天勤生物食蟹猴生殖与发育研究平台
天勤生物在GLP设施上,建立了“湖北非人灵长类动物生殖与发育毒性研究平台”,完成了食蟹猴生殖与发育毒性平台的体系建设和验证工作,并开展了多个伴随食蟹猴重复给药毒性试验(性成熟)的生育力评价研究,以及某单抗给予食蟹猴伴随的血睾屏障、胎盘屏障、和血乳屏障的EFD实验和增强的围产期发育(enhanced PPND,ePPND)毒性试验。目前天勤生物正在为不同客户开展以注册为目的的食蟹猴ePPND试验。
雌性生殖系统主要包括内生殖器官、外生殖器和其他相关器官。内生殖器官由阴道、子宫、输卵管和卵巢组成;外生殖器包括阴阜、大阴唇、小阴唇、阴蒂和阴道前庭等。
卵巢
食蟹猴卵巢是成对器官,位于肾脏下方、骨盆前口的两侧。由于食蟹猴是单侧循环排卵,故经常可见到一侧体积相较于另一侧体积有较大的变化,有时可见到表面排卵形成的小凸起。
卵巢主要的功能是产生卵子,并分泌雌激素和孕激素。卵巢通常分为皮质、髓质和被膜。食蟹猴卵巢皮质和髓质分界明显。被膜又称为白膜,为一纤维结缔组织,被膜表面被覆单层扁平、立方或柱状的间皮细胞,食蟹猴卵巢被膜不明显。皮质含有各发育阶段的生殖细胞、卵泡和卵泡间结缔组织。髓质位于卵巢中央,由结缔组织构成,含有间质细胞、血管、淋巴管和神经分布卵泡是构成卵巢的主要成分,卵泡的发育成熟是个连续的过程,通常分为原始卵泡、初级卵泡、次级卵泡和成熟卵泡(图1)。通常每个卵泡含一个卵母细胞,但偶尔食蟹猴的单个卵泡内可见多个卵母细胞。
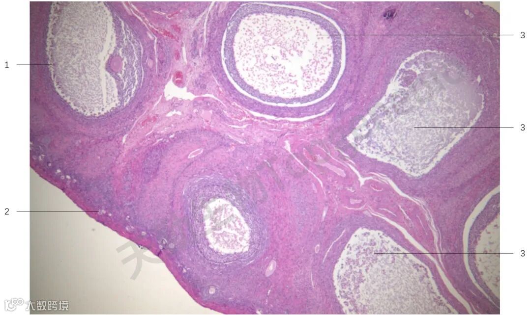
图1 食蟹猴(3岁)卵巢,可见发育过程中各种类型卵泡及排卵后形成的黄体(HE染色,×40)。
1. 成熟卵泡;2. 原始卵泡;3. 黄体
原始卵泡
原始卵泡处于静止状态,数量多,体积小,位于卵巢皮质的浅层。形态学结构主要为卵母细胞位于中央,由一单层扁平卵泡细胞包围,卵母细胞核大而圆,核仁明显、染色质稀疏、胞质弱嗜酸性;卵泡细胞则扁平、体积小,胞核扁圆、深染,与周围结缔组织之间有基底膜,但不明显。
初级卵泡
初级卵泡由单层至多层立方形或柱状卵泡细胞围成,近基底膜的卵泡细胞呈立方形或柱状。初级卵母细胞体积增大,核仁深染。初级卵母细胞与卵泡细胞间出现一层均质状嗜酸性的透明带,卵泡膜的内层开始形成。在卵泡细胞间未出现液腔的生长卵泡均称为初级卵泡。
次级卵泡
