具有多个自由度,带来前所未有的灵巧度,帮助医生更精准、更安全、更高效地完成介入手术:
腔镜手术机器人:有更大的活动范围、抑制震颤、三维高清视觉和更精准的控制能力,帮助介入医生以微创方法进行原本复杂的开放手术;
泛血管手术机器人:能够没有颤动地执行持续动作,并快速、准确地通过复杂的轨迹,精确定位到达目标血管,完成经冠脉的介入手术及肿瘤介入手术等;
经自然腔道手术机器人:具有更好的视野以及灵巧的操作能力,可以通过人体本来存在的自然腔道进入,避免创伤引起的并发症,并轻松抵达深部病灶,未来可与消融治疗相结合;
经皮穿刺手术机器人:与传统的经皮肺穿刺活检术相比,降低治疗难度,减少进针次数,降低患者发生并发症的风险,减轻了患者术中痛苦。
5. 避免医源性辐射:使医生在远离辐射源的地方进行操作,从而避免辐射伤害。
6. 术前规划和术后评估:提供术前规划和术后评估等服务,帮助医生更好地进行手术。
医学影像引导:首先,通过医疗影像设备(如CT或MRI)获取患者的内部结构图像。
病灶识别和手术路径规划:利用肿瘤介入机器人的计算机辅助系统,对这些图像进行分析,定义肿瘤/切缘,选择烧蚀方式和探头数量,并使用 2D/3D 图像融合软件可视化烧蚀区覆盖范围。
机器人辅助治疗:将机器人与患者定位,同步呼吸监护仪,将介入治疗器械放在安全锁针导轨中,按照预先规划的路径,精确地将手术器械(如导管或针)引导到肿瘤的位置。
治疗确认:机器人向下定位规划轨迹,并根据制造商指南提供消融治疗。
术后评估:采取术后CT并叠加术前图像以评估结果,比较肿瘤体积与消融区,以确定手术的效果和患者的恢复情况。
二、肿瘤介入机器人的优势
功能全面:机器人辅助技术可以计划,靶向,传递和确认肿瘤消融
治疗高效:不同机器人适用于不同的器官,并且可以结合基于人工智能的决策支持功能
创伤小、并发症少、恢复快:最大程度地避免手术过程中对周围正常组织的损伤
三、实战案例
(一)辅助经皮微波消融治疗肝细胞癌
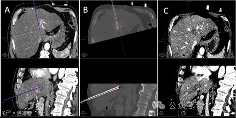
患者情况:75岁男性,患有13毫米的肝细胞癌。

A. 计算机断层扫描(CT)图像显示了预定的穿刺轨迹和虚拟化的理论消融区域(上排:轴向视图;下排:矢状视图)。
B. 在热消融过程中进行的非对比度CT显示了插入的针头和基于实际针头位置的虚拟化的理论消融区域。
C. 治疗后的增强CT图像显示了消融区域的结果,目标覆盖完美,边缘良好。
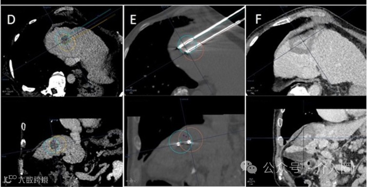
患者情况:78岁男性,在肝顶部患有31毫米的肝细胞癌。

D. 增强CT图像显示了系统提出的双针操作的预定轨迹和虚拟化的理论消融区域(上排:轴向视图;下排:矢状视图)。
E. 在热消融过程中获得的非对比度CT图像显示了插入的针头和基于实际针头位置的虚拟化消融区域(允许根据每个针头选择最佳能量)。
F. 治疗后的增强CT图像显示了消融区域的结果,目标覆盖完美,边缘良好。
(二)辅助经皮微波消融治疗肺结节
患者情况:69岁,女性,出现胸闷偶伴咳嗽,持续至今仍未好转,影像检查结果提示,患者双肺多处有磨玻璃样结节,直径近1厘米。
治疗结果:在机器人可视影像系统和机械臂穿刺系统的引导下,短短30分钟的手术完成病灶消融。术后患者稍作休息便自行返回病房。
(三)辅助经直肠高能聚焦超声前列腺增生消融术
患者情况:70 岁,因排尿困难多年,诊断为前列腺增生,经口服药物治疗,排尿症状无改善,均建议行经尿道前列腺切除术,因患者畏惧传统手术、担心术后尿失禁,故未进行手术治疗。

治疗结果:将增生的前列腺组织彻底消融,术中零出血、尿道括约肌零损伤、性神经完全保护,手术当天,患者下地活动,第二天顺利出院。
四、总结
总的来说,肿瘤介入机器人通过提供精确的定位、减少手术风险、提高手术效率、及提供术前规划和术后评估等功能,为肿瘤介入治疗提供了重要的辅助。这些优势使得肿瘤介入机器人在肿瘤治疗中发挥了重要的作用。
参考:
Milot L, L'Huillier R, Dumortier J, et al. Robotic-assisted percutaneous microwave ablation of hepatocellular carcinoma[J]. Diagnostic and interventional imaging, 2023, 104(5): 258-260.
主编|赵清 编辑|浦婕
好
文
推
荐


