样本类型:PASM染色的肾脏活检样本
实验目的:根据银染胶原的界限,根据形态识别,对肾小管/肾小球/胶原结构以及肾毛细血管/肾脏内血管进行定量
实验数据:定量结果以散点图/直方图/数据表格的形式呈现
实验步骤:
1. 利用系统拆色功能,对过碘酸银染色及马松染色通道进行拆分,转换为灰度图进行染色强度定量
2. 根据形态学,对肾小管/肾小球/肾脏内动静脉/胶原纤维进行识别与定量
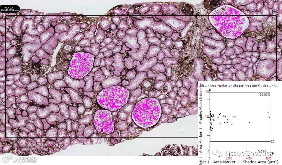
3. 在肾小球区域内,对毛细血管内皮染色面积/强度进行识别与定量,以及对毛细血管管腔进行识别与定量
4. 数据结果:肾小管总面积/平均面积/数量/染色强度肾小球总面积/平均面积/数量/密度肾内胶原纤维总面积/染色强度肾脏大/小血管的面积/数量/分布肾小球毛细血管内皮面积/染色强度/管腔数量/平均直径

原始影像

ROI分析区域选择

银染通道分离

马松染色通道分离

肾小球(橙色)的识别/定量

肾小管(多色)的识别/定量

大血管(红色)的识别/定量

小血管(红色)的识别/定量

肾小球毛细血管内皮(亮紫色)的识别/定量

肾小球毛细血管管腔(亮蓝色)的识别/定量

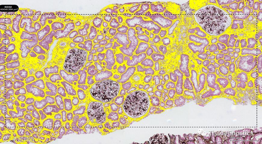
肾间质(黄色)的识别/定量
如欲索要完整版分析方案请联系我们。