卵泡进一步发育,卵母细胞的体积达到最大。卵泡细胞分裂增殖至多层,卵泡细胞间出现一个或多个不规则的卵泡腔状结构,腔内含有卵泡液。随着卵泡腔的增大,卵母细胞位于卵泡腔的一侧。透明袋明显,出现放射冠。邻近透明带的一层卵泡细胞呈柱状,放射状排列在初级卵母细胞周围,形成放射冠。卵泡腔周围的卵泡细胞排列密集,呈颗粒状,称颗粒层。紧邻基底膜的颗粒细胞呈柱状,与基底膜垂直,颗粒细胞层没有血管分布,卵泡和卵母细胞通过颗粒细胞的间隙渗透而获得营养。卵泡基底膜周围的结缔组织内的梭形细胞也增殖分化,形成卵泡膜。卵泡膜分为内外两层,内膜层膜明显,外膜层膜开始形成。
成熟卵泡
卵泡体积达到最大,出现中央窦和卵丘,卵泡壁隆起突向卵巢表面。卵泡液剧增,多个卵泡腔回合形成单个腔隙,称为中央窦,颗粒层变薄。卵丘内有初级卵母细胞、透明带和放射冠。卵泡膜的内膜层和外膜层进一步分化,两者之间无明显界限。内膜层含有较多的卵圆形或多角形内膜细胞、毛细血管、成纤维细胞和胶原纤维等。内膜层和颗粒层之间有明显的基底膜。外膜层细胞成分少、纤维较多、有少量平滑肌,外膜层与周围卵巢间质融合。
闭锁卵泡
每个性周期都会有多个原始卵泡生长发育,但通常只有少数卵泡发育成熟并排卵,故绝大多数卵泡在发育过程中出现变性退化,形成闭锁卵泡。退化可见于卵泡发育的任何阶段。原始卵泡和初级卵泡闭锁时,卵母细胞和卵泡细胞发生变性、萎缩和凋亡。卵泡形态不规则,最后消失或钙化。次级卵泡和成熟卵泡闭锁时,卵泡壁塌陷,透明袋皱缩消失,卵母细胞也变性消失。闭锁卵泡中可能出现变性的卵母细胞、卵泡细胞、成纤维细胞、结缔组织和钙化灶等。
黄体
排卵后残留于卵巢内的卵泡壁连同壁上的血管一起向卵泡腔塌陷,在黄体生成素的作用下逐渐发育成一个体积较大、含丰富血管的内分泌细胞团,肉眼观呈黄色,称为黄体(图2)。由颗粒层卵泡细胞衍化来的黄体细胞占多数,细胞体积大,呈多角形,胞质染色浅,细胞中有脂滴,为颗粒黄体细胞,位于黄体中央,主要分泌孕酮和松弛素;由卵泡膜细胞衍化来的黄体细胞较小,呈圆形或多角形,染色较深,数量较少,为膜黄体细胞,位于黄体周边,膜黄体细胞主要分泌雌激素。卵泡膜的血管和淋巴管也逐渐增生,在黄体内形成丰富的血管和淋巴管网。如卵细胞受精,在胎盘绒毛膜促性腺激素的作用下,黄体继续发育增大,直到妊娠完成。如卵细胞未受精,黄体细胞变性、坏死,由巨噬细胞吞噬消化,黄体退化。结缔组织逐渐增生,取代黄体,变成白色癫痕组织,肉眼呈白色。部分黄体细胞可能分化为间质细胞。
图2 食蟹猴(3岁)卵巢黄体(HE染色,×200)。1. 颗粒黄体细胞;2. 血管;3. 纤维结缔组织;4. 膜黄体细胞
输卵管
输卵管(oviduct)是一个肌性管道,主要功能是运输卵子和提供受精的微环境。解剖学结构通常分为伞部、壶腹部、峡部和子宫部。伞部起始于卵巢,与腹腔相通。
