大数跨境
0
0

Adv Sci项目文章 | m6A介导EP300表达调控H3K27调节人原始多能性

Adv Sci项目文章 | m6A介导EP300表达调控H3K27调节人原始多能性 爱基百客生物
2025-09-24
1
导读:本篇研究论文利用ChIP-seq、CUT&tag、MeRIP-seq、RNA-seq等技术方法揭示了m6A介导的H3K27ac修饰对人类多能干细胞原始多能性的建立调控机制。爱基百客为该研究提供ChIP
近日,广州医科大学附属第三医院范勇教授、华南理工大学施雪涛教授、北京大学第三医院于洋研究员共同通讯在Advanced Science(IF=14.1)在线发表题为“H3K27ac Is Essential for Human Naive Pluripotency Modulated by m6A-Driven EP300 Expression”的研究论文。该研究利用ChIP-seq、CUT&tag、MeRIP-seq、RNA-seq等技术方法揭示了m6A介导的H3K27ac修饰对人类多能干细胞原始多能性的建立调控机制。爱基百客为该研究提供ChIP-seq的技术支持。

 研究背景

能干细胞能分化成三个胚层细胞,在发育生物学和再生医学领域应用潜力巨大。小鼠胚胎有多能性的原始态和始发态,小鼠胚胎干细胞(mESCs)代表原始态,植入后转变为始发态的小鼠外胚层干细胞(mEpiSCs)。人类胚胎干细胞(hESCs)最初在始发态(primed hiPSCs)分离,现今已建立原始态的人类多能干细胞(naive hiPSCs)及人类扩展态多能干细胞(hEPSCs)。原始态与始发态在多方面存在差异,其转换机制未知

蛋白质乙酰化对PSCs多能性平衡很关键,但在人类两种状态下的具体作用研究有限。组蛋白H3K27ac在维持干细胞多能性发挥重要作用,原始态hPSCs中其水平更高,但其调控两种状态转换的机制未充分研究。m6A是mRNA常见修饰,在PSCs中调节自我更新与分化平衡,但其调控hPSCs从原始向始发多能性转变的分子机制尚不清楚;m6A与H3K27ac在此过程中是如何协同发挥调控功能也需要进一步探究。
 研究方法及路线

本研究利用HENSM/LCDM系统分别建立naive hiPSC、hEPSC与primed hiPSC模型。采用TMT、HPLC-MS、MeRIP-seq、CUT&Tag/ChIP-seq及RNA-seq,系统检测三组细胞的乙酰化蛋白组、m6A修饰、H3K27ac及转录组。通过嘌呤霉素掺入、A-485/CTB小分子干预与CRISPR-M3KO/M3OE/M3E3OE遗传操作,功能验证H3K27ac/EP300/m6A对naive多能性建立的影响。整合多组学关联分析,最终阐明:METTL3-m6A抑制EP300翻译使得H3K27ac下调导致naive多能性受阻。

研究结果

1. 人类原始态(naive hiPSCs)、始发态(primed hiPSCs)、扩展态(hEPSCs)多能干细胞中翻译后乙酰化的多样性

首先诱导生成原始态人多能干细胞(naive hiPSCs)人类扩展多能干细胞(hEPSCs)。而后利用TMT蛋白组以及HPLC-MS对经激活和未激活的hiPSCs及hEPSCs进行蛋白乙酰化检测,发现乙酰化位点广泛分布于亚细胞结构中,主要集中细胞核区域。与primed hiPSCs相比,naive hiPSCs和hEPSCs表现出更高水平的乙酰化(图1A),表明这两种状态下的蛋白质乙酰化活性更强。Pearson相关系数和主成分分析显示,三种多能干细胞的乙酰化蛋白组与总蛋白组存在显著差异(图1B、C)。通过乙酰化与总蛋白表达的层次聚类分析,可以清晰区分这三种多能干细胞类型,其中naive hiPSCs与primed hiPSCs的差异最为显著(图1D)。在乙酰化与总蛋白质组层面,hEPSCs与naive hiPSCs的相似度更高(图1D)。这些结果表明,人类多能干细胞(hPSCs)中存在着显著的乙酰化修饰差异
为了进一步探索这些hPSCs之间的差异乙酰化修饰,作者分析了样本之间差异表达的乙酰化蛋白;通GO和KEGG分析发现,与primed hiPSCs相比,naive hiPSCs和hEPSCs核糖体合成相关通路均显著上调(图1E);这些结果表明,hiPSCs和hEPSCs可能通过增强乙酰化修饰来促进蛋白质翻译。与primed hiPSCs相比,naive hiPSCs和hEPSCs蛋白的乙酰化水平显著上调。
为验证这一发现,作者对primed hiPSCs和naive hiPSCs进行了嘌呤霉素掺入实验。naive hiPSCs的嘌呤霉素水平明显高于primed hiPSCs(图1F),这说明naive hiPSCs具有活跃的蛋白质翻译状态。为探究乙酰化修饰对人类初始多能性的影响,作者通过整合已发表不同研究中naive与primed人诱导多能干细胞(hPSCs)的差异表达基因,发现在这些naive中特异性上调基因中有15个蛋白是在已检测到的乙酰化蛋白中。与primed hiPSCs相比,这15个蛋白在naive hiPSCs中均呈现高度乙酰化状态(图1G)。这些蛋白质与三羧酸循环和自噬过程相关(图1H),且在naive hPSCs中均显著增强。
图1  naive hiPSCs/primed hiPSCs/hEPSCs多能干细胞中翻译后乙酰化修饰

