
什么是ChIP?
染色质免疫共沉淀技术(Chromatin Immunoprecipitation assay,ChIP)是研究体内DNA与蛋白质相互作用的方法。其基本原理是在细胞生理状态下固定蛋白质-DNA复合物,将其随机打断为一定长度范围内的染色质小片段,然后通过免疫共沉淀技术来沉淀此复合体,从而特异性地富集与目的蛋白结合的DNA片段。通过对目的片段的纯化与检测,可以获得蛋白质与DNA相互作用的信息。ChIP不仅可以检测体内反式因子与DNA的动态作用,还可以用来研究各种组蛋白共价修饰与基因表达的关系。真核生物的基因组DNA以染色质的形式存在。研究蛋白质与DNA在染色质环境下的相互作用是阐明真核生物基因表达调控机制的基本途径。
ChIP-seq
ChIP-seq由ChIP和seq两部分组成。seq是对ChIP结果的一种分析和展示。成功的ChIP-seq源自良好的ChIP。根据实验目的及材料特点进行合适的交联,有效地获取组织细胞染色质,适当地打断染色质,高效特异地富集靶标,并进行适当的建库扩增。

ChIP-Seq 技术流程原理
需要注意的是,植物类组织含有高浓度的多糖多酚物质及其他杂质,核提取难度较大,容易导致样本组织量不足,富集产物总量少,导致构建文库质量不佳。而ChIP作为爱基的王牌技术,项目经验丰富,涉及物种已达到200+。对于植物样本的提取也有丰富的经验,可根据客户样本需求,提供多种提取方法。
ChIP-qPCR
使用 ChIP-qPCR 可以对多种样品中的特定基因组区域进行快速和定量比较。在做完ChIP-seq分析后,通常会找到感兴趣的TF/组蛋白修饰的一个或多个靶基因。为了证实TF/组蛋白修饰与靶基因的结合状态,确定TF/组蛋白对该基因的调控作用,可使用ChIP-qPCR进行验证,以此反映结合状态的特性。
ChIP-qPCR的定量分析需要针对可变性来源进行标准化,包括染色质数量、免疫沉淀的效率(富集效率)和 DNA 回收率。对于数据处理,两种常用的标准化 ChIP-qPCR 数据方法分别是Percent Input法和富集倍数法(Fold Enrichmen)。Percent Input法的使用,通常为了关注两组不同样本(例如处理前后、发育前后阶段等)Input%是否有差异,从而比较该位点在不同样本间是否存在富集效率的高低。富集倍数法的使用是加入了IgG的信息,IgG的CT值就可以充当阴性对照与IP进行比较,从而计算富集倍率,因此能够用于单组单基因的富集验证,这个值越大,表明富集越明显。
介绍完ChIP-seq和ChIP-qPCR的信息后,我们再来看看ChIP在植物中的应用案例,帮各位老师拓展下科研思路。
ChIP案例分析
ChIP与植物蛋白调控机制探究
在普通小麦中,MYB家族转录因子TaODORANT1在幼苗和成熟植株的根、茎、叶中均有表达,并且在TaODORANT1过表达的转基因烟草中呈现出更加耐盐耐旱的表型。然而,在小麦籽粒灌浆过程中,TaODORANT1在胚乳中的表达模式及其在籽粒储备物质生物合成中的作用尚不清楚。
2021年中国科学院遗传与发育生物学研究所张爱民研究团队在《Plant Biotechnology Journal》(TF=13.263)发表“The MYB family transcription factor TuODORANT1 from Triticum urartu and the homolog TaODORANT1 from Triticum aestivum inhibit seed storage protein synthesis in wheat”文章,揭示了来自Triticum urartu的MYB家族转录因子TuODORANT1和来自普通小麦的同源物TaODORANT1抑制小麦种子贮藏蛋白的合成[1]。