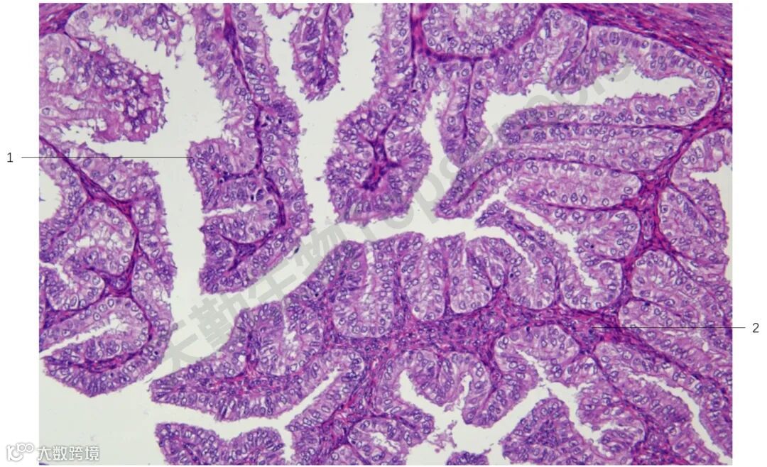
管壁由黏膜层、肌层和浆膜层组成(图3~图4)。黏膜层形成许多纵行和分支的皱襞,管腔横切面不规则。黏膜层由疏松结缔组织固有层和单层柱状上皮形成。上皮由分泌细胞和纤毛细胞构成。漏斗部和壶腹部的纤毛细胞丰富。纤毛向子宫方向摆动,有助于卵子向子宫方向运送。分泌细胞散在纤毛细胞之间,细胞游离缘有微绒毛。分泌细胞以顶浆分泌方式将其分泌物释放到黏膜表面,形成输卵管液和营养卵细胞。肌层为内环和外纵的平滑肌纤维。浆膜层由间皮和疏松结缔组织构成,富含血管。
图3 食蟹猴(3岁)输卵管(HE染色,×40)。
1. 浆膜层;2. 肌层;3. 黏膜层
图4 食蟹猴(3岁)输卵管黏膜层,由疏松结缔组织固有层和单层柱状上皮形成,上皮由分泌细胞和纤毛细胞构成(HE染色,×200)。1. 单层柱状上皮;2. 固有层
子宫
食蟹猴子宫(uterus)为肌性腔状器官,是胎儿发育的场所。食蟹猴子宫呈梨形,分为子宫颈和子宫体。子宫壁可分为内膜、肌层和外膜(图5~图6)。子宫内膜层由单层柱状上皮和固有层组成。腺上皮主要是分泌细胞,顶浆分泌。固有层含有丰富的子宫腺、血管、淋巴管、神经和基质细胞。子宫腺为单管状腺,起始端与内膜上皮相延续,末端有分支。固有层内的基质细胞呈梭形或星形,胞质少,胞核大而圆,分泌胶原蛋白,类似成纤维细胞。基底细胞分度较低,随妊娠及性周期变化而增生与分化。
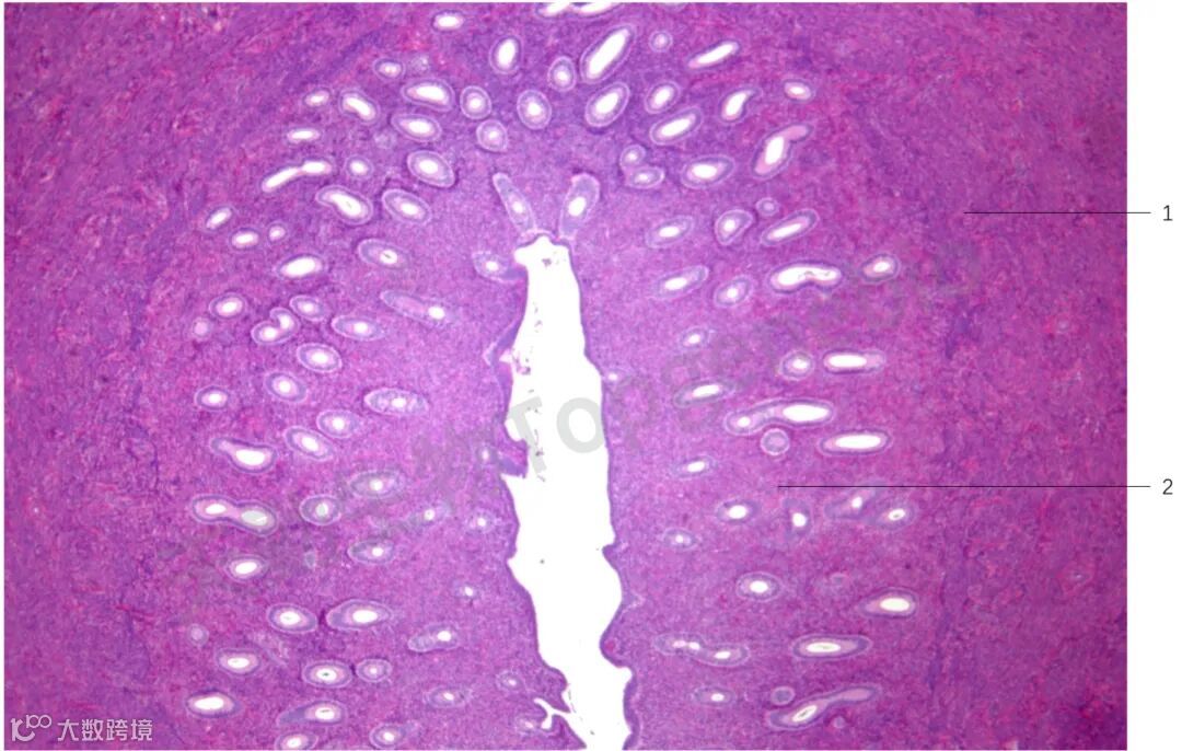
图5 食蟹猴(3.5岁)子宫,分为内膜、肌层和外膜(HE染色,×40)。1. 子宫肌层;2. 子宫内膜
图6 食蟹猴(3.5岁)子宫内膜,固有层含有丰富的子宫腺,子宫腺为单管状腺,起始端与内膜上皮相延续,末端有分支。固有层内的基质细胞呈梭形或星形,胞质少,胞核大而圆(HE染色,×100)。1. 子宫腺;2. 子宫内膜上皮;3. 固有层基质细胞
子宫肌层厚,与输卵管、阴道的肌层相延续。肌层可分为外纵、内环或中斜等层,分界不明显。肌层结缔组织有未分化的间充质细胞,妊娠时可分化为平滑肌细胞,并增生肥大。孕酮可促使平滑肌细胞体积增大,并抑制平滑肌收缩。雌激素可促使平滑肌细胞增殖,增加细胞数量。分娩后,子宫平滑肌细胞逐渐萎缩,变小或凋亡,结缔组织也被降解吸收,子宫恢复原状。
食蟹猴子宫黏膜分为浅表的功能层和深部的基底层。子宫动脉进人子宫壁肌层后,分支进入子宫内膜,形成螺旋动脉。螺旋动脉在子宫内膜功能层浅层形成毛细血管网和毛细血管窦,然后汇入相应静脉。螺旋动脉对性激素的刺激敏感,参与子宫内膜的周期性变化。