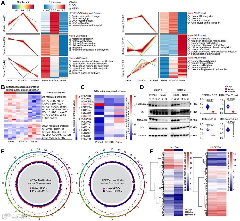
2. 人naive和primed多能干细胞中组蛋白H3K27ac差异

作者根据表达模式对三种类型多能干细胞的乙酰化蛋白组数据进行聚类分析,并将其分为六组(图2A)。GO和KEGG分析显示naive hiPSCs与primed hiPSCs之间差异表达的乙酰化蛋白主要为组蛋白乙酰化(图2A)。其中,Cluster 1中的差异乙酰化蛋白在hEPSCs中显著上调,其功能主要涉及DNA复制、重组及包装过程(图2A)。naive hiPSCs相较于primed hiPSCs组蛋白乙酰化相关蛋白的表达水平呈现显著上调趋势(图2B)。尤其是组蛋白乙酰化writer而组蛋白乙酰化eraser则无明显差异
对所有检测到的乙酰化组蛋白进行分析,发现naive hiPSs是和primed hiPSCs之间存在多种差异性修饰(图2C)。与primed hiPSCs相比,naive hiPSCs中大多数乙酰化的组蛋白表达水平更高(图2C),这可能归因于naive hiPSCs更强的蛋白质翻译活性和翻译后修饰能力。其中只有H2BK20ac和H3K27ac在primed hiPSCs中表现出更高的乙酰化水平(图2C、D)。
作者进一步探究了这两种组蛋白乙酰化修饰是否会影响naive hiPSCs的染色质状态,作者对primed hiPSCs和naive hiPSCs进行了H2BK20ac和H3K27ac的CUT&Tag测序。结果显示,naive组hiPSCs各染色体上的H2BK20ac修饰模式与primed hiPSCs组高度相似(图2E、F),仅个别位点存在差异修饰现象。令人意外的是,全基因组范围内naive组的H3K27ac修饰丰度明显高于primed hiPSCs组(图2E、F)。在naive hiPSCs中,大部分差异的H3K27ac峰呈现上调趋势。这一发现似乎与先前研究存在矛盾——先前研究显示,处于primed hiPSCs在H3K27具有更高水平的乙酰化修饰(图2C,D)。因此,H3K27ac修饰在naive与primed状态下hiPSCs中的潜在功能仍需进一步深入探究。
图2 naive/primed hiPSCs差异组蛋白乙酰化分析

3. 与primed hiPSCs相比,naive hiPSCs显示出更高丰度的H3K27ac修饰

为深入探究naive hiPSCs与primed hiPSCs中H3K27ac修饰的差异,作者又进行了染色质免疫沉淀测序(ChIP-seq)。与CUT&Tag测序分析结果一致,naive hiPSCs的H3K27ac峰数量(图3A)和峰长度(图3B、C)显著高于primed hiPSCs,表明naive hiPSCs的H3K27ac修饰分布更为广泛。各染色体上来看naive hiPSC的H3K27ac峰数量明显多于primed hiPSCs(图3D)。
对转录起始位点(TSS)处H3K27ac富集分析显示了稳定一致的结果(图3E)。H3K27ac修饰峰在内含子、启动子、基因间区、外显子以及5’或3’非翻译区(UTR)中呈现显著富集(图3F、G)。鉴于primed hiPSCs相较于naive hiPSCs具有更高的H3K27ac蛋白水平(图2C、D),作者进一步计算了这些细胞中H3K27ac峰的平均读数及其免疫沉淀(IP)相对于原始样本的富集倍数。结果显示,primed hiPSCs的H3K27ac峰强度和平均富集倍数(图3H、I)均显著高于naive hiPSCs。这些结果表明,naive hiPSCs的H3K27ac修饰修饰范围更广。而primed hiPSCs的hiPSCs在有限位点具有更强、更密集的修饰,但其整体分布较小。
接下来,通过对H3K27ac差异富集峰关联基因的GO和KEGG分析,作者发现naive hiPSCs中上调峰关联的基因与多能性维持相关(图3J),而primed hiPSCs中上调峰内的基因则与谱系分化相关。与primed hiPSCs相比,naive hiPSCs表现出更强的H3K27ac修饰(图3K、L)。这些结果表明,H3K27ac可能作为表观遗传修饰标记,在维持人类初始多能性中发挥重要作用
图3 primed 、naive hiPSCs中的H3K27ac修饰

