CELL:CD4+ T细胞嘌呤代谢紊乱如何导致焦虑症状
浙江大学生命科学研究院,东南大学生命科学与技术学院

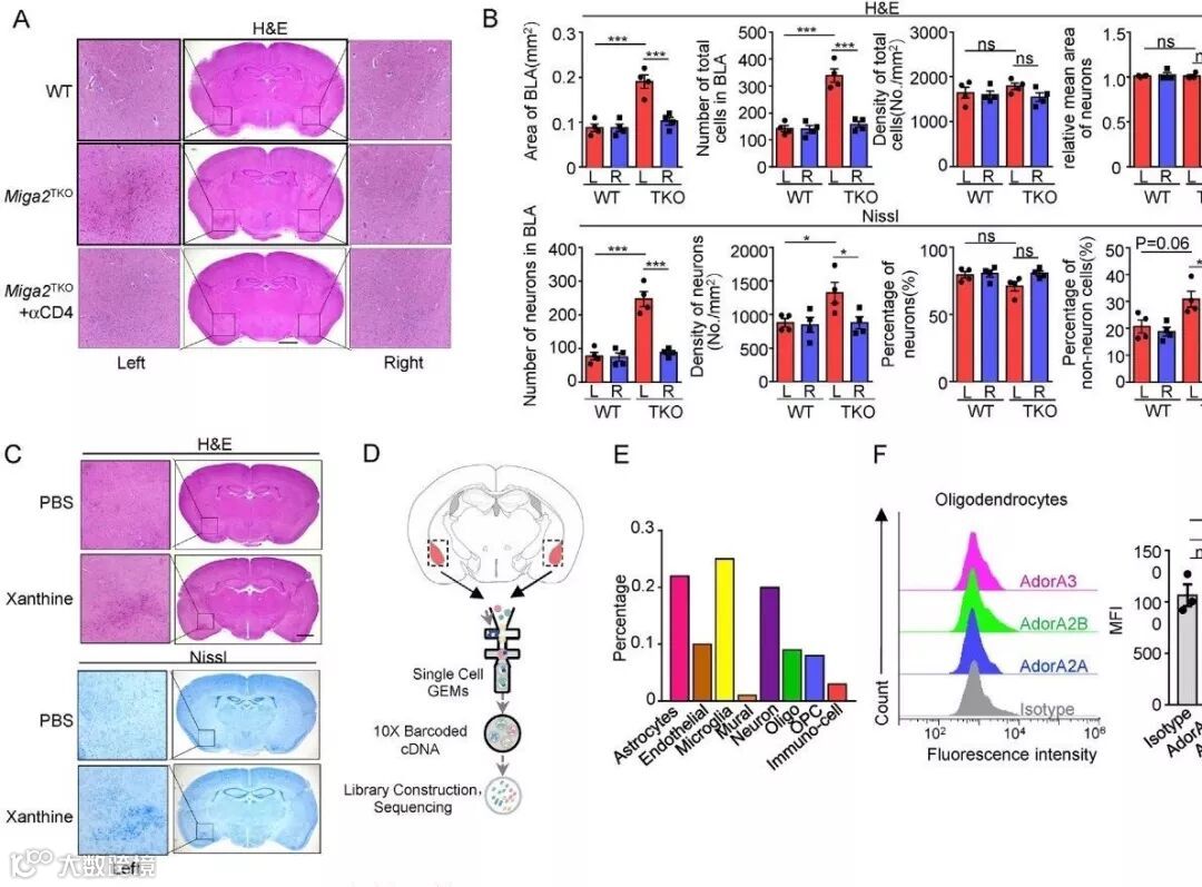
长期的慢性应激压力会导致大脑中的各种神经变化,增加抑郁和焦虑的风险。精神疾病与免疫功能障碍密切相关,除了行为改变,慢性应激还会导致免疫代谢和心血管系统的紊乱。
压力状态下,CD4+T细胞产生的过量嘌呤(包括次黄嘌呤和黄嘌呤)通过血液循环进入脑部,与脑左侧杏仁核(大脑情绪处理中心)中少突胶质细胞上的腺苷受体A1结合,引起少突胶质细胞活化并增殖,继而过度活化左侧杏仁核区域神经元导致焦虑症状。


该研究成果确定了慢性应激如何影响CD4+ T细胞的线粒体形态,阐明了一种外周T细胞在慢性应激诱导产生的焦虑样行为中的具体作用。临床治疗精神疾病的大多数药物直接针对中枢神经系统,常伴随着许多副作用。加深对神经发育、精神疾病与免疫生理功能之间联系的理解,对了解抑郁症和焦虑症的发病机制并开发新的治疗药物具有重要意义。
Cell stem cell: 海马区神经元可以再生带来阿尔茨海默病治疗新方向
美国芝加哥伊利诺伊大学解剖学与细胞生物学系