食蟹猴子宫黏膜的周期性变化可分为增生期、分泌期和月经期三个阶段。
增生期也称也称卵泡期,此期主要受雌激素的影响。卵泡发育和成熟,卵泡颗粒细胞分泌雌激素。在雌激素作用下,子宫黏膜上皮增生,子宫内膜增生和重建。子宫腺增生增多,早期腺腔大而直,逐渐弯曲或呈螺旋状。子宫内膜上皮和腺上皮呈假复层柱状,上皮细胞和间质细胞分裂象明显。
分泌期也称黄体期,此期主要受孕激素影响。卵泡排卵,黄体形成,黄体细胞分泌孕酮。在孕酮和雌激素作用下,子宫黏膜继续增生和变厚。子宫腺腔扩大弯曲,腺腔纵切面呈锯齿状,充盈黏液性分泌物。黏膜上皮细胞肥大,呈柱状,无明显的细胞分裂象,顶端胞质不规则。偶尔可见核上和核下的胞质均有糖原积聚和脂肪滴,呈空泡状。间质细胞肥大,间质细胞分裂象消失。
月经期即黄体退化期。如果卵子未受精,黄体发生变性萎缩,卵巢雌激素和孕酮的分泌水平下降。子宫黏膜动脉收缩,黏膜表面发生缺血、坏死和脱落,黏膜变薄。
子宫颈(cervix)由外膜、肌层和黏膜组成。外膜为纤维性结缔组织。肌层平滑肌间有丰富的结缔组织。食蟹猴子宫颈的黏膜有丰富的子宫颈腺和分支管状腺,分泌黏液。黏膜上皮细胞为单层柱状,由大量分泌细胞及少量基底细胞组成。基底细胞散在于柱状细胞和基底膜之间,细胞体积小,分化程度低,有增殖修复功能。在宫颈外口,单层柱状上皮移行为复层扁平上皮,可见黏液分泌细胞和复层扁平上皮的混合结构。子宫颈黏膜层的周期性形态变化不太明显(图7)。
图7 食蟹猴(3.5岁)子宫颈黏膜,内膜上皮和固有层(HE染色,×400)。1. 单层柱状黏膜上皮;2. 柱状上皮基底膜;3. 子宫颈腺;4. 结缔组织中的毛细血管
阴道
阴道(vagina)是一个纤维和肌性管道。阴道由外膜层、肌层及黏膜层组成。黏膜层由复层扁平上皮覆盖,固有层由纤维弹性结缔组织组成,没有腺体结构。肌层由交叉的平滑肌纤维束组成。外膜层由致密结缔组织构成,并与周围其他结构延续(图8~图9)。
图8 食蟹猴(3.5岁)阴道由外膜层、肌层及黏膜层组成(HE染色,×40)。1. 肌层;2. 黏膜层
图9 食蟹猴(3.5岁)阴道黏膜层由复层鳞状上皮覆盖( HE染色,×100)。1. 基底层细胞;2. 棘细胞层;3. 角化层
乳腺
乳腺(mammary gland)位置及数量因动物种类不同而异。猴仅有一对乳腺,大鼠有6对,小鼠有5对,犬有5对或6对。乳腺为外胚层分化的复管泡状腺,属于汗腺的衍生物,为哺乳动物具有的组织。性成熟期雌性动物的乳腺组织发达,产生乳汁。雄性动物的乳腺组织不发达,仅有少量腺体组织存在。
