通俗来讲,一般“划破个小口”或者“蹭破了皮”此类伤口通过上皮再生即可愈合,皮肤结构和功能可完全修复,并不会形成瘢痕。

另一种是伤及真皮和皮下组织的损伤,这种伤口往往伴有出血,并且需要进行缝合处理,其他一些还包括有烧伤、烫伤、化学物品腐蚀等损伤。当真皮及以下组织受到损伤刺激时,成纤维细胞应激并大量增生,同时又分泌大量胶原蛋白。这些胶原占据了正常皮肤细胞的空间,使皮肤无法完全复原,因而形成瘢痕。如果胶原巨量、持续增生,就会形成增生性瘢痕甚至瘢痕疙瘩。

这些疤痕不仅会影响美观,疤痕组织也会限制一个人的运动能力,因为它缺少汗腺,妨碍身体降温。它们看似比正常皮肤厚,实际上却比正常皮肤脆弱。
瘢痕(scar)是物理、生物、化学等因素的损害作用于人体皮肤组织,导致皮肤组织的严重损伤而不能完全自行正常修复,它是各种创伤引起的皮肤组织外观形态和组织病理改变,是人体创伤修复过程中必然的产物。
皮肤的损伤是瘢痕形成的原因,包括皮肤的外伤、切割伤、烧伤、皮肤感染、外科手术等。当瘢痕生长超过一定的限度,就会发生各种并发症,例如外形的破坏以及功能活动障碍等,给患者带来巨大的肉体痛苦和精神痛苦,尤其是烧伤、烫伤、严重外伤后遗留下的瘢痕。

根据瘢痕的颜色、质地和形态,临床可以将瘢痕分为三大类:萎缩性瘢痕、增生性瘢痕和瘢痕疙瘩。
主要发生于面部,多为痤疮愈后所遗留,也可能由于外伤过深,损伤皮肤的全层,会跟深层的组织形成黏连而形成一个凹陷性的疤痕,这样疤痕就有很大的收缩性,可以牵拉临近的组织器官而影响局部的功能。
增生性瘢痕
由于损伤到了真皮层,它形成的疤痕要明显高于正常的皮肤,同时局部会增厚变硬。
瘢痕疙瘩
一般会高出正常周围组织很多,同时会超出原本伤口范围,呈现出奇怪的蟹足状,在中医上也称蟹足病。它是一个持续增长的包块,与周围的皮肤有明显的界限,这也是一种皮肤纤维瘤的表现。
2、瘢痕修复极具「挑战性」
关于瘢痕的治疗,常规的治疗方法有糖皮质激素注射、包块局部曲安奈德注射、激光、手术+局部放疗、硅胶膜等等。
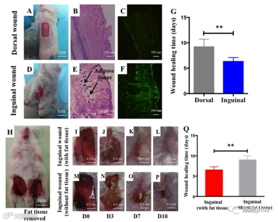
慢性创面及瘢痕疙瘩是创面修复领域的两大难题,虽然已建立了各种治疗手段,但具有不同的疗效性,高复发率和治疗无效非常常见,针对于此的治疗手段也常常不能达到预期效果,手术疗法、瘢痕内注射、激光、冷冻疗法等综合治疗都难根除瘢痕疙瘩。目前备受瞩目的人工皮肤治疗,在临床研究中应用效果也不理想,对于慢性伤口愈合率只有35%~56%。其中,烧伤疤痕特别具有挑战性,治疗在很大程度上支持修复手术以去除疤痕皮肤,但复发率较高。
过度瘢痕是由肌成纤维细胞产生的胶原蛋白异常和皮肤功能丧失造成的。研究表明,人羊膜干细胞外泌体可以通过控制细胞外基质的沉积来减少瘢痕,
3、「外泌体」抑制瘢痕形成
研究表明:外泌体可以加速皮肤的创伤愈合、促进皮肤组织再生,抑制瘢痕形成。在伤口愈合早期阶段,能促进I型和III型胶原的产生,加速伤口愈合;在后期阶段,则可抑制胶原蛋白的表达,减少瘢痕的形成,即使是对于慢性难愈性创面仍有较好的修复效果。
外泌体,英文名Exosome,是一种直径大约在30-100nm的微小囊泡。诞生于GMP级实验室,层析人源外泌体精纯提取,携带多种生长因子DNA、RNA等生物活性物质,能作为“信使”来往于细胞,从而改变细胞的功能。

应用于小鼠的皮肤缺损修复实验:通过将外泌体静脉注射入动物体内,对其进行跟踪发现:其被招募至皮肤的伤口周围,发挥其功能,极大地提升伤口愈合的速度。而且通过组织学分析发现外泌体可以在伤口愈合的早期促进胶原的合成来提高修复速度,晚期则抑制胶原的合成来抑制疤痕组织的形成。

在临床上,外泌体主要治疗烧伤、烫伤、皮肤溃疡,再生健康皮肤;用在护肤方面,主要是对外伤受损、衰老、中毒皮肤进行修复,全面调理皮肤、改善肤质,令肌肤恢复年轻、健康的状态。
一、抑制瘢痕形成
炎症是机体对有害刺激作出的自我防御反应。在皮肤损伤24-36小时后,嗜中性粒细胞最初被募集到损伤部位。随后嗜中性粒细胞通过吞噬作用消除外来颗粒,病原体或受损组织和细胞。在皮肤损伤48-72小时后,巨噬细胞被吸引到伤口部位,并继续发挥吞噬作用。
二、促进成纤维细胞增殖
在皮肤损伤后第3天后,成纤维细胞开始增殖产生细胞外基质(包括纤连蛋白,I型和III型胶原蛋白等)。同时上皮细胞开始增殖并向受伤区域边缘迁移,加速伤口闭合,减少皮肤感染。因此,细胞增殖和皮肤再上皮化对皮肤再生至关重要
外泌体疗法是一种渐进式皮肤解决方案,操作时间较短,无需手术或侵入性程序即可持续改善皮肤问题,目前最前沿的外泌体肌肤疗法是局部注射,以直接的方式加快皮肤补充和再生速度。
(道特尔案例:外泌体局部注射四次,14天后效果)
文章、图片等资料版权归版权所有人所有

