HE 染色(苏木精-伊红染色)是组织学常用的染色方法之一。这种染色方法的基础是组织结构对不同染料的结合程度不同。染料苏木精可以将嗜碱性结构染成蓝紫色,而伊红可以将嗜酸性结构染成粉红色。针对不同的样本类型,一般来说,细胞核可以被苏木精染成鲜明的蓝色。细胞质被伊红染成深浅不同的粉红色至桃红色。胶原纤维呈淡粉红色,弹力纤维呈亮粉红色,红血球呈橘红色,蛋白性液体呈粉红色。着色情况与组织或细胞的种类有关,也随其生活周期及病理变化而改变。
病理组织 HE 染色的特点具有操作快捷简单的特点,但是同样会丢失组织细节,以及无法获得特异性目标分子/蛋白的表达信息,以往针对特异性颜色进行识别定量的软件往往无法对 HE 染色样本进行很好的分析。
TissueGnostics 公司在独立苏木精染色通道的基础上, 利用专利算法对细胞核进行识别,并利用散点图设门圈选的方式,综合不同组织结构伊红染色中的细微差异,可以做到在 HE 染色样本中更多数据的挖掘。
HE 染色组织区域识别解决方案,可以自动独立拆分苏木精染色通道与伊红染色通道,在苏木精染色通道内对细胞核进行准确识别,对苏木精着色面积与强度进行筛选后,识别出正常细胞/肿瘤细胞/炎性淋巴细胞;进一步可以根据细胞核形态与密度,以及伊红染色情况,对肿瘤/血管/胶原纤维/蛋白渗出液等组织区域进行识别定量分析。该解决方案可以在 H&E 染色样本中挖掘更多的数据信息,使大批量样本简单染色+深度分析成为可能。

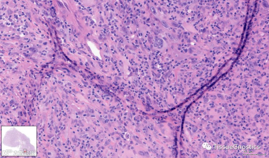
原始影像

苏木素染色通道

伊红染色通道

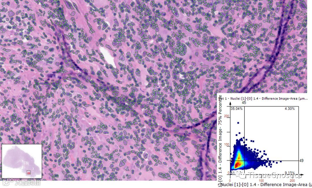
细胞核识别1

排除褶皱/重叠区域

排除细胞碎片

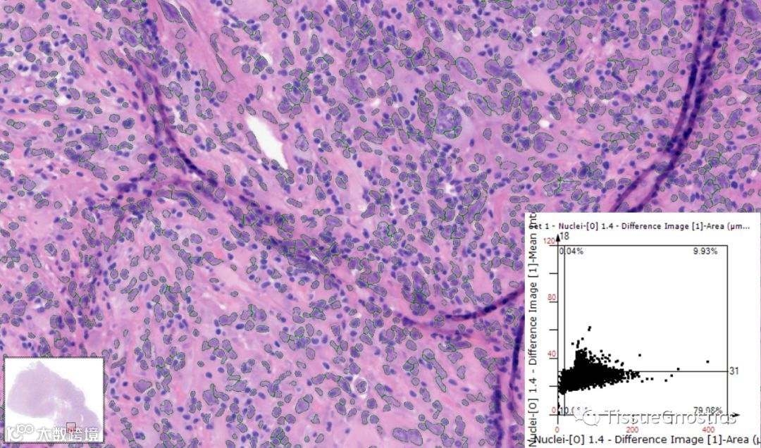
细胞核识别结果2

炎性细胞筛选

细胞核识别结果3

肿瘤异型性细胞筛选
1. 细胞核识别结果及附带散点图1、2、3,均来自上一层细胞识别后圈选的结果。
2. 通过简单利用cutoff线,调节细胞圈选的阈值,可以正反向回溯,做到同时同步浏览筛选结果,通过观察比对,保证结果的准确性。
3. 针对不同大小/形态/染色强度的细胞,采用了三种不同的识别参数,可以做到无重叠数据覆盖的前提下获得准确的定量分析数据。
4. 左下角为分析区域在原始图像中的略缩图(红框内)

