
引
言
说起免疫印迹(Western Blot)检测,想必大家都很熟悉了,不就是WB吗?每天都做啊,白底黑带,但是最近经常阅读SCI文献(特别是高分的)小伙伴可能会发现,近两年发表很多高影响因子的文献的WB结果图发生了大变样:白底变成了黑底,条带从黑色变成了:红,橙,黄,绿,蓝等各种颜色了(如下),条带亮度,对比度都好了很多了,不同蛋白还能呈现出不同颜色的条带,很多同学可能会问,这是什么黑科技?是用分析软件设置的颜色吗?还是PS软件P出来的了?

其实都不是,
这是最近比较火的免疫印迹黑科技
——荧光WB技术,这不,
很多同学还在实验室中苦逼的跑着WB,
“为啥背景那么深?为啥没有目的条带?
为啥分子量不对?为什么对比度这么低?
哀怨声此起彼伏的时候,殊不知,
免疫印迹领域已经发生着一场由
“黑白”到“彩色”的光影革命。
荧光WB产生背景:
尽管大多数生命科学研究者采用化学发光底物进行检测,但由于对多重分析的需求不断增加,现在越来越多的国外科学家开始使用荧光检测法。目前国内实验室使用较多的仍是化学发光,而SCI期刊中则有很多已经使用荧光标记WB了,为了紧跟时代的步伐,我们需要引进和创新。
常见Western Blot显色的方法主要有:放射自显影、底物化学发光ECL、底物DAB呈色,荧光WB实验步骤跟传统WB差异不大,最主要的差别在于二抗:传统WB检测二抗是酶标记,而荧光WB的二抗是荧光标记的,省去了繁杂的显影,照胶等步骤,取而代之的是利用荧光成像仪直接成像。

常规WB和荧光WB原理对比
说了这么多,
那荧光WB到底好在哪了?
荧光WB的优势:
化学发光的信号是动态的,二抗是酶标记,属于酶促动力学反应,信号随时间的变化而变化,信号不与目标蛋白浓度成线性比例关系。而荧光信号荧光是静态信号,不会随着时间的变化而变化,信号持久,可达到精准定量。
01
灵敏度更高
荧光免疫印迹已被证明比传统化学发光印迹更敏感,这是因为IR区域膜上的低背景荧光产生高的信噪比。配备有光电倍增管(PMT)的激光扫描成像仪对印迹进行成像,并可以将弱信号放大几个数量级。
02
通过复用提高量化精度
使用双色检测方法可以同时检测相同印迹上的两种抗原。例如,您可以分析您感兴趣的蛋白,并利用内参蛋白(例如GAPDH,肌动蛋白)将其均一化,而无需剥离/重新检测印迹或运行单独的凝胶。因此,您的量化将更准确。

双色检测
03
广泛的线性动态范围用于定量测量
为了确保可靠的定量测量,您从western blot获得的信号必须在线性动态范围内。这意味着信号强度与目标蛋白质丰度呈线性相关。换句话说,信号强度的两倍增加意味着目标蛋白质水平增加了两倍。通过激光成像仪获得的静态荧光值是定量的。这是因为荧光强度与几个数量级的蛋白质丰度成正比。这提供了广泛的线性范围。您可以在相同设置下量化低丰度和高丰度蛋白质,而不用担心信号饱和或超出线性范围。
相比之下,X射线胶片的动力学酶-底物反应和信号饱和将化学发光检测的线性度限制在更小的范围内。您经常需要尝试各种曝光以获得差异表达蛋白质的“正确图像”。这是为了确保捕获的信号在线性范围内。
04
一致性和可重复性高
荧光信号是仅取决于目标抗原的量的静态值,而许多变量影响通过膜曝光获得的化学发光信号。一些变量(例如,酶底物反应)难以控制导致不一致和不可重复的结果。Schutz-geschwender等(2004)报道了荧光蛋白印迹实验重复的标准偏差远远小于化学发光检测。因此,为了确保您的免疫印迹结果的重复性和准确性。
05
信号持续时间长
荧光信号非常稳定。您可以将您的印迹存储在冰箱中,并在您准备好后再进行成像。相比之下,如果您正在进行化学发光的免疫印迹,您通常需要马上开始成像。这是为了避免酶活性降低。
传统WB 综合PK 荧光WB

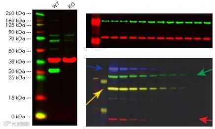
话不多说,结果才是硬道理:

骨灰级传统WB玩家跑出来的条带应该也就左上角的水平了吧?相较于采用荧光WB随手一跑的结果(右上图和下图),如果你是审稿人,你会pick谁了?

看到这儿,您心动了吗?
马上联系小艾吧!
或者扫描下方二维码,
即可联系您的专属客服哦~

作为一家具有高端的技术实力、先进的经营管理水平和完善的市场销售体系的生物高科技企业,总部位于武汉光谷高新技术开发区,服务面向全国。艾美捷科技是集进口试剂、实验室耗材销售、技术服务与合约开发为一体的专业化高科技公司,为用户提供专业的前沿资讯、完备的产品、整合的解决方案,及优质的物流服务。为了更好的服务客户,公司组建了一支经验丰富的研发团队-艾美捷生物技术中心,进入研发生产阶段,将更优质的产品推荐给国内生物领域的同仁们!
艾美捷科技与国内外优秀的生物试剂供应商优保持着密切的合作关系,目前已成为众多国际知名品牌的中国总代理或一级代理,主要包括:AmyJet、AAT Bioquest、Abnova、Agrisera、Biovision、Biosensis、Cayman Chemical、Caisson Labs、Cytoskeleton、CytoNiChe、Epigentek、Equitech-Bio、Hycult Biotech、Jackson、LifeSensors、LigaTrap、ProSpec、Norgen Biotek、Mabtech、Matreya、iRegene、StressMarq、ImmunoReagents、SouthernBiotech、Origene、US Biological、Solis BioDyne等,可以在短时间内为用户提供专业的前沿资讯、完备的产品及物流服务。
往期精选
长按二维码
或扫一扫二维码
www.amyjet.com

