充分了解动物的结构解剖学,包括各个器官和组织的位置、形态和特征。正确评估扫描图像质量对于准确判读至关重要。
评估扫描图像质量的关键要素
图像中不同组织和结构之间的灰度差异。观察图像中相邻组织的灰度差异,并确保没有过度和欠度对比的情况。良好的对比度能够清晰地显示不同组织的边界和细节。
肝实质/肝内血管清晰
脑白质/灰质清晰
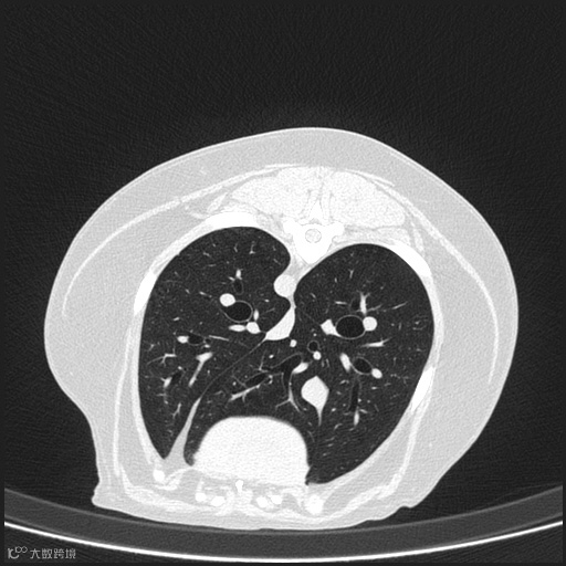
图像中能够显示的最小细节。观察图像中能否清晰识别小的解剖特征,并排除模糊或失真的情况。高分辨率图像可以清晰地显示小的解剖结构和病变。
肺部高分辨
鼻腔黏膜/鼻甲高分辨
图像中随机出现的干扰图像质量的信号,导致图像细节的模糊和不清晰。评估噪声时,应观察图像中是否存在明显的颗粒状或斑点状噪声,以及噪声对图像质量的影响程度。
颗粒感
噪声
由于扫描参数、金属物体或运动等因素引起的图像畸变。评估伪影时, 应注意图像中是否存在条纹状、环状或阴影状的异常结构,以及其对图像质量和解剖结构的影响。
金属伪影
呼吸运动伪影
是确保诊断区域图像质量的关键因素。标准的摆位减少断层图像的变形,利于直接诊断,同时减少非诊断区域对诊断区域的干扰和导致的部分伪影。
双后肢未拉直
影响髋部观察
是确保图像覆盖所需解剖区域的关键。评估时应检查图像是否覆盖扫描区域,所需解剖结构是否完整显示,没有被截断或超出范围的情况。
发现图像质量存在问题,要及时调整扫描参数、优化图像重建算法或进行多次扫描等措施,或与厂家的临床人员进行沟通,共同解决图像质量问题,以获得更好的图像质量。
动物CT影像读片是一个系统性的过程,以下步骤可帮助兽医准确分析和解读图像。
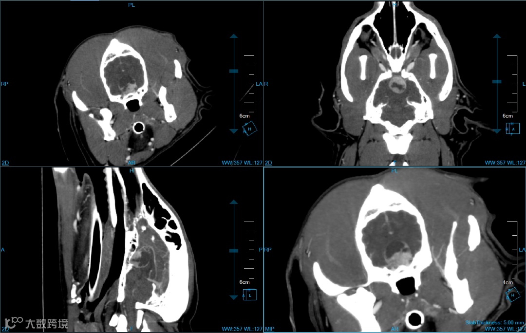
动物CT扫描包括横断面、冠状面和矢状面。仔细查看每个切面,以获取更全面的解剖信息。
多平面多方位观察垂体瘤形态
调整图像的窗宽和窗位,突出显示不同组织和病变的特征,最大程度展示病灶区域细节。
软组织窗、骨窗
注意不同结构、器官之间的位置,接触或推移关系等,有助于确定异常结构的原因。注意异常病变,如肿块、囊肿、结石的形态、大小、边界、密度和强化模式等特征。注意病变组织周围的反应,如炎症、水肿、增生或萎缩等,有助于评估病变的严重程度和影响范围。
结合动物的病史和临床症状,与图像发现的病变进行对照,有助于医生做出准确的诊断和治疗方案。如果有多个时间点的CT扫描,进行前后比较,评估病变的进展或治疗效果。如有其他影像学检查结果(如MRI、X线等),将其与CT影像进行综合对比,以获得更全面的诊断信息。
准确简明的攥写结论,概括主要的影像学发现和诊断意见。根据图像结果,提供治疗建议和后续管理指导,以促进动物的康复和疾病控制。
在做诊断时,兽医与影像人员应该保持密切合作与沟通,互相交流经验、讨论疑难案例,并共同努力提高动物CT影像的解读水平。