乳腺由腺泡、导管和乳头组成,间质中的脂肪组织较啮齿类动物少(图10~图11)。腺泡分泌乳汁,由单层立方上皮组成,细胞分泌后变扁平。各级乳腺导管覆有单层或假双层立方或柱状上皮细胞。腺泡和腺导管上皮细胞与基底膜之间有肌上皮样细胞。肌上皮样细胞收缩可以促进乳汁排泌,还可分泌产生基底膜成分。主导管和乳头管覆有复层扁平上皮。
图10 食蟹猴(3岁)乳头(HE染色,×40)。
1. 乳头上皮;2. 结缔组织;3. 乳头下的乳腺导管
图11 雌性食蟹猴(3.5岁)乳头下乳腺腺体组织,乳腺组织发达,可见散在复管泡状腺泡及导管结构(HE染色,×200)。1. 乳腺复管泡状腺泡;2. 导管结构
关于天勤生物
天勤生物成立于2009年,是一家以大动物试验为特色、聚焦新药研究与评价的CRO高新技术企业,为客户提供一站式创新药物研发服务,致力于以更短的实验周期、更高质量的研究报告加快新药上市进程。
▪ 强大的项目承接能力:已有近30000㎡符合GLP规范的实验室投入使用,在建实验场地约80000㎡,可开展基于猴、犬、兔、大鼠、小鼠、豚鼠等实验动物的试验研究;
▪ 国际接轨的体系:GLP实验室满足国内、美国FDA、欧盟OECD、澳洲TGA等GLP标准,并通过国际AAALAC完全认证;
▪ 丰富的项目经验:国内外知名专家团队领衔,千余项专题研究、300多个新药申报品种、近百个中外申报的品种通过中国CFDA/NMPA 、美国FDA和澳大利亚TGA的审批进入临床或上市。
19807273015(肖经理)
关于天勤生物武汉分公司
湖北天勤生物武汉分公司(安全性评价中心)是湖北省第一家民营GLP研究机构,现有一支近300人的专业技术团队,具备了开展中国NMPA、美国FDA项目的质量管理体系和资质,同时通过了国际AAALAC完全认证。公司目前拥有超过10000m2的设施,可开展啮齿类和非啮齿类的单次给药、重复给药、生殖【大鼠I、II和III段;小鼠I、II和III段;兔II和兔III段;伴随食蟹猴(性成熟)重复给药毒性试验的生育力评价研究、食蟹猴伴随胎盘屏障和血乳屏障的EFD试验和增强的围产期发育(ePPND)毒性试验】、遗传毒性(Ames、微核和染色体畸变)、免疫原性、安全药理、局部刺激、毒代动力学和致癌等9项GLP试验以及药效、药代动力学、毒性探索性试验(DRF)等,尤其在生物制品、化药和中药和儿科用药等方面拥有大量的非临床评价经验和成功案例,同时在上述药物的生殖与发育毒性试验设计、结果判定等方面积累了宝贵的经验;建立了国内领先的食蟹猴生殖毒性与发育毒性研究平台,是国家科技部重大新药创制科技重大专项的药物安全性评价示范平台之一。
13585702671 (周女士)
15927305616 (田先生)

