一缕金风送爽,一叶金秋已至,在这硕果累累的丰收之月,“第二十三届国际眼科学学术会议”、“第二十三届国际视光学学术会议”(COOC2023)暨“海南省医学会眼科学分会2023年学术年会”将在美丽的“椰城”海口召开。广州瑞泰生物科技有限公司将在C06展位展示三个产品:
●中国首个获批上市巩膜镜——艾普柯®巩膜镜
●艾普晶™巩膜镜专用护理仪
●国内首创眼科湿态生物羊膜——瑞秀复®
期待您的莅临!在本次会上,我们还将隆重举办艾普柯®巩膜镜验配技术操作培训,期待您的关注!
展会地址:海南国际会展中心5号馆
展位号:C06
艾普柯®巩膜镜验配wetlab地点:
艾普柯®巩膜镜验配实操区
艾普柯®巩膜镜验配wetlab日程:
●10月20日 13:00 - 17:00
●10月21日 08:30 - 12:30
●10月21日 13:00 - 17:00
产品介绍
艾普柯®巩膜镜
●适用人群:圆锥角膜、角膜不规则散光、中重度干眼、各种屈光不正等
●Boston XO2®,超高透氧Dk141
●三区独立设计,象限性调整
●TP/TK/Notch/Graft多元化镜片设计
●极简验配,一次验配成功率高
●30年验配技术沉淀
●50000+成功验配记录
艾普晶™
●艾普晶™巩膜镜专用护理仪,专为巩膜镜而生
●仅用生理盐水,护理流程全覆盖,“仪”步到位
●深层除蛋白,灭菌级护理
●无毒副作用
●降低手揉搓的频率至七天一次
●操作便捷,提高患者依从性
瑞秀复®
●AMNIOCARE®冷冻保存技术,保存期长达3年
●生物活性强,生物结构与新鲜羊膜一致
●眼表损伤修复效果好,等同于新鲜羊膜
●柔韧性好,更贴合创面,与新鲜羊膜相似
艾普柯®巩膜镜验配技术操作培训
以光为本,以镜为器
力学笃行,共赴睛彩
艾普柯®巩膜镜验配技术操作培训
重磅来袭,敬请期待!
艾普柯®巩膜镜验配案例
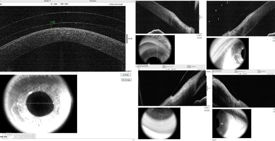
患者左眼因配戴RGP不能耐受,选择配戴巩膜镜。
配前Pentacam检查
根据患者的角膜直径,选择14.5mm直径的试戴片。
测量13.5mm弦长上的矢高,确定首片试戴片。
试戴+裂隙灯配适评估
试戴片参数:
●OS Epicon A 3900/6.75/14.5/-3.00 CT0.30
左眼前节相
左眼中央镜下间隙可,上鼻颞侧稍有接触,着陆区配适良好,定位稍有偏下。
沉降后评估
左眼中央镜下间隙稍低,上鼻颞侧镜片与眼表接触,着陆区配适良好,定位稍有偏下。
片上验光
OS:+4.00DS → 0.6
定制参数
试戴片VS定制片
广州瑞泰生物科技有限公司
广州瑞泰生物科技有限公司成立于2014年,总部位于广州,专注于眼科医疗器械的创新、研发及转化,是集研发、生产、销售为一体的“专精特新”高科技型企业。瑞泰生物联合四川大学国家生物医学材料工程技术研究中心成立科研合作中心,目前有多个眼科产品在研。2024年底,将在成都温江医学城落成国内最大眼科再生医学产业化研发和生产基地。同时,瑞泰生物还与山东省眼科医院共建角膜病山东省工程研究中心。