4. EP300介导的H3K27ac对于建立人类原始多能性不可或缺

H3K27ac主要受EP300蛋白调控,其中A-485是关键抑制剂,而CTB则作为EP300的激活剂。为探究H3K27ac在人类原始多能性中的调控作用,作者采用两种小分子化合物调控该修饰。将primed hiPSCs进行不同浓度的A-485或CTB处理。WB结果显示:A-485处理可降低H3K27ac水平,而CTB处理则使其升高。在初始5天内的naive重置阶段,H3K27ac水平迅速下降(图4A,B)。通过添加两种具有相反作用的小分子化合物,可有效调控H3K27ac水平。具体而言,A-485降低了H3K27ac水平,而CTB则延缓了H3K27ac的下降趋势,使其接近初始预激活hiPSCs的水平(图4A,B)。值得注意的是,当抑制H3K27ac后,primed hiPSCs或H9 hESC未能形成穹顶状集落并迅速分化(图4C、D),相反,激活H3K27ac成功诱导出类似初naive的集落(图4C、D)。加入A-485后,在初始重置过程中H3K27ac水平迅速下降(图4E)。
鉴于SIRT7蛋白能有效抑制H3K18ac修饰,作者在HENSM重置实验中特别添加了SIRT7蛋白。研究人员观察到具有穹顶状结构的细胞群,其碱性磷酸酶活性显著升高,且原始多能性基因表达水平持续上升。这些结果表明,添加A-485仅在重置过程中抑制H3K27ac并抑制了原始多能性的建立。未经任何处理时,H3K27ac水平最初较高,但随着初始重置过程的推进逐渐下降(图4F、G)。这与先前研究结果一致:在primed hiPSCs中,H3K27ac表达水平高于naive hiPSCs(图2D)。添加CTB后,H3K27ac水平略有下降(图4F、G)。通过免疫荧光染色分析H3K27ac水平得到的结果与蛋白质印迹实验结果吻合(图4H)。qRT-PCR检测结果显示,A-485处理在10天(两次传代)内显著下调了初始多能性基因(图4I),这表明这些基因在早期初始多能性建立过程中主要受H3K27ac修饰调控。然而,通过CTB增强H3K27ac修饰可上调初始多能性基因,其中DPPA3在第5天显著上调(图4I),这一发现与先前研究结果一致——DPPA3对人类初始多能性建立至关重要。此外,作者成功构建了EP300基因敲除的人诱导多能干细胞(hiPSC)系。当重置为P2期时,使用A-485处理后观察到与之相似的分化效果(图4J),同时H3K27ac修饰水平也有所下降(图4K、L)。综合来看,这些发现表明EP300介导的H3K27ac修饰在人类原始多能性建立的早期阶段具有关键作用
图4 H3K27ac在人类原始多能性建立中的调控作用

