

随着试管婴儿技术的发展,越来越多的不孕不育夫妇将其当作了最后的“救命稻草”。根据美国生殖医学学会2020年的一份报告,仅在美国,就有730万妇女与不育作斗争,每年有近270万个试管婴儿周期进行中。
但是,现有的试管婴儿技术主要是医疗人员手动随机选择精子和卵子进行实验室胚胎培养,在不清楚生殖细胞的活跃度和健康状况的前提下,试管婴儿的成功率并不算高,目前国内的单次试管婴儿的成功率为30%,欧洲的成功率则为36%。即使是在试管婴儿技术最成熟的美国,成功率也只有50%。同时,欧美国家的单次试管婴儿费用为4万到10万欧元,这对于普通家庭来说,负担巨大。
最近,以色列一家机器学习创业公司AiVF表示,与传统方法相比,人工智能有可能将体外受精(IVF)的成功率提高三倍。换句话说,至少根据实验数据,使用正确的AI系统,夫妻怀孕的可能性要比不使用要高出好几倍。
具体来说,AiVF使用ML和计算机视觉技术,使胚胎学家能够发现哪些胚胎在子宫内植入过程中,最有可能获得成功。
这一“辅助怀孕算法”的研究负责人Ron Maor说,其在各种现成的AI、机器学习和深度学习应用程序之上构建了自己的“定制”层。Maor说,这些工具“处理胚胎图像存在自身的特点,这与大多数AI任务截然不同。”
据IEEE报道,AiVF的ML技术涉及获取在孵化器中创建发育中的胚胎的延时视频,在五天的视频中显示了胚胎发育中的各种里程碑阶段。公司创始人Gilboa解释说,传统受精方法每天只能产生一张胚胎的显微镜图像,而计算机视觉能够捕获更多图像,成功率相比也更高。
“通过分析视频,您可以挖掘出很多关键点,甚至可以发现人眼无法检测到的许多功能。”Gilboa说,“我们会在成功的胚胎上训练算法,然后教会算法什么是更成功的胚胎。”
每一次受精只能将一个胚胎植入子宫。Gilboa说,一旦医生植入了胚胎,胚胎学家将在14天内知道患者是否怀孕。
“胚胎学家一般会通过观察胚胎了解它们发生了什么,”Gilboa说。“而如果让机器学习参与其中,那么该算法将在数百万个胚胎上学习。”
正如AiVF的初步结果所暗示的那样,计算机视觉和ML可能会降低IVF的价格,反过来说,这会使女性怀孕的成本降低。
“一旦有了这种‘数字胚胎学家’,您就可以更轻松地建立会诊中心,” Gilboa说。“或者每个孕育诊所的可扩展性都更大。更多的人可以享受试管婴儿,并实现自己想要生孩子的梦想。”
除了胚胎选择和受精,受精成功后,人工智能也大有可为。
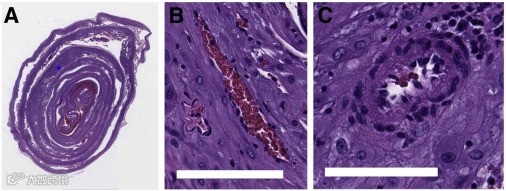
根据《美国病理学杂志》(American Journal of Pathology)上发表的文章,机器学习模型可以分析胎盘载玻片,并在未来的怀孕中告知更多女性健康风险,从而降低医疗成本并改变治疗结果。
1、孕期胎盘并发症
当婴儿出生时,医生有时会检查胎盘的某些特征,这些特征可以发现在未来怀孕中存在的健康风险,比如通过分析胎盘寻找一种称为蜕膜性血管病(DV)的血管病变。

这些症状会提前发现母亲是否有先兆子痫的风险,这种并发症在任何未来的怀孕中都会对母亲和婴儿都致命。而如果能够被提前发现,先兆子痫就可以得到治疗,因此在症状出现之前识别高危母亲有相当大的益处。
但是,单个载玻片中会存在数百个血管,但仅需一个患病的血管,母亲和孩子就会面临危险。这使得检查胎盘成为一项极为耗时耗力的过程,必须由专科医生亲自进行。
2、机器学习如何预测怀孕风险?
研究人员说,病理学家经过多年的训练才能在这些图像中发现疾病,但是由于同时检测的孕妇数量多,妇科医生有时候没有办法全神贯注地检查每个胎盘,很容易错过有问题的血管。
现在,研究人员训练了一种机器学习 算法,通过各种标注了“患病”和“健康”的数据集训练机器,以识别胎盘样品薄片中图像的某些特征。
由于计算机很难看清大图并对其进行分类,因此该团队采用了一种新颖的方法,计算机可以通过它采取一系列步骤来使任务更易于管理。
首先,计算机检测图像中的所有血管,分别考虑每个血管,创建相似的数据包进行分析。
https://spectrum.ieee.org/tech-talk/biomedical/diagnostics/how-ai-is-transforming-assisted-reproductive-technology
https://medium.com/vsinghbisen/how-ai-in-pregnancy-can-help-in-predicting-the-health-risk-7ff318a81a3


