International evaluation of an AI system for breast cancer screening
作者:
Scott Mayer McKinney, Marcin Sieniek, ……, Shravya Shetty(谷歌)
链接:
https://www.nature.com/articles/s41586-019-1799-6

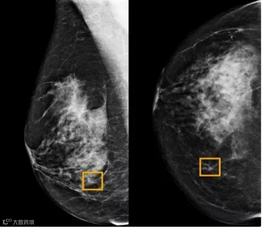
乳腺癌检测AI模型
人工智能系统在医学诊断中又有了新的应用。
在发表于《自然》( Nature )的最新研究中,谷歌健康团队开发了一种能够检测乳腺癌的AI系统。
目前,人类专家在解读乳房X光图像时,准确率仍有上升空间。
而这款深度学习AI模型可以通过筛查乳房X光图像来检测乳腺癌。研究人员利用两个大型数据集对该系统进行了测评。结果显示:出现假阳性与假阴性的概率都下降了,其表现优于另一项研究中的放射科专家。

此外,该系统协助放射科专家工作时,可大幅减少人类专家的工作量。
摘要(英文)
Screening mammography aims to identify breast cancer at earlier stages of the disease, when treatment can be more successful1. Despite the existence of screening programmes worldwide, the interpretation of mammograms is affected by high rates of false positives and false negatives2. Here we present an artificial intelligence (AI) system that is capable of surpassing human experts in breast cancer prediction. To assess its performance in the clinical setting, we curated a large representative dataset from the UK and a large enriched dataset from the USA. We show an absolute reduction of 5.7% and 1.2% (USA and UK) in false positives and 9.4% and 2.7% in false negatives. We provide evidence of the ability of the system to generalize from the UK to the USA. In an independent study of six radiologists, the AI system outperformed all of the human readers: the area under the receiver operating characteristic curve (AUC-ROC) for the AI system was greater than the AUC-ROC for the average radiologist by an absolute margin of 11.5%. We ran a simulation in which the AI system participated in the double-reading process that is used in the UK, and found that the AI system maintained non-inferior performance and reduced the workload of the second reader by 88%. This robust assessment of the AI system paves the way for clinical trials to improve the accuracy and efficiency of breast cancer screening.
排版| 学术菠菜
校审| 小满
责编| 学术渣 优学术

