过去几十年的研究发现,外周神经系统(PNS),包括感觉、交感、迷走神经和肠神经 它们向免疫细胞发出信号,影响免疫细胞的功能。而中枢神经系统(CNS)和免疫的神经内分泌(如下丘脑-垂体-肾上腺轴)控制已被证实。神经和免疫系统使用共同的分子介质和受体进行系统间通信。神经元和免疫细胞之间的分子交流影响神经功能,同时也在癌症和神经退行性变等疾病中发挥作用。 因此,神经系统和免疫系统之间是如何交互沟通,相互调节则是现阶段神经领域研究的主要内容。
神经免疫相互作用机制研究,需要单细胞大数据原位信息的验证,但是现在没有一项很好的技术可以满足从脑组织多标染色,全景大组织立体层成像,单细胞空间原位分析整合的技术,去验证未知和待发现的免疫细胞表达的神经受体,去揭示神经免疫互作机制。
TissueGnostics 多色TSA解决方案,可以实现在石蜡及冰冻切片脑组织切片上进行,10种以上的多重免疫荧光染色。进而可以在脑组织样本上标记更多神经及免疫相关靶标,解释复杂的神经免疫相互作用关系。
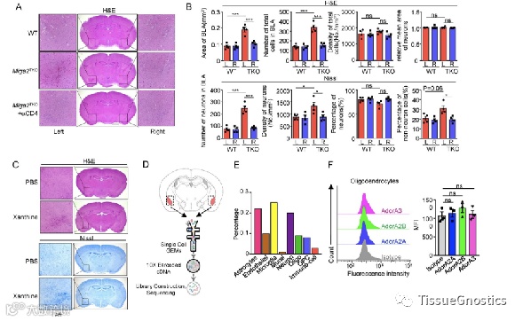
研究发现Miga2或黄嘌呤的敲除直接作用于左侧杏仁核区域的少突胶质细胞从而引起病理症状。
(A)WT,Miga2TKO 和CD4+ T cell-depleting Miga2TKO小鼠的脑组织全景图。
(B)利用TissueFAXS Cytometry技术对左侧杏仁核区域的神经元数量及面积进行定量分析。
(C)HE染色和尼氏染色样本脑组织图。
由于脑组织中不同脑区神经元形态、数量分布差异很大以及无法通过简单的肉眼评估手段准确定量分析神经细胞形态和数量,利用TissueFAXS Cytometry良好的补充了不足。通过大数据全景分析得到相关形态分布模式。
在5月30日的直播中,TG公司将与大家分享Tissue Cytometry解决方案的技术特点以及在神经免疫中整体解决方案的应用。