5. H3K27ac激活加速了naive特异性基因的表达

为深入解析H3K27ac在建立人类初始多能性中的作用,作者对第5天重置细胞进行了RNA-seq分析,分别使用A-485和CTB处理。结果显示,A-485抑制H3K27ac后基因表达模式发生显著变化(图5A)。经CTB激活的H3K27ac细胞基因表达模式与已建立的初始诱导多能干细胞高度相似(图5A)。PCA分析看,仅需5天CTB增强的H3K27ac激活,细胞状态即可与已建立的初始诱导多能干细胞极为接近(图5B)。相反,抑制H3K27ac会显著延缓初始多能性的建立过程(图5B)。通过比较H3K27ac抑制或激活处理组与未接受小分子治疗的重置细胞比较,作者观察到大量差异表达基因。接下来,作者对整合分析中naive特异性上调基因的表达水平进行分析,发现CTB激活H3K27ac显著增加了这些基因的表达。相反,抑制H3K27ac也抑制了多个naive特异性上调基因的表达(图5C、D)。值得注意的是,与传统重置细胞相比,CTB激活的H3K27ac在早期阶段上调了几乎所有初始特异性基因(图5C、D),进一步表明H3K27ac在建立人类初始多能性早期阶段具有关键作用。
为验证初始多能性基因是否直接受H3K27ac调控,作者在重置早期对处理组和对照组细胞进行了H3K27ac CUT&Tag测序。CTB激活的H3K27ac细胞在三个明确的初始多能性基因(DNMT3L、DPPA3和DPPA5)中显示出显著的H3K27ac峰富集(图5E)。相比之下,A-485抑制H3K27ac后几乎检测不到H3K27ac峰且基因表达缺失(图5E)。这些发现表明,在建立人类初始多能性的早期阶段,H3K27ac通过直接调控初始多能性基因来激活转录。值得注意的是,RNA甲基化相关基因的表达模式在常规HENS细胞与CTB处理的重置细胞之间,terns与其他表观遗传修饰基因存在差异,未呈现明显聚类特征(图5F)。这表明RNA甲基化在人类初始多能性建立过程中不受H3K27ac影响,可能存在一种上游调控机制。
图5 H3K27ac加速初始特异性基因的表达

6. m6A修饰调控组蛋白乙酰化和人类原始多能性

为了验证这一假说,作者进行了MeRIP-seq来检测primed和naive多能干细胞中的m6A。分析显示,m6A富集峰在两种状态多能干细胞中均集中在编码序列(CDS)和3‘非翻译区(3’UTR),且未发现显著差异(图6A)。然而,差异修饰峰分析显示,原始多能干细胞中m6A修饰水平显著下调(图6B)。作为RNA水平的抑制性修饰,原始多能干细胞中的m6A含量较低,表明其转录活性高于预激活状态的多能干细胞。
根据m6A修饰和RNA表达水平,作者将基因分为四组:Hypo-up(m6A下调,表达上调)、Hypo-down(m6A下调,表达下调)、Hyper-up(m6A上调,表达上调)和Hyper-down(m6A增加,表达减少)(图6C、D)。在Hypo-up中,大量naive hiPSCs特异性基因呈现上调趋势(图6D),与primed hiPSCs相比,naive hiPSCs的表达水平显著更高(图6E)。这表明naive hiPSCs通过下调m6A修饰来维持naive hiPSCs特异性基因的表达。相较Hyper-down基因,Hypo-up基因包含大量组蛋白乙酰化调控因子(图6F),其在naive hiPSCs诱导多能干细胞中的表达水平显著高于预primed人类胚胎干细胞(图6G)。这说明naive hiPSCs多能干细胞会调使控基因的m6A修饰下调,从而确保组蛋白乙酰化活性。针对H3K27ac修饰,EP300在naive hiPSCs多能干细胞中的表达显著高于primed,而其m6A修饰在naive hiPSCs细胞中则呈现下调趋势(图6H)。这表明naive hiPSCs多能干细胞通过降低m6A对EP300的影响,维持由EP300介导的H3K27ac修饰
图6 m6A修饰调控组蛋白乙酰化与多能性基因表达

