TissueGnostics公司全新产品StrataFAXS II正式发布,该系统搭载正置明场成像,支持高倍大尺寸样本全景成像,能够对组织切片、细胞爬片、细胞涂片等类型中单细胞水平提供多种定制化定量分析APP(解决方案);包含准确组织原位单细胞识别、细胞核/质(或膜)结构拆分、免疫组化染色强度定量、二维散点图-原始图像数据即时联动正反向回溯校验、结合多参数的大数据统计分析、数据表格-PDF报告自动生成等功能。StrataFAXS II创新的工作模式在扫描的同时实时进行拼接处理。

该系统配备HistoQuest细胞级明场定量分析平台,on-the-fly模式可以快速有效的导入多种图片数据及信息,很大程度提高组织原位定量数据的获取效率。平台具有兼容性,支持原始扫描格式和常见图像格式如tiff、jpg、png、bmp等。选配的StrataQuest级组织流式定量分析平台,拥有特殊组织结构(肿瘤区域,表皮,腺体,肾小球等)进行自动识别分类的machine learning(机器自学习)功能,以及用于准确细胞核识别的神经网络(DNN)单细胞识别算法。
创新的“即时扫描”模式可实时浏览超大尺寸样本。通过实时拼接可无缝放大或缩小感兴趣的区域,无需进行物镜切换。根据扫描参数的不同,您将在2分钟内完成15x15mm的样本扫描。StrataFAXS II支持配置20X-60X的物镜。全自动Z轴和X-Y平台,使您可以远程工作并完全控制显微镜。载物台的设计易于清洁,并且可以处理多种尺寸的载玻片(标准和两倍大小的载玻片)。
针对IHC染色中,苏木素标记的不同类型细胞核进行准确识别,不但可以通过算法分割不同大小、不同聚集程度的各类细胞核,也可以区分具有一定厚度样本中,不在相同聚焦焦面的背景细胞核。
在细胞核识别基础上,利用核周环状算法模型,以及核周染色识别算法模型,对DAB等染色标记的细胞质进行区域分割。
在识别到的细胞核/细胞质区域内,自动获取面积/染色强度/周长/长短径等20种特征参数,通过real-time正反向可追溯的细胞二维数据散点图投影,对不同细胞表型的数量/密度/阳性率等参数进行准确量化分析。
此功能还可用于CISH/RNAscope等荧光染色点信号的量化分析,以及虚拟细胞边界、细胞膜信号表达等定量分析。
IHC2
IHC3
IHC Membrane
可选配TissueFAXS Cytometry具有的业细胞膜/神经(线状细胞组织结构)分析功能、基于AI的组织识别功能、组织-细胞微环境空间量化分析功能、细胞-细胞作用关系分析功能等等。(如下为选配APP例举)
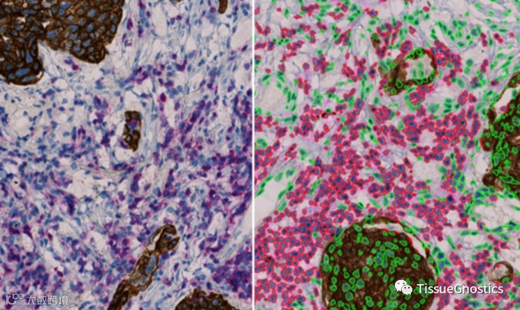
IHC MACROPHAGES
IHC MACROPHAGES
| 选配APP | ||
| 1 | Tumor Foci | 自动肿瘤区域识别 |
| 2 | Adipocyte APP | 脂肪特异性结构识别 |
| 3 | RNA Scope APP | RNA Scope分析 |
| 4 | Meta.Cells APP | 亚细胞结构识别 |
| 5 | Angio APP | 自动识别肿瘤血管内皮及管腔 |
| 6 | Immune Status in Situ APP | 免疫细胞表型分析 |
| 7 | Pulmo APP | 肺部组织识别 |
| 8 | Endometriosis APP | 子宫内膜异位 |
| 9 | Macrophages APP | 巨噬细胞分析 |
| 10 | Classifier APP | 自动组织区域划分 |
欲了解更多请联系:
www.tissuegnostics.com/cn
400-898-1980
office@tissuegnostics.cn