种子贮藏蛋白(SSPs)是影响小麦最终产品质量的决定因素。SSP的合成主要在转录水平上受到调控。目前在小麦中发现的SSP合成的转录调控因子很少,作者的研究目的在于鉴定新的SSP基因调控因子。
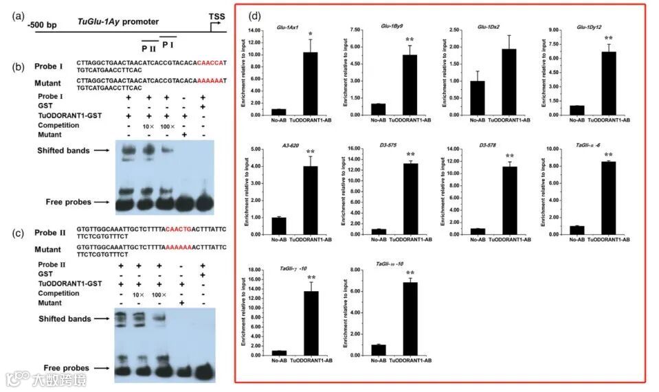
研究发现,来自乌拉尔图小麦(Triticum urartu)的R2R3 MYB转录因子TuODORANT1在粮食灌浆过程即胚乳发育过程中优先表达。在TuODORANT1过表达的普通小麦(Triticum aestivum)中,通过RNA-Seq检测发现所有SSP基因的转录水平在整个籽粒灌浆过程中降低了49.71%,导致成熟籽粒总SSP水平下降13.38%–35.60%。并且从体外实验结果来看,TuODORANT1对启动子活性和SSP基因的转录均有1-13倍的抑制作用。
EMSA和ChIP-qPCR分析表明,TuODORANT1在体外和体内均与SSP基因启动子的顺式元件结合。普通小麦中的同源基因TaODORANT1在体外将SSP基因的启动子活性和转录均抑制了1-112倍,TaODORANT1的敲除导致SSP基因的转录增加了14.73%–232.78%,从而导致SSP总水平升高了11.43%–19.35%。
结果表明,TuODORANT1和TaODORANT1都是SSP合成的抑制因子。

ChIP与植物抗病机制研究
黄萎病是危害棉花生产的重要原因之一,该病是由大丽轮枝菌侵染引起的,发病后会引起棉花产量的大量减少。目前,世界范围内推广种植的棉花品种——陆地棉,对黄萎病的抗性就比较差,因病减产问题一致困扰着种植人员。
今年,华中农业大学作物遗传改良国家重点实验室棉花研究团队朱龙付教授课题组联合新疆农科院阿里甫艾尔西研究员在《Plant Biotechnology Journal》(TF=13.263)杂志发表了题为“GhWRKY41 forms a positive feedback regulation loop and increases cotton defense response against Verticillium dahliae by regulating phenylpropanoid metabolism”的文章,该文解析了WRKY转录因子GhWRKY41与自身形成一个正反馈调节环,通过调节苯丙烷代谢介导棉花对黄萎病菌产生抗性的分子机制[2]。
已有研究表明,WRKY蛋白参与的苯丙素代谢在植物免疫中具有重要意义,但WRKY蛋白如何调节苯丙素途径的呢?这点仍不确定。为此作者展开了研究。
发现在接种棉花黄萎病菌(Verticillium dahliae)后,蛋白GhWRKY41在三个抗病棉品种(海岛棉7124、陆地棉86-4、中植棉2号)中普遍快速诱导,并且在转基因的棉花和拟南芥中GhWRKY41的过表达使它们对黄萎病菌的抗性明显增强,GhWRKY41的敲低则削弱棉花抗病性,表明GhWRKY41是一个促使棉花产生黄萎病菌抗性的正调控因子。
为进一步解析GhWRKY41介导棉花抗病性的分子机理,作者进行了ChIP-seq和RNA-seq分析,鉴定到1019个GhWRKY41的靶标基因。这些靶标基因中有439个(43.1%)在棉花接种黄萎病菌后响应其侵染,推测GhWRKY41可能通过调控这439个靶标基因介导棉花的免疫反应过程。除此之外,在响应病菌侵染的439个基因中,部分上调基因的注释结果显示与应激/防御反应、转录调控和翻译后修饰有关,包括一些苯丙素代谢主开关、受体激酶和抗病相关蛋白。
后续通过ChIP-qPCR、酵母单杂和双荧光素酶报告基因实验,发现GhWRKY41可直接结合并驱动自身的表达。通过筛选黄萎病菌接种到棉花根部的酵母双杂交文库,发现GhWRKY41可与自身发生互作而形成同源二聚体后直接激活GhC4H和Gh4CL的表达,从而调节木质素和黄酮类化合物的积累。