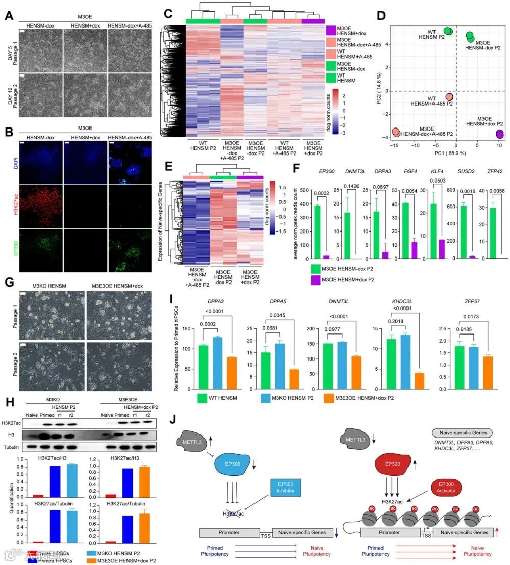
7. METTL3介导的EP300调节H3K27ac以促进人类原始多能性

为探究m6A修饰是否调控EP300介导的H3K27ac在人类初始重置早期阶段的作用,作者建立了METTL3敲除细胞系和多西环素诱导过表达的hiPSC细胞系,分别命名为M3KO和M3OE。在初始重置过程中,多西环素+primed hiPSCs的M3OE hiPSCs表现出与A-485处理组重置细胞相似的形态特征,且两者均无法形成类初始状态的集落(图7A)。此外,无论是METTL3过表达还是A-485处理的重置细胞,其H3K27ac水平均呈现下调趋势(图7B)。Dox+M3OE重置细胞也下调了EP300蛋白水平(图7B),表明在人类原始重置过程中,m6A修饰可抑制EP300蛋白的翻译,并进一步影响H3K27ac修饰。接下来,作者对多西环素处理+和多西环素-M3OE重置细胞进行了RNA-seq分析,发现METTL3基因在多西环素诱导下显著上调,多西环素+M3OE重置细胞与A-485处理细胞聚为一类(图7C)。主成分分析表明,多西环素+M3OE重置细胞与A-485处理细胞相似,但与常规重置细胞存在显著差异(图7D)。通过差异基因表达分析,发现这些细胞中存在naive特异性基因表达。与几乎抑制所有naive特异性基因的A-485处理细胞不同,多西环素+M3OE重置细胞抑制了超过半数的这些基因(图7E)。进一步表明,在初始重置过程中,m6A的上调与H3K27ac的抑制会产生相似的表型。尤其在EP300和初始多能性基因上表现得更为明显(图7F)。
此外,为进一步探究敲除M3基因中的METTL3或在M3OE人诱导多能干细胞中过表达EP300是否能够恢复H3K27ac修饰,作者构建了METTL3与EP300双多西环素诱导过表达的人诱导多能干细胞系,命名为M3E3OE细胞系。在初始重置过程中,M3KO细胞与多西环素+处理的M3E3OE细胞在第2天分化进程明显放缓,甚至仅形成少量圆顶状集落(图7G)。然而,M3KO与多西环素+处理的M3E3OE重置细胞中,H3K27ac水平均得到恢复(图7H)。值得注意的是,M3KO重置细胞的原始多能性基因表达水平已提升至常规重置细胞的水平,而多西环素+处理的M3E3OE重置细胞则仅实现部分恢复(图7I)。
综合来看,这些研究结果表明:METTL3通过上调m6A甲基化水平抑制EP300蛋白的翻译,其作用机制与直接抑制EP300类似,两者都能有效阻断H3K27ac修饰。当H3K27ac修饰缺失时,人类原始多能性建立受阻;反之,当EP300表达量增加且H3K27ac修饰增强时,人类原始多能性建立过程则会加速(图7J)。
图7 METTL3介导的EP300调节H3K27ac在naive hiPSCs调控

研究结论

本研究揭示了H3K27ac和m6A修饰在人类原始多能性建立和维持中的重要作用。研究发现,H3K27ac是维持原始多能性的关键修饰,而m6A通过调节EP300的表达间接影响H3K27ac的沉积。这些发现深化了对干细胞调控机制的理解,并为再生医学和发育生物学提供了新的见解。未来的研究应进一步探讨这些修饰在其他多能性状态转换中的作用及其潜在的临床应用。

此研究比较有意思的是看似矛盾的H3K27ac修饰;
  • 质谱/Western blot数据显示primed hPSCs中总H3K27ac修饰的组蛋白含量更高(图2C-D)。
  • ChIP-seq/CUT&Tag数据却表明naive hPSCs中H3K27ac修饰的基因组覆盖更广(图3A-F)
作者提出:表观修饰的“总量”与“分布”差异:
  • 总H3K27ac组蛋白量:Primed细胞更高(可能因分化需要更多组蛋白修饰)。
  • 功能性H3K27ac分布:Naive细胞覆盖更广,但单位修饰强度低。
功能优先性:
  • Naive状态需要广泛但低强度的染色质开放以维持多能性。
  • Primed状态需要局部高强度的修饰以启动分化。
  • 多组学验证的真实结果,考虑不同维度解析问题。

项目咨询

{ 往 期 精 彩 回 顾 }

精选合集,欢迎收藏哟!

点个「在看」 天天发SCI

【声明】内容源于网络
0
0
爱基百客生物
爱基百客是一家专业提供表观组学、单细胞与空间组学以及高通量测序分析的新型生物科技服务企业,旗下拥有DNBSEQ-T7、10xGenomics等平台,依托表观技术的优势,为生命科学研究和医疗健康等领域提供方案设计到数据分析一站式服务。
内容 436
粉丝 0
爱基百客生物 爱基百客是一家专业提供表观组学、单细胞与空间组学以及高通量测序分析的新型生物科技服务企业,旗下拥有DNBSEQ-T7、10xGenomics等平台,依托表观技术的优势,为生命科学研究和医疗健康等领域提供方案设计到数据分析一站式服务。
总阅读65
粉丝0
内容436