Toll样受体(TLR)是一类作为模式识别受体(PRR)发挥作用的非催化受体。
这些受体识别大量微生物共享的病原体相关分子模式(PAMPs),同时也识别内源性警报信号,如凋亡相关膜碎片和炎症配体。
常见的细胞质结构域允许TLR使用白细胞介素-1受体(IL-1RS)使用的相同信号分子,包括MyD88和TRIF等。
TLR广泛存在于人的细胞内和细胞外。

人类TLR首先被鉴定为果蝇中toll受体的同源物,迄今为止,已鉴定出10种属于人类TLR家族的蛋白质。
所有TLR都是跨膜蛋白,其由富含亮氨酸的重复细胞外结构域(用于识别特定病原体),跨膜区和Toll-IL-1R结构域(用于启动细胞内信号传导事件)组成。
不同TLR的功能及相应配体
TLR1的主要配体为分歧杆菌,细菌中的脂蛋白和三酰脂质肽。
TLR4可以识别革兰氏阴性菌脂多糖(LPS),还可识别宿主坏死细胞释放的热休克蛋白(heat-shockproteins,HSP),体内类肝素硫酸盐和透明质酸盐降解的多糖部分以及局部的内源性酶的级联活化反应也可激活TLR4。
TLR2在与CD14的初始相互作用后识别细菌的脂蛋白,脂多肽,脂壁酸(LTA) 阿拉伯甘聚糖(LAM)及酵母多糖等。
TLR5可以识别鞭毛蛋白,鞭毛蛋白是目前发现的TLR5的唯一配体。具有鞭毛蛋白的L型细菌、铜绿假单胞菌、枯草芽孢杆菌和鼠伤寒沙门菌等可被TLR5识别。
TLR3特异识别病毒复制的中间产物ds-RNA,从而激活NF-кB和干扰素IFN-β前体。
TLR7识别咪喹啉家族低分子量的咪唑莫特、R-848和R-847等。
TLR7、TLR8和TLR9高度同源,与其他TLR不同,它们在细胞内涵体中起作用,吞噬和包膜溶解后结合它们的配体,可识别微生物的核酸。
TLR9识别细菌的CpG-DNA,激活B细胞和APC的免疫刺激特性。
另外,TLR对配体的识别,不同类型的TLRs可以组合,从而识别不同的PAMPs。
如TLR1与TLR6可以协同TLR2对不同的PMAPs分子进行组合识别;TLR7可能同TLR9组合来介导CpG激活免疫细胞。
其中TLR4/TLR4和TLR9/TLR9是以同源二聚体的形式进行; 而TLR2/TLR4、TLR2/TLR6和TLR7/TLR8为异源二聚体。
定位
TLR1,TLR2,TLR4,TLR5和TLR6都是位于细胞表面的受体; TLR3、TLR7、TLR 8、TLR9位于内涵体内,TLR11仅存在于小鼠体内。
TLR的激活后首先通过衔接分子MyD88、TIRAP、TRIF和TRAM启动下游信号级联,这些衔接分子聚合在PI3KK和NF-κB通路上并调节细胞内激酶和基因表达。
这可以刺激炎症和/或抗原特异性免疫反应,与TLR激活相关的信号级联与白细胞介素-1受体(IL-1R)激活非常相似。

作为生命科学领域知名的产品和解决方案供应商,艾美捷为您提供世界领先的天然免疫研究试剂制造商Hycult生产的最全的Toll样受体(TLR)相关抗体、对应的配体、激动剂及拮抗剂:
TLR相关抗体

TLR抗体

F:冷冻切片 FC:流式细胞术 FS:功能研究 IA:免疫分析
IF:免疫荧光 IP:免疫沉淀 P:石蜡切片 W:免疫印迹
如果您想要更多带标记的抗体,我们也是有的,欢迎垂询艾美捷科技
http://www.amyjet.com/

TLR2 抗体检测 PAM3CSK4刺激后人全血模型的TNF产物 (Cat. # HC4068)

RAW 264.7 细胞中的CD14,克隆号 Sa14-2抗体免疫荧光(Cat. # HM1060)
TLR识别模式相关配体

厂家内部质检
![]() |
![]() |
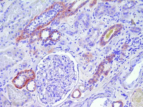
| 人体肾脏中的NOD-1。克隆2A10抗体石蜡切片染色(Cat. # HM2290) | 人肾脏中的TLR2。克隆TL2.1抗体冷冻切片的染色(Cat. # HM2064) |
![]() |
![]() |
| RAW 细胞中的TLR2. 克隆6C2抗体免疫荧光(Cat. #HM1047) | 小鼠扁桃体甘露糖受体。克隆15-2抗体冷冻切片染色 (Cat. # HM2056) |
Hycult Biotech是一家世界领先的天然免疫研究试剂制造商。是分析、抗体、蛋白质和肽的开发和制造的专业合作伙伴,其特色产品是天然免疫及相关领域的免疫分析试剂,例如补体, 嗜中性粒细胞蛋白,TLP,清道夫受体以及急性期蛋白等。除此之外,Hycult Biotech公司也可以提供炎症反应和细胞损伤等方面的产品。Hycult Biotech的宗旨和策略是着重于天然免疫相关疾病的研究,为人类生活质量的提高谋福利。
作为免疫学和细胞生物学领域的领导者,Hycult Biotech公司不仅研发这些用于生物科学研究的产品,同时也致力于将这些科研产品转化为临床测试的研究。
该公司与40多家主要的国际研究机构有着紧密的合作,因此,他们可以持续提供多种创新型试剂。Hycult Biotech公司在1988年就已经获得ISO-9001质量验证,2007年获得ISO-13485验证,2009年获得CE质量认证。Hycult Biotech公司凭借其先进的理念,高效的研究团队以及严格的质监系统为广大科研工作者提供高质量的产品及周到的技术服务。