综上所述,该研究鉴定到一个重要的棉花抗黄萎病相关基因GhWRKY41,在棉花受黄萎病菌侵染后,迅速表达上调并与自身形成一个正反馈环放大棉花的防御反应。同时,GhWRKY41二聚体通过直接激活苯丙烷途径关键基因GhC4H和Gh4CL的表达促进木质素和多种黄酮物质的积累,进而提高棉花对黄萎病菌的抗性。
ChIP与植物代谢过程研究
乳酸(lactate)是细胞糖酵解途径的重要含碳代谢产物。最初它被认为是糖酵解的代谢废物,现在被视为能量来源、信号分子和免疫调节分子。细胞代谢过程中,乳酸的积累可促进组蛋白赖氨酸发生乳酸化修饰。这种修饰的具体机制在植物中尚不完全清楚。以往对于组蛋白乳酸化修饰的研究,主要围绕在动物的肿瘤、免疫调节等方向,在植物中鲜有报道。
今年5月份,北京市农林科学院玉米研究所任雯副研究员和首席科学家赵久然研究员团队在《Science China Life Sciences》(TF = 10.372)杂志上发表了题为“Trash to treasure: Lactate and protein lactylation in maize root impacts response to drought”的文章,该研究首次发现玉米中存在乳酸和乳酸化修饰现象,且在根中响应了干旱胁迫[3]。为植物中乳酸和乳酸化修饰的研究拓宽了领域,为深入理解翻译后修饰在植物根系干旱抵抗作用中的分子机制提供了重要线索。

该研究确认了干旱条件下乳酸在玉米根中的持续存在和积累,同时乳酸修饰组分析显示,Kla修饰普遍存在于玉米根中。发现不同品系(旱敏感-B73和耐旱-京2416)之间的Kla修饰存在差异,尤其在干旱条件下,京2416中脂肪酸降解通路中所有相关酶的乳酸化都发生了显著降低。同时,在玉米基因组的16个组蛋白上发现了37个Kla位点。
通过ChIP-Seq分析,进一步探索玉米根系中组蛋白Kla标记的全基因组分布。发现约有28-48K的组蛋白存在乳酸化修饰,不同于其他的酰化修饰,约90%的乳酸化修饰都存在于基因间区,只有6%存在基因区。并且在干旱条件下B73和京2416的具有明显差异,只有2.7%组蛋白Kla是两个品系共有的,表明非生物胁迫在不同玉米种质中触发的表观遗传活性有所差异。动物中已知的乳酸化抑制剂对玉米的乳酸化均未产生影响,而外源施加生长调节剂亚精胺不仅提高了B73的耐旱性能,同时显著改变了乳酸、乳酸化和组蛋白Kla修饰的水平。
总 结
1)转录因子结合位点鉴定:用于确定植物中转录因子的结合位点,从而帮助理解植物基因调控网络和转录因子的功能。
2)组蛋白修饰位点鉴定:鉴定植物基因组中的组蛋白修饰位点,如乙酰化、甲基化等。帮助研究植物基因组的表观遗传调控和染色质结构。
3)研究植物发育和逆境响应:用于研究植物发育过程中的基因调控和逆境响应。通过比较不同发育阶段或处理条件下的ChIP-seq数据,鉴定与发育和逆境响应相关的基因调控元件和染色质修饰。
关于我们
-
物种经验丰富:番茄、花生、玉米、红豆杉、葡萄、拟南芥、水稻、烟草、柑橘、马铃薯、白菜、大豆、小麦、油菜、短柄草、桃、苹果、月季、棉花、黑麦草、香蕉、泡桐、首蓉、甜瓜、黄瓜、梨、竹节参、海带、碎米莽、杨树、龙眼、茶树、凤梨、菠萝、嵩草、矮牵牛、龙血树、猕猴桃、铁皮石斛、白木香、疾藜、康乃馨、葛根、草莓、木薯...... -
组织类型多样:叶片、愈伤组织、原生质体、根、果皮、果肉、花蕊...... -
强大生信团队:满足客户各种数据挖掘和分析需求。
一站式服务:可提供前期实验设计、测序、分析以及后期验证(ChIP-qPCR、EMSA)。
部分已发表文章展示:

欢迎您的咨询~
文献引用
精选合集,欢迎收藏哟!