传统意义上认为,在患有AD或MCI疾病的患者大脑中,不再形成新的神经元。研究人员对这些捐献者大脑的海马体中带有各种神经发生标志物的细胞进行了计数,结果发现,平均每个大脑大约有2000个神经祖细胞,平均有15万个正在发育的神经元。对这些发育中的神经元的一个子集分析表明,在患有认知障碍(MCI)和阿尔茨海默症(AD)的人群中,增殖发育中的神经元的数量显著减少。


该研究揭示了不仅在成年老年期,即便是在疾病状态下,海马体中依旧能形成新神经元,打破了之前人们认为成年后大脑神经元不再发育的观点。老年期大脑中的海马体神经前体细胞和新神经元的出现,这就意味着研究人员可以通过一个小分子找到增强神经发生的方法,减缓认知衰老或将成为可能。
CELL: 新HIV疫苗递送策略能在临床前模型中增强保护性免疫应答
美国拉乔拉过敏与免疫学研究所

研究人员发现了一种新的HIV疫苗递送策略似乎在临床前模型中增强保护性的免疫反应:连续几天小剂量接种HIV疫苗要比一次性接种全部剂量的相同疫苗诱导更强的免疫反应。
本研究发现,两种独立的恒河猴(RMs) 慢速免疫策略可以诱导更强大的辅助性滤泡T细胞(TFH细胞)的细胞反应以及更好的结合enc的生发中心B细胞反应。利用一个新的RM基因组免疫球蛋白位点参照,研究者确定了不同免疫模式之间IgV基因使用的差异。传统的疫苗免疫策略免疫动物以免疫优势非中和表位为靶点,而另外两种慢速免疫策略的表位靶点更为多样化。通过改变免疫策略可以GCs和调节非中和表位的免疫优势来促进nAb的产生。


逐步增加疫苗接种剂量的方法,改变疫苗的递送方式,而不是疫苗本身,能够对疫苗的成功产生显著的影响,提示研究者可能需要更多地跳出思维定势来开发针对很难中和的病原体(包括HIV)的疫苗。当然,与渗透泵或多种疫苗剂量相比,可降解胶囊等方法对患者来说使用更加方便。
Acta Neuropathologica : EPHB2依赖性信号促进神经元兴奋性毒性和炎症反应
德国海德堡大学

脑局部灌注不足会导致缺血性中风,同时造成多种细胞产生特异性反应,包括炎症反应,NMDAR调节的谷氨酸诱导的神经细胞毒性,水肿形成和血管生成。尽管这些病理机制与疾病的进展和结果相关,但目前对部分发病过程的分子决定因素还不清楚。本实验研究目的在研究EphB2的功能及作用,EphB2是一种受体酪氨酸激酶,可以与膜相关的ephrin-B配体结合对神经突触功能至关重要。
Ephb2缺失的小鼠引起短暂性大脑动脉闭塞,然后在不同时间(6、12、24和48 h)的再灌注导致脑缺血。经过组织组学,神经转录组学方向分析表明,EphB2磷酸化水平升高,而Ephb2-/-小鼠的中风过程减弱。此外,虽然小胶质细胞,巨噬细胞和星形胶质细胞在梗塞周围区域的浸润没有改变,但是炎症介质MCP-1和IL-6的表达在这类小鼠中降低了。而且经过体外分析,EphB2与星形细胞ephrin-B配体的结合可刺激NF-κB介导MAPK途径的细胞因子表达。
Ephb2-/-缺血性大脑的进一步磁共振成像显示,在灌注开始后6小时内,细胞毒性水肿形成水平降低。在机制水平上,神经元EphB2的缺乏降低了NMDAR的特异性激活后线粒体Ca2 +的负荷,但在突触活动中却没有。
此外,在缺血性中风的急性期,神经元特异性ephrin-B2的丢失减少了脑组织损伤的程度。EphB2可能通过(i)ephrin-B依赖性信号传导促进星形胶质细胞的促炎性活化和(ii)NMDA诱发的神经元兴奋性毒性的放大来促进对中枢神经系统中缺血-再灌注事件的立即反应。

FJC染色的脑冰冻切片利用TissueFAXS软件进行成像,并利用TissueQuest软件对DAP细胞核进行计数;EphB2通过激活Erk和p38-MAPK信号级联反应促进星形胶质细胞依赖NF-κB的促炎性激活。从新生WT小鼠脑中分离出的星形胶质细胞处理后进行免疫荧光染色。NF- κ B (red) and nuclei (blue)
more detail: www.tissuegnostics.com/cn


