
撰文:朱哼哼
编审:王哈哈
排版:李雪薇
医学上将强迫症定义为焦虑障碍的一种,主要表现为强迫性思维和强迫性行为。例如,出门时明明已经锁门了,但是还是会一直怀疑到底有没有锁门,万一没锁怎么办。再比如,夜晚下班或者放学回家的路上,明明回头看到背后没有人,但是还是忍不住怀疑有人在跟踪。亦或是,明明觉得不真实,但还是会觉得身边的某个人可能会伤害自己。
相信在日常生活中,大部分人都会有过上述的一些经历,那么这是否意味着我们得了强迫症了呢?
一般而言,生活中偶尔出现上述症状其实是正常现象,只要没有影响正常生活即可,而真正的强迫症症状会严重很多。例如,电影《飞行家》中的小李子,怀疑手没有洗干净,反复搓洗一直到把手洗出血才罢手,或担心厕所把手脏不敢开门,直到别人开门才出去。当然,生活中可能也有一些强迫症患者的症状不是这么明显,诊断起来也比较困难。
近日,来自美国布朗大学脑科学研究所的 David A. Borton 教授带领的研究团队通过对 5 名重度强迫症患者进行长期脑电监测,并利用人工智能对患者生活中的强迫行为进行分析,首次识别出了大脑中强迫症相关的脑电波信号,为强迫症的诊断和针对性治疗铺平了道路。
对此,Borton 教授表示,“强迫症是一种症状严重程度随时间变化很大的疾病,受多种环境因素影响。此前,药物治疗效果不佳的患者,深部脑刺激可以有效缓解强迫症状。不过,由于无法识别患者强迫症发作的时机,深部脑刺激会带来一系列的副作用。在此次研究中,我们首次识别出了强迫症相关的脑电波信号,针对这一信号调整深度脑刺激强度,无疑会降低副作用。”


近年来,统计数据提示强迫症的发病率正在不断攀升,有研究显示普通人群中强迫症的患病率接近 2%,约 2/3 的患者在 25 岁前发病。也就是说,每 100 个人中就有大约 2 个强迫症患者,且大多是年轻人。世界卫生组织(WHO)所做的全球疾病调查也发现,强迫症已成为 15~44 岁青年人群中造成疾病负担最重的 20 种疾病之一。
不过,在临床上,确诊的强迫症患者远低于这一比例。首先,与普通人不同,在很多强迫症患者的意识中,各种强迫性思想或行为反而是正常的,且部分患者会隐瞒自己的症状,不愿意就诊。其次,由于强迫症的症状非常广泛,患者的就诊过程往往非常曲折,很难确诊。此外,很多强迫症患者往往也患有其他精神疾病,例如焦虑、抑郁等等,从而导致漏诊。
(来源:psu.edu)
其次是心理治疗,强迫症常用的心理治疗方法包括认知行为治疗、精神动力学治疗、支持性心理治疗及森田疗法等。其中,认知行为治疗被认为是治疗强迫症最有效的心理治疗方法。一般来说,药物治疗联合心理治疗,可以明显改善患者强迫症状,降低长期复发率。临床上,大约 70% 的患者都对联合治疗有反应。
最后,对于药物治疗以及心理干预无效的患者,深部脑刺激也是一种可行的治疗方案。

