实验动物的应激反应不仅可能影响试验结果的准确性,还可能对动物的健康和福利造成负面影响。本文将从应激反应的过程和特点入手,系统论述在GLP条件下减少动物应激的策略。
01/应激反应的过程和特点
应激学说最早由汉斯·塞利(Hans Selye)博士在20世纪30年代首次提出。他在研究中发现,各种有毒的或不纯的激素制剂和其他强烈刺激(如过冷、感染、外伤和出血等),可引起小鼠的肾上腺、胸腺、淋巴系统和胃肠道的变化。他将这一系列反应统称为“全身适应综合征”(General Adaptation Syndrome, GAS),并将其分为三个阶段:应变期、代偿期、失调期。
应变期:
对刺激作出应激反应。表现为器官形态学变化、神经内分泌变化、血液学及血液生化指标改变;
代偿期:
体内建立起抵抗力及适应能力。大多数上述变化逐步恢复或消失;
失调期:
若刺激持续存在或过于强烈,机体的代偿功能将失调或耗尽,导致器官损伤,并出现形态学变化、血液学及血液生化变化。
02/应激反应的影响
长期或严重的应激可对动物机体造成多方面的损害,包括但不限于:
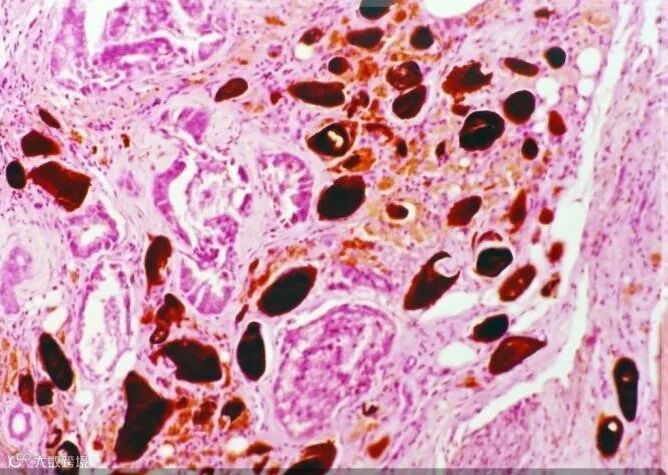
啮齿动物的哈德氏腺可分泌卟啉色素。各种各样的应激因素刺激哈德氏腺,增加卟啉色素的分泌,眼睛和鼻孔周围出现的红色分泌物,即哈德氏腺内棕色的色素聚集。
大鼠眼睛和鼻-红色眼泪和鼻分泌物
大鼠哈德氏腺-卟啉色素
糜烂指粘膜浅表(不影响粘肌层)的局部坏死,出血及脱落等;溃疡指粘膜整层(包括粘膜肌层)的局部坏死,出血及脱落等。如下图所示。
大鼠腺胃–糜烂与溃疡
大鼠腺胃–糜烂
应激可导致淋巴组织内淋巴细胞溶解或解体,如下图所示。
大鼠胸腺 皮质-髓质层交界处急性出血
大鼠胸腺-坏死的淋巴细胞碎片
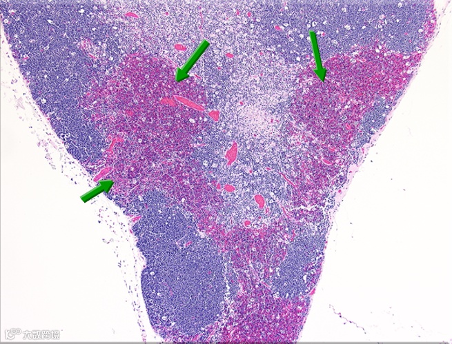
慢性应激变化可导致淋巴细胞耗尽和淋巴组织萎缩,应正确辨别细胞正常、细胞退化、组织萎缩的差异。
大鼠脾-正常的淋巴细胞鞘
大鼠脾-淋巴细胞耗尽/组织萎缩
通常是影响到束状区,束状区的外侧细胞先肥大,并向内侧蔓延,最后整个束状区的细胞肥大。弓状区和网状区也可能受到影响。
狗肾上腺-正常皮质厚度
狗肾上腺-皮质厚度增加
犬经颈静脉连续滴注生理盐水9小时后可发生多灶性心脏出血。
应激通过激活下丘脑-垂体-肾上腺轴(HPA轴)分泌皮质激素,以及通过自主神经系统释放儿茶酚胺,引起机体兴奋,促进血栓形成、炎症加剧及炎症因子分泌。此外,应激还可通过肾素-血管紧张素-醛固酮系统(RAAS)影响血管收缩,通过氧化应激增加活性氧(ROS)或内皮一氧化氮水平。这些变化可导致血压升高、心率加快,并可能诱发动脉粥样硬化、心脏损伤等心血管疾病。
美国康奈尔大学鲁医病理学教授约翰•金20世纪60-70年代就提出脑心综合征,即长期应激以后,脑心理因素可以引发心肌变性、炎症、出血坏死等,病理学上可见单核细胞浸润、心肌纤维变性、纤维化,病变可向心内膜下和心尖部扩展。
在不良的动物福利条件下,应激反应可能在动物群体中传递,对后续试验结果极为不利。因此,日常管理中如何减少动物应激至关重要。
03/如何减少动物的应激反应
选择优质动物
严格筛选供应商
选择能提供遗传背景明确、质量合格的试验动物的优质供应商。供应商需具备相应资质,并定期提供动物质量检测报告(如犬和猴需提供遗传背景文件、免疫记录、驱虫记录、出厂检疫记录等)。若涉及野生保护动物,供应商应提供《国家重点保护野生动物驯养繁殖许可证》,并办理野生动物运输证明。
深入调查与评估供应商
建立供应商调查记录档案,详细考察其经营许可、员工配置、技术能力及审计情况。对供应商的动物质量控制体系进行深入跟踪评估,包括种源、引种、厂房环境、设施设备、饲料饮水标准等。动物运输过程的安全保障及售后响应能力亦为评估重点。
规范订购流程
建立标准操作规程(SOP),规范试验动物的订购流程与原则。
确保安全规范运输
运输工具要求
