单位:南开大学
2021年2月9日南开大学生命科学学院药物化学生物学国家重点实验室吴卫辉教授团队在Microorganisms上发表一篇名为“Identification of Novel phoP-phoQ Regulated Genes that Contribute to Polymyxin B T olerance in Pseudomonas aeruginosa”的研究论文。在这项研究中,作者使用 ChIP-Seq 分析来鉴定受 PhoP 直接调控的基因,并进一步研究了这些基因在细菌对多粘菌素 B 的耐受性中的作用和功能机制。研究结果揭示了受 PhoP-PhoQ调节系统调节的新基因,并加深了我们对铜绿假单胞菌中多粘菌素 B 耐受性决定因素的理解。爱基百客为该研究提供ChIP-seq的技术支持。
NO.1
研究背景
铜绿假单胞菌是一种革兰氏阴性细菌病原体,可引起免疫缺陷患者的各种感染。但铜绿假单胞菌本质上对多种抗生素具有耐药性。多粘菌素B是环多肽抗生素,用于治疗耐药性革兰氏阴性菌引起的感染。有研究表明,phoP-phoQ是一种调节基因,但phoP-phoQ直接调控的基因及其在细菌对多粘菌素B耐药中的作用目前还没有研究。因此,研究铜绿假单胞菌对多粘菌素 B 耐受性的新型 phoP-phoQ 调节基因有助于为后续研究铜绿假单胞菌的耐药性提供理论基础。
NO.2
研究对象
铜绿假单胞菌野生型和突变型
NO.3
研究思路
NO.4
研究结果
1.1铜绿假单胞菌中 PhoP 直接调控的基因的鉴定
图1. PhoP 直接调控的基因
图2. 由PhoP-PhoQ双组分调控体系调控的启动子
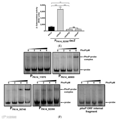
接下来,为了进一步证实这些基因的启动子受PhoP调控,作者在每个启动子与lacZ基因之间构建了转录融合。结果显示,LacZ活性在∆phoP和∆phoP∆phoQ突变体中下降,而在∆phoQ突变体中升高(图2A-E)。此外,纯化的PhoP蛋白可以与PA14_46900的启动子区结合(图2F)。综上,PhoP-PhoQ双组分调控系统基因直接控制了PA14_46900和PA14_50740的表达,以及PA14_52350-PA14_52370和PA14_11970-PA14_11960操纵子的表达。
图3. PhoP-PhoQ调控基因在细菌耐多粘菌素B和LL-37中的作用
为了研究PhoP-PhoQ调控基因在细菌对多粘菌素B耐药中的作用,作者从PA14转座子插入文库中选择了突变菌株,然后作者检测了它们在细菌对多粘菌素B耐受性中的作用。结果显示,papP::Tn、mpl::Tn、pagP::Tn、slb::Tn、ppgS::Tn和ppgH::Tn的存活率低于野生型PA14,而PA14_11980::Tn和PA14_52340::Tn的存活率与野生型PA14相似(图3A)。为了进一步确认这些基因在细菌对多粘菌素B耐受性中的作用,作者在野生型PA14中构建了缺失突变体。结果表明,缺失PA14_11960 (papP)、PA14_11970 (mpl)、PA14_46900 (pagP)、PA14_50740 (slyb)、PA14_52350 (ppgS)和PA14_52370 (ppgH)会降低多粘菌素B处理后的细菌存活率 (图3B)。此外,多粘菌素B处理导致突变体中更多的溴化乙锭(EtBr)流入,导致更严重的膜损伤(图3C)。papP、mpl、pagP、slyb、ppgS和ppgH的缺失也增加了细菌对LL-37的敏感性(图3D)。综上所述,PhoP-PhoQ调控基因在细菌耐多粘菌素B和LL-37中发挥重要作用。
1.3鉴定基因介导的多粘菌素 B 耐受性机制
图4.PhoP调控基因在细菌耐多粘菌素B和SDS中的作用
图5. PhoP调控基因在维持细胞膜内外完整性中的作用
图6. 多粘菌素B耐药细菌中PhoP-PhoQ调控基因示意图
在本研究中,PhoP-PhoQ 双组分调节系统通过直接调节参与 LPS 修饰和膜完整性维持的基因来促进细菌对多粘菌素 B 的耐受性。作者进行ChIP-Seq)并在染色体上发现了新的磷酸化结合位点。进一步研究发现PhoP直接控制了PA14_46900、PA14_50740和PA14_52340的表达,以及PA14_11970-PA14_11960和PA14_52350-PA14_52370的操纵子的表达。结果表明,pagP突变增加了多粘菌素B的结合和敏感性,同时,papP、mpl、slyb、ppgS和ppgH突变降低了多粘菌素B或SDS处理下的细菌存活率,增加了溴化乙砜的输入量,表明这些基因在应对胁迫时维持膜完整性的作用。此外,通过NPN和PI染色试验,作者发现papP和slyB参与维持外膜完整性,mpl和ppgS-ppgH参与维持内膜完整性。研究结果有助于加深我们对铜绿假单胞菌中多粘菌素 B 耐受性决定因素的理解,为后续研究铜绿假单胞菌的耐药性提供理论基础。
文献下载链接:
链接:https://pan.baidu.com/s/16dyE9Qqtg3x2mq1M3bufkg?pwd=bpxr
提取码:bpxr
了 解 更 多
{ 往 期 精 彩 回 顾 }