对于各种药物和心理治疗无效的难治性强迫症患者,深部脑刺激可以起到非常好的疗效,超过一半的患者症状明显改善,生活质量显著提高。而虽然深部脑刺激对于部分强迫症患者的强迫症状疗效欠佳,但是其焦虑、抑郁等伴随症状均明显改善。
相比于其他神经外科治疗手段,深部脑刺激的主要优势在于,可以通过调节刺激频率和参数,尽可能的实现精确治疗,增加疗效,降低不良反应。
然而,对于强迫症患者而言,深部脑刺激的频率和强度都是由医生自己的经验来调节,不同患者在经过刺激后症状缓解时间数周到数月不等,管理起来非常复杂。因此,为了改善深部脑刺激的疗效,必须精准的识别患者强迫症发作时机,并针对性给予刺激。
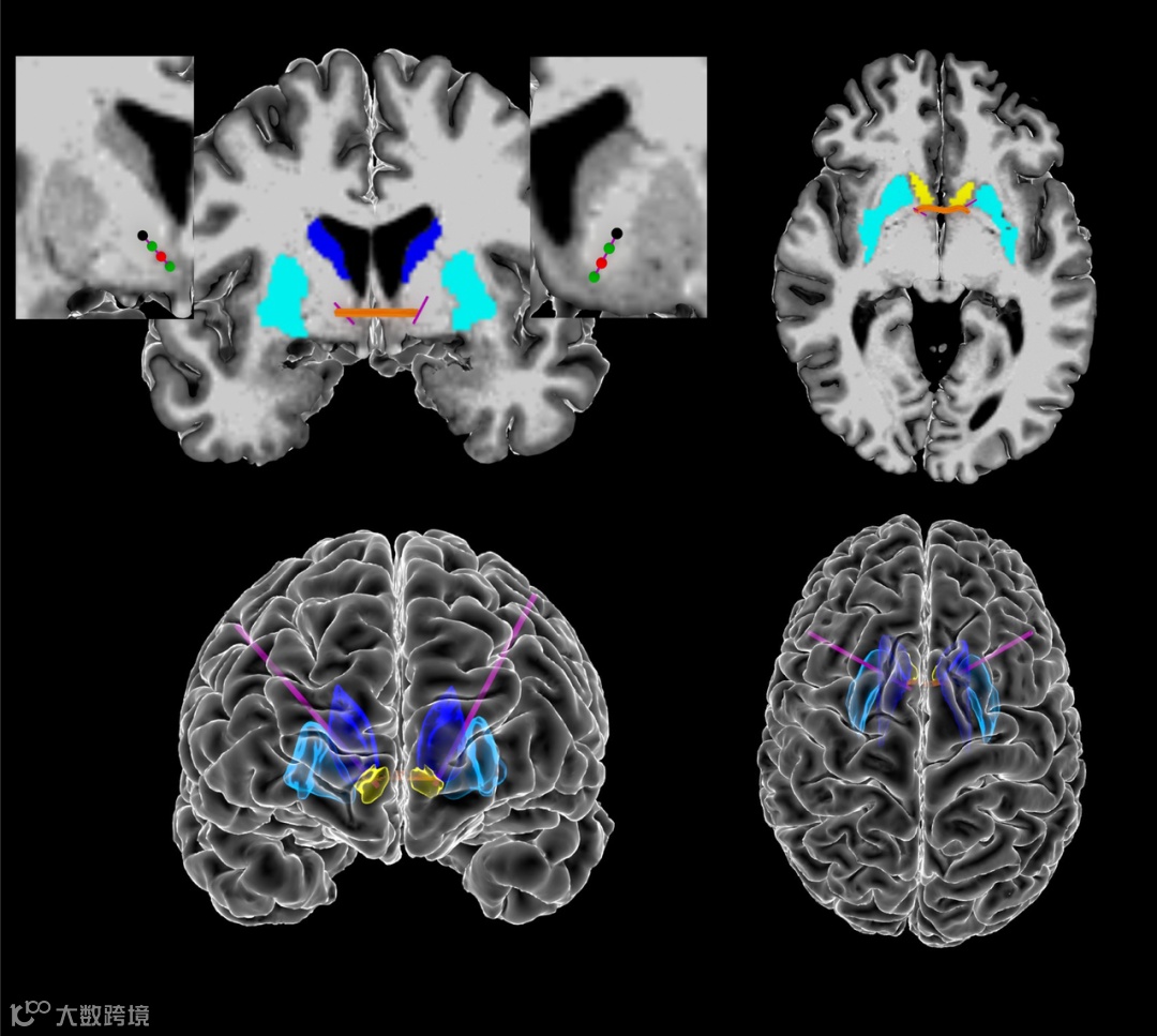
图 | 颅内电生理数据的采集(来源:Nature)
结果发现,与以往的经验不同,强迫症的大脑信号不仅仅来自于大脑腹侧内囊/腹侧纹状体 ,也来自于大脑皮质-纹状体-丘脑-皮质环路。除了脑电波信号,研究人员还收集了一套强迫症患者行为的生物标志物,包括面部表情和身体运动。通过人工智能,他们发现这些行为和特征与大脑内部信号变化密切相关。

图 | 大脑深部刺激的作用示意(来源:Nature)
显然,利用这些标志物,未来人们可以开发出更为精确的自动化深部脑刺激系统。一旦患者出现强迫症信号,系统便可自动捕捉并及时利用深部脑刺激进行针对性缓解,且依据患者症状强度,自动调节刺激强度。
据悉,研究人员目前正在开发自动化深部脑刺激系统。同时,研究人员还计划进一步招募更多患者进行试验,以捕捉更多的强迫症标志,从而更精准、更有效地指导自动化深部脑刺激系统。
参考资料:
https://www.nature.com/articles/s41591-021-01550-z
https://www.brown.edu/news/2021-12-09/ocd
热门视频推荐
更多精彩视频,尽在学术头条视频号,欢迎关注~
00后之光!4名高中生开发的这款App,让视障人群重获出行自由