运输工具应配备可控温控湿设备,保证足够的新鲜空气流通,维持符合相应等级动物要求的环境温湿度,确保动物健康、安全与舒适。运输时间超过6小时,需配备符合标准的饲料和饮水装置以满足动物基本需求。不同品种、品系或性别的动物应分批或分笼运输。
运输笼具要求
活体动物应根据其微生物等级,选用专用运输容器,配备必要的通风设备及防逃逸装置。运输麻醉动物时,需充分考虑麻醉状态下体温降低的特点,在容器内增加保温措施,并提供必要的兽医监护。如需在动物饲养设施内运输动物,运输完成后,应及时对运输笼具及运输路线进行清洁消毒,并记录存档。
优化动物手术与疾病护理
动物保定
固定动物时需确保不影响其胸廓呼吸运动;固定绳索应松紧适度,可适时进行按摩;长时间操作需变换动物体位,避免局部组织因长时间受压而损伤。
麻醉与手术管理
正确选用麻醉药物,确保动物在无痛状态下接受手术。手术过程中注意动物保暖、眼部护理,并持续监测呼吸、心率等关键生理指标。
术后护理
准确评估动物术后疼痛程度,给予适当镇痛处理。麻醉苏醒前的大鼠和小鼠不宜置于木屑或刨花垫料的笼中,兔和豚鼠不宜置于铁栅条底笼中,以防造成不必要的伤害。患病动物,应有相应的诊断、隔离、治疗措施,并有相应的诊治记录。
加强日常管理(以猴为例)
前置管理
猴场中的实验猴需进行TB、BV、SIV、STLV、SRV等病毒检测;每半年进行一次肠道和体表驱虫;应尽可能提前让猴子进入适应期;模拟实验室环境,统一猴场与实验室在饲喂方式、饲养员着装、福利玩具、适应性抓取及与猴交流等方面的操作规范;日常照料时可进行适当互动;转运抓取猴子需动作轻柔,途中可适当提供水果。
检疫/适应期管理
猴子抵达实验室后,可先提供水果,次日再给予常规饲料;检疫期内发现状态异常猴子应单笼饲养,防止交叉感染,并减少陌生个体间的刺激;检疫/适应期需每日上、下午观察猴子状态,对状态较差者重点监护照料;实施正向适应性训练,在猴子配合完成后给予适当奖励,促使其配合试验人员;采集动物指标时,应先进行刺激较小的项目,再进行需要长时间保定或易引发应激的操作。
常见疾病处理
腹泻
区分非感染性(如应激、药物、饮食因素)与感染性(如志贺氏菌、沙门氏菌、寄生虫等)腹泻,针对性治疗。
寄生虫感染
线虫、蠕虫感染可用阿苯达唑治疗;阿米巴、贾第鞭毛虫等原虫感染可用替硝唑治疗。
药物试验中的支持治疗
若动物出现严重毒性反应,在不影响药物毒性判定和试验正常进行的前提下,可给予支持治疗,如保温、补充营养液、抗生素治疗等,必要时进行预防性抗感染治疗。
在GLP条件下开展动物试验,选用优质动物是基础,需严格筛选和评估供应商,并确保从猴场到实验室的运输过程安全规范。试验过程中的操作失误或不规范极易引发动物应激、出血、感染/继发感染/溃烂、脏器损伤、生长发育异常、自残甚至意外死亡。诱发动物应激的因素众多,包括试验操作本身、创伤、疼痛、感染、不当的医疗手术与护理、药物作用以及环境因素(如温湿度、光照和噪音等)。应激对机体的影响广泛,可激活神经内分泌系统(如HPA轴),导致淋巴细胞坏死与耗竭,引发心血管损伤及脑心综合征等严重后果。因此,系统性地识别应激源并实施科学有效的缓解措施,对于保障动物福利和试验数据的科学可靠性至关重要。
关于天勤生物
天勤生物成立于2009年,是一家以大动物试验为特色、聚焦新药研究与评价的CRO高新技术企业,为客户提供一站式创新药物研发服务,致力于以更短的实验周期、更高质量的研究报告加快新药上市进程。
▪ 强大的项目承接能力:已有近3万平方米符合GLP规范的实验室投入使用,在建实验场地约8万平方米,可开展基于猴、犬、兔、大鼠、小鼠、豚鼠等实验动物的试验研究;
▪ 国际接轨的技术体系:GLP实验室满足国内、美国FDA、欧盟OECD、澳洲TGA等GLP标准,并通过国际AAALAC完全认证;
▪ 丰富的项目经验:国内外知名专家领衔,千余项专题研究、300多个新药申报品种、近百个中外申报的品种通过中国CFDA/NMPA 、美国FDA和澳大利亚TGA的审批进入临床或上市。
19807273015(肖经理)
marketing@topgenebio.com

